ISO 9001:2015 Certified
Live Customer Support
4.5/5 on Trustpilot
100% Quality Guarantee

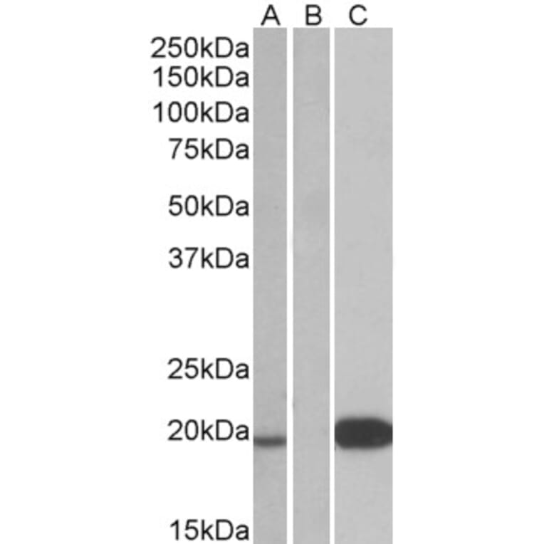
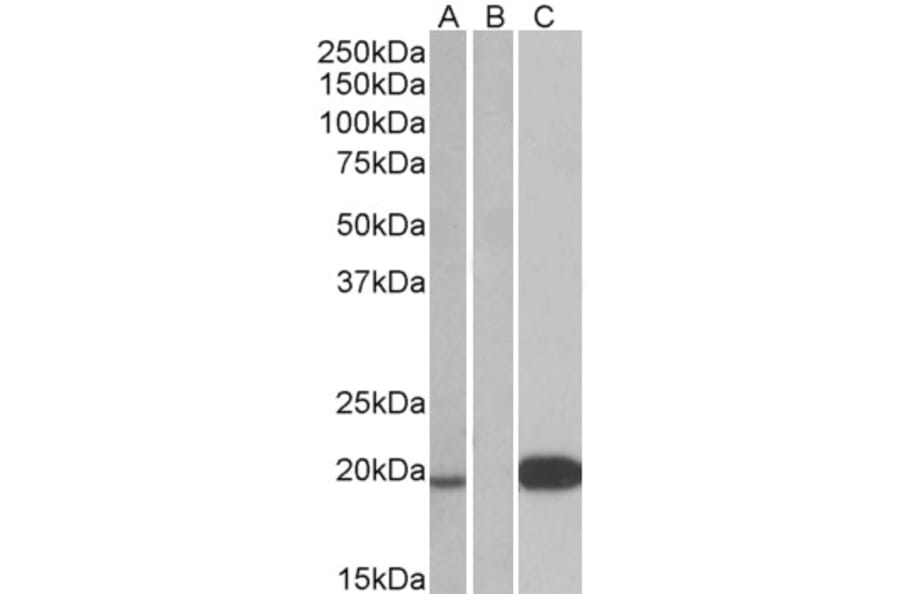
Anti-Urocortin 3 Antibody (A84462)

Goat polyclonal antibody to Urocortin 3 for ELISA and WB.

Shipping Information

$40
Dispatched from St. Louis, MO.
Lead Time: 7-10 business days.
Name
Anti-Urocortin 3 Antibody
Description
Goat polyclonal antibody to Urocortin 3.
Applications
ELISA, WB
Dilutions
ELISA: 1:16,000, WB: 1- 2µg/ml
Reactivity
Human
Immunogen
Synthetic peptide corresponding to the internal region of human Urocortin 3.
Sequence
C-KPRQDTAKSPHRTK
Host
Goat
Clonality
Polyclonal
Isotype
IgG
Conjugate

Unconjugated

Purification
Purified from goat serum by ammonium sulphate precipitation followed by antigen affinity chromatography using the immunizing peptide.
Concentration
500 µg/ml
Molecular Weight
19 kDa
Product Form
Liquid
Formulation
Supplied in Tris Buffered Saline, pH 7.3, with 0.5% BSA and 0.02% Sodium Azide.
Storage
Shipped at 4°C. Upon delivery aliquot and store at -20°C. Avoid freeze/thaw cycles.
Synonyms
SPC, Stresscopin, Ucn III, UCN3, Urocortin III, Urocortin-3
Isotype Controls
Disclaimer
This product is for research use only. It is not intended for diagnostic or therapeutic use.
Publishing research using Anti-Urocortin 3 Antibody (A84462)? Please let us know so that we can list the citation on this page.

Proteins predicted to interact with Urocortin 3

Predicted protein interactions based upon String database. Revelancy score correlates with probability of interaction.
99.9% Relevancy Score
99.8% Relevancy Score
99.8% Relevancy Score
99.7% Relevancy Score
99.5% Relevancy Score
83.8% Relevancy Score
66.8% Relevancy Score
65.3% Relevancy Score
62.8% Relevancy Score