ISO 9001:2015 Certified
Live Customer Support
4.5/5 on Trustpilot
100% Quality Guarantee

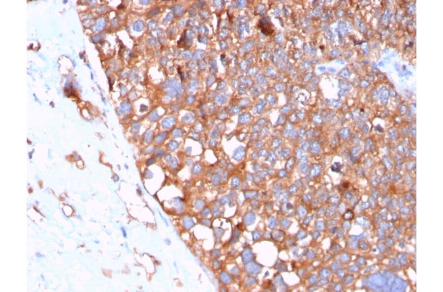
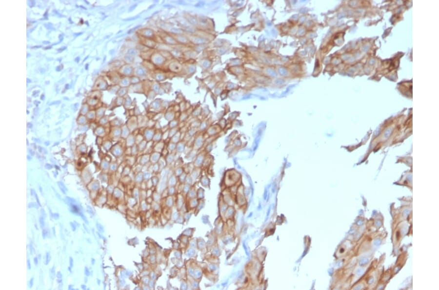
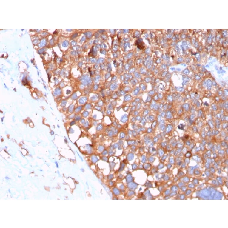
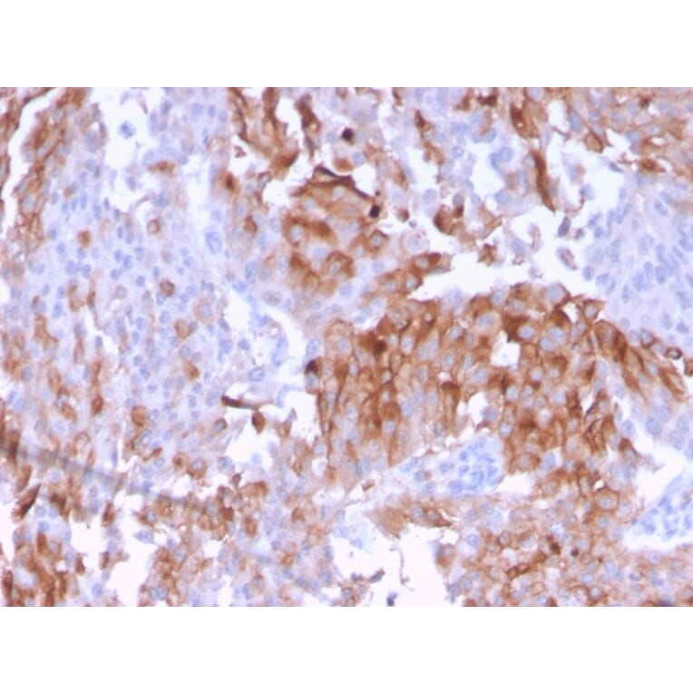
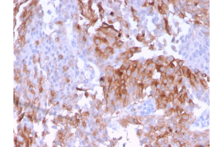
Anti-Uroplakin 1B Antibody [UPK1B/3102] - BSA and Azide free (A253460)

Mouse monoclonal [UPK1B/3102] antibody to Uroplakin 1B for ELISA and IHC-P.

Alternative Formats and ConjugatesAlternative Formats

Shipping Information

$40
Dispatched from St. Louis, MO.
Lead Time: 5-8 business days.
Name
Anti-Uroplakin 1B Antibody [UPK1B/3102] - BSA and Azide free
Description
Mouse monoclonal [UPK1B/3102] antibody to Uroplakin 1B.
Specificity
The protein encoded by this gene is a member of the transmembrane 4 superfamily, also known as the tetraspanin family. Most of these members are cell-surface proteins that are characterized by the presence of four hydrophobic domains. The proteins mediate signal transduction events that play a role in the regulation of cell development, activation, growth and motility. This encoded protein is found in the asymmetrical unit membrane (AUM) where it can form a complex with other transmembrane 4 superfamily proteins. It may play a role in normal bladder epithelial physiology, possibly in regulating membrane permeability of superficial umbrella cells or in stabilizing the apical membrane through AUM/cytoskeletal interactions.UPK1B is expressed by terminally differentiated urothelial cells.
Applications
ELISA, IHC-P
Dilutions
IHC-P: 1-2 µg/ml
Reactivity
Human
Immunogen
Recombinant fragment, around amino acids 109-229, of human Uroplakin 1B protein. The exact sequence is proprietary.
Host
Mouse
Clonality
Monoclonal
Clone ID
UPK1B/3102
Isotype
IgG1
Light Chains
kappa
Conjugate

Unconjugated

Purification
Protein A/G chromatography.
Concentration
1 mg/ml
Molecular Weight
30 kDa
Product Form
Liquid
Formulation
Supplied in 10mM Phosphate Buffered Saline; without Sodium Azide and carrier free.
Storage
Shipped at 4°C. Upon delivery aliquot and store at -20°C. Avoid freeze / thaw cycles.
General Notes
This monoclonal antibody is also available in a different formulation with BSA and Sodium Azide - Anti-Uroplakin 1B Antibody [UPK1B/3102] (A250280).
Disclaimer
This product is for research use only. It is not intended for diagnostic or therapeutic use.
Publishing research using Anti-Uroplakin 1B Antibody [UPK1B/3102] - BSA and Azide free (A253460)? Please let us know so that we can list the citation on this page.