ISO 9001:2015 Certified
Live Customer Support
4.5/5 on Trustpilot
100% Quality Guarantee

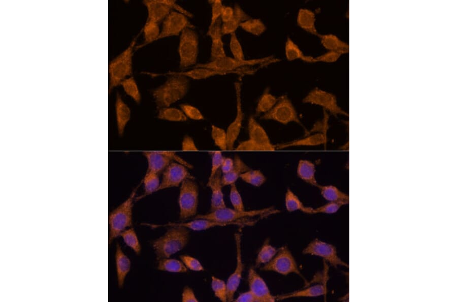
Anti-USP15 Antibody (A15379)

Rabbit polyclonal antibody to USP15 for WB and ICC/IF.

Shipping Information

$40
Dispatched from St. Louis, MO.
Lead Time: 7-10 business days.
Name
Anti-USP15 Antibody
Description
Rabbit polyclonal antibody to USP15.
Applications
WB, ICC/IF
Dilutions
WB: 1:500-1:2,000, ICC/IF: 1:50-1:100
Reactivity
Human, Mouse
Immunogen
Recombinant fusion protein containing a sequence corresponding to amino acids 852-952 of human USP15 (NP_006304.1).
Sequence
SNHYGGMGGGHYTAFAKNKDDGKWYYFDDSSVSTASEDQIVSKAAYVLFYQRQDTFSGTGFFPLDRETKGASAATGIPLESDEDSNDNDNDIENENCMHTN
Host
Rabbit
Clonality
Polyclonal
Isotype
IgG
Conjugate

Unconjugated

Purification
Affinity purification.
Concentration
Lot Specific
Molecular Weight
112 kDa
Product Form
Liquid
Formulation
Supplied in Phosphate Buffered Saline, pH 7.3, with 50% Glycerol and 0.01% Thiomersal.
Storage
Shipped at 4°C. Upon delivery aliquot and store at -20°C. Avoid freeze/thaw cycles.
Synonyms
Deubiquitinating enzyme 15, KIAA0529, Ubiquitin carboxyl-terminal hydrolase 15, Ubiquitin thioesterase 15, Ubiquitin-specific-processing protease 15, Unph-2, Unph4
Disclaimer
This product is for research use only. It is not intended for diagnostic or therapeutic use.
Publishing research using Anti-USP15 Antibody (A15379)? Please let us know so that we can list the citation on this page.

Alternative products to Anti-USP15 Antibody (A15379)

Proteins predicted to interact with USP15

Predicted protein interactions based upon String database. Revelancy score correlates with probability of interaction.
99.9% Relevancy Score
98.9% Relevancy Score
98.5% Relevancy Score
94.7% Relevancy Score
93.1% Relevancy Score
89.9% Relevancy Score
89.2% Relevancy Score
86.5% Relevancy Score
85.9% Relevancy Score