ISO 9001:2015 Certified
Live Customer Support
4.5/5 on Trustpilot
100% Quality Guarantee

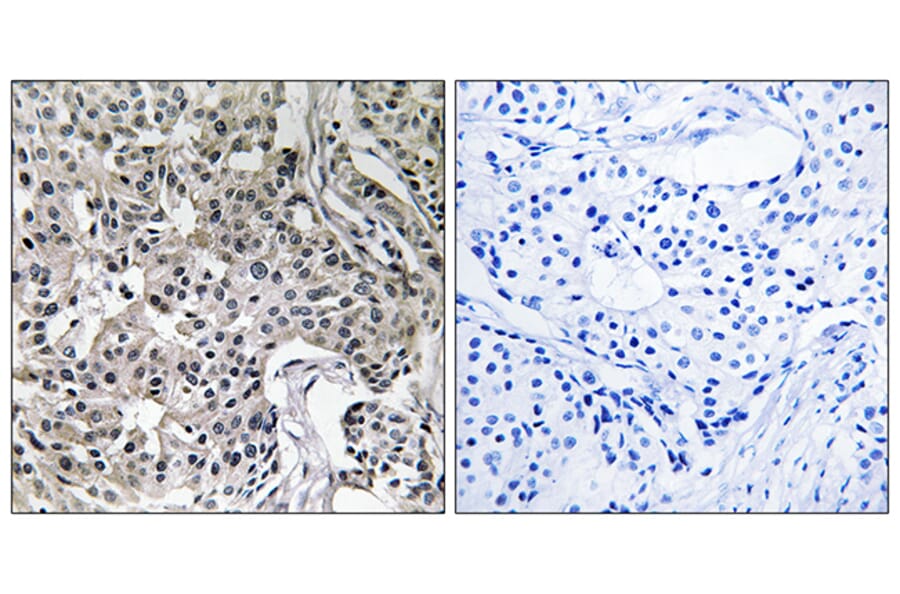
Anti-USP19 Antibody (A95761)

Rabbit polyclonal antibody to USP19 for WB, IHC, IF and ELISA.

Shipping Information

$40
Dispatched from St. Louis, MO.
Lead Time: 6-8 business days.
Name
Anti-USP19 Antibody
Description
Rabbit polyclonal antibody to USP19.
Applications
WB, IHC, IF, ELISA
Dilutions
WB: 1:500~1:1000, IHC: 1:50~1:100, ELISA: 1:20000
Reactivity
Human, Mouse, Rat
Cross Reactivity
No reported cross-reactivity.
Immunogen
Synthetic peptide derived from human USP19 (amino acids 391-440).
Host
Rabbit
Clonality
Polyclonal
Isotype
IgG
Conjugate

Unconjugated

Purification
Purified from rabbit serum by antigen affinity chromatography using the immunizing peptide.
Molecular Weight
145kDa
Product Form
Liquid
Formulation
Supplied in Phosphate Buffered Saline (without Mg2+ and Ca2+), pH 7.4, with 150mM NaCl, 0.02% Sodium Azide, and 50% Glycerol.
Storage
Shipped at 4°C. Upon delivery aliquot and store at -20°C. Avoid freeze / thaw cycles.
Synonyms
Deubiquitinating enzyme 19, KIAA0891, Ubiquitin carboxyl-terminal hydrolase 19, Ubiquitin thioesterase 19, Ubiquitin-specific-processing protease 19, Zinc finger MYND domain-containing protein 9, ZMYND9
Disclaimer
This product is for research use only. It is not intended for diagnostic or therapeutic use.
Publishing research using Anti-USP19 Antibody (A95761)? Please let us know so that we can list the citation on this page.

Alternative products to Anti-USP19 Antibody (A95761)

Proteins predicted to interact with USP19

Predicted protein interactions based upon String database. Revelancy score correlates with probability of interaction.
97.9% Relevancy Score
90.5% Relevancy Score
89.4% Relevancy Score
81.3% Relevancy Score
73.2% Relevancy Score
72% Relevancy Score
71.6% Relevancy Score
68.8% Relevancy Score
68.5% Relevancy Score