ISO 9001:2015 Certified
Live Customer Support
4.5/5 on Trustpilot
100% Quality Guarantee

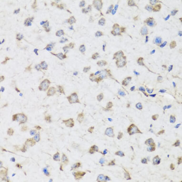
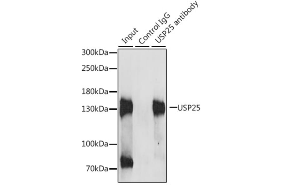
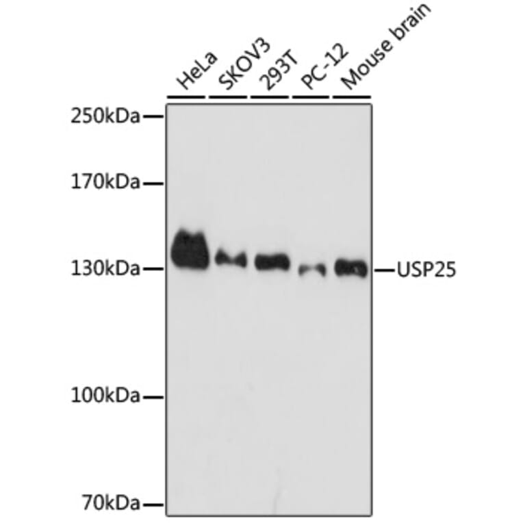
Anti-USP25 Antibody (A16016)

This product is discontinued

Anti-USP25 Antibody (A16016) has been discontinued and is no longer available.

View all USP25 Antibodies.

Name
Anti-USP25 Antibody
Description
Rabbit polyclonal antibody to USP25.
Applications
WB, IHC, IP
Dilutions
WB: 1:500-1:2000, IHC: 1:50-1:200, IP: 1:50-1:100
Reactivity
Human, Mouse, Rat
Immunogen
Recombinant fusion protein containing a sequence corresponding to amino acids 1-230 of human USP25 (NP_037528.3).
Sequence
MTVEQNVLQQSAAQKHQQTFLNQLREITGINDTQILQQALKDSNGNLELAVAFLTAKNAKTPQQEETTYYQTALPGNDRYISVGSQADTNVIDLTGDDKDDLQRAIALSLAESNRAFRETGITDEEQAISRVLEASIAENKACLKRTPTEVWRDSRNPYDRKRQDKAPVGLKNVGNTCWFSAVIQSLFNLLEFRRLVLNYKPPSNAQDLPRNQKEHRNLPFMRELRYLFA
Host
Rabbit
Clonality
Polyclonal
Isotype
IgG
Conjugate

Unconjugated

Purification
Affinity purification.
Molecular Weight
130kDa
Formulation
Supplied in Phosphate Buffered Saline, pH 7.30, with 0.02% Sodium Azide and 50% Glycerol.
Storage
Shipped at 4°C. Upon delivery aliquot and store at -20°C. Avoid freeze / thaw cycles.
Synonyms
Deubiquitinating enzyme 25, Ubiquitin carboxyl-terminal hydrolase 25, Ubiquitin thioesterase 25, Ubiquitin-specific-processing protease 25, USP on chromosome 21, USP21
Disclaimer
This product is for research use only. It is not intended for diagnostic or therapeutic use.

Alternative products to Anti-USP25 Antibody (A16016)

Proteins predicted to interact with USP25

Predicted protein interactions based upon String database. Revelancy score correlates with probability of interaction.
93.7% Relevancy Score
89.7% Relevancy Score
88.5% Relevancy Score
86.3% Relevancy Score
85.2% Relevancy Score
84.9% Relevancy Score
84% Relevancy Score
82.2% Relevancy Score
81.9% Relevancy Score