Western Blot - Anti-USP39 Antibody [ARC2588] (A306442)
Western blot analysis of extracts of Mouse liver, using Anti-USP39 Antibody [ARC2588] (A306442) at 1:1,000 dilution. The secondary antibody was Goat Anti-Rabbit IgG H&L Antibody (HRP) at 1:10,000 dilution. Lysates/proteins were present at 25µg per lane. The blocking buffer used was 3% non-fat dry milk in TBST. Detection was with a ECL Basic Kit. Exposure time: 1s.
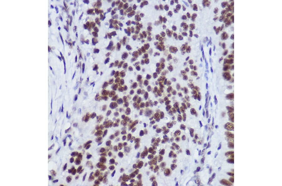
Immunohistochemistry analysis of paraffin-embedded human lung cancer using Anti-USP39 Antibody [ARC2588] (A306442) at a dilution of 1:100 (40x lens). Perform high pressure antigen retrieval with 10 mM citrate buffer pH 6.0 before commencing with IHC staining protocol.
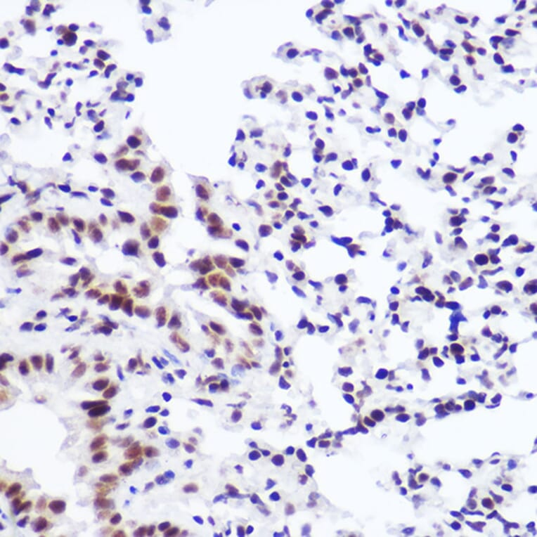
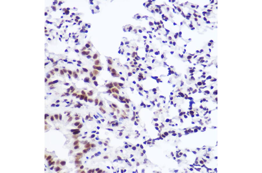
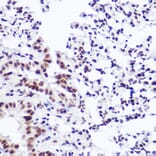
Immunohistochemistry analysis of paraffin-embedded mouse lung using Anti-USP39 Antibody [ARC2588] (A306442) at a dilution of 1:100 (40x lens). Perform high pressure antigen retrieval with 10 mM citrate buffer pH 6.0 before commencing with IHC staining protocol.
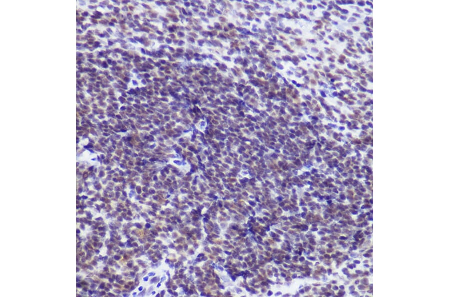
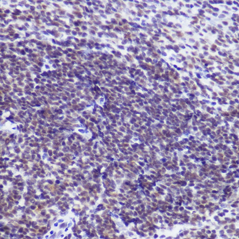
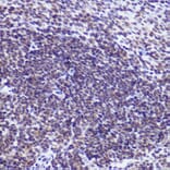
Immunohistochemistry analysis of paraffin-embedded mouse spleen using Anti-USP39 Antibody [ARC2588] (A306442) at a dilution of 1:100 (40x lens). Perform high pressure antigen retrieval with 10 mM citrate buffer pH 6.0 before commencing with IHC staining protocol.
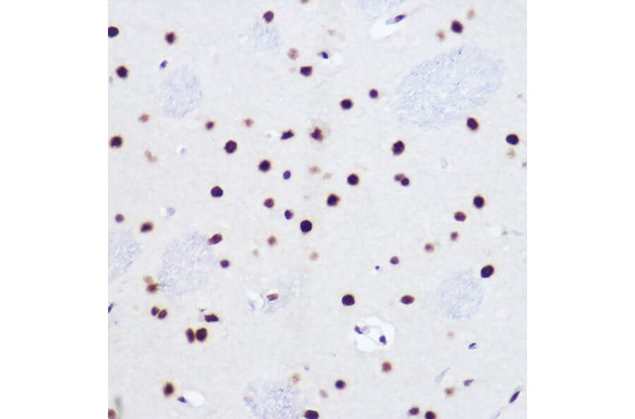
Immunohistochemistry analysis of paraffin-embedded rat brain using Anti-USP39 Antibody [ARC2588] (A306442) at a dilution of 1:100 (40x lens). Perform high pressure antigen retrieval with 10 mM citrate buffer pH 6.0 before commencing with IHC staining protocol.
Immunofluorescence analysis of NIH/3T3 cells using Anti-USP39 Antibody [ARC2588] (A306442) at a dilution of 1:100 (40x lens). DAPI was used to stain the cell nuclei (blue).
Immunofluorescence analysis of PC-12 cells using Anti-USP39 Antibody [ARC2588] (A306442) at a dilution of 1:100 (40x lens). DAPI was used to stain the cell nuclei (blue).
Immunofluorescence analysis of U2OS cells using Anti-USP39 Antibody [ARC2588] (A306442) at a dilution of 1:100 (40x lens). DAPI was used to stain the cell nuclei (blue).