Primary Antibodies
Secondary Antibodies
Proteins & Peptides
ELISA Kits
About Us
Contact Us
Sign In/Register
0
ISO 9001:2015 Certified
Live Customer Support
4.5/5 on Trustpilot
100% Quality Guarantee
Home
Primary Antibodies
Inactive Ubiquitin Carboxyl-Terminal Hydrolase 50 Antibodies
Anti-USP50 Antibody (A98841)
Anti-USP50 Antibody (A98841)
Overview
Specifications
Images
Enlarge Image
Enlarge Image
$200
Product Datasheet
Rabbit polyclonal antibody to USP50 for WB, IHC, IF and ELISA.
100% Guarantee
Price Match Guarantee
Product Size:
10µg
100µg
Quantity:
1
2
3
4
5
6
7
8
9
10
Add To Cart
Request a Quotation
Custom or Bulk Request
Shipping Information
Freight/Packing Charges:
$40
Dispatched from St. Louis, MO.
Lead Time: 6-8 business days.
Specifications
Name
Anti-USP50 Antibody
Description
Rabbit polyclonal antibody to USP50.
Applications
WB
,
IHC
,
IF
,
ELISA
Dilutions
IHC: 1:50~1:100, ELISA: 1:20000
Reactivity
Human, Mouse
Cross Reactivity
No reported cross-reactivity.
Immunogen
Synthetic peptide derived from human USP50 (amino acids 251-300).
Host
Rabbit
Clonality
Polyclonal
Isotype
IgG
Conjugate
Unconjugated
Purification
Purified from rabbit serum by antigen affinity chromatography using the immunizing peptide.
Molecular Weight
38kDa
Product Form
Liquid
Formulation
Supplied in Phosphate Buffered Saline (without Mg2+ and Ca2+), pH 7.4, with 150mM NaCl, 0.02% Sodium Azide, and 50% Glycerol.
Storage
Shipped at 4°C. Upon delivery aliquot and store at -20°C. Avoid freeze / thaw cycles.
Synonyms
Ubiquitin carboxyl-terminal hydrolase 50, Ubiquitin-specific peptidase 50
Isotype Controls
Rabbit IgG (A82272)
Rabbit IgG (A17360)
Suitable Secondaries
Goat Anti-Rabbit IgG H&L Antibody (AP) (A294874)
Goat Anti-Rabbit IgG H&L Antibody (Biotin) (A294795)
Goat Anti-Rabbit IgG H&L Antibody (FITC) (A294887)
Goat Anti-Rabbit IgG H&L Antibody (HRP) (A294888)
See all Anti-Rabbit IgG Secondaries →
Disclaimer
This product is for research use only. It is not intended for diagnostic or therapeutic use.
Scientific Validation Data
Validation Data
(2)
Enlarge Image
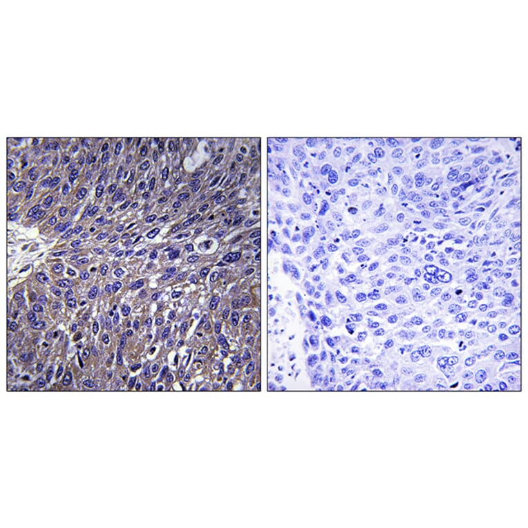
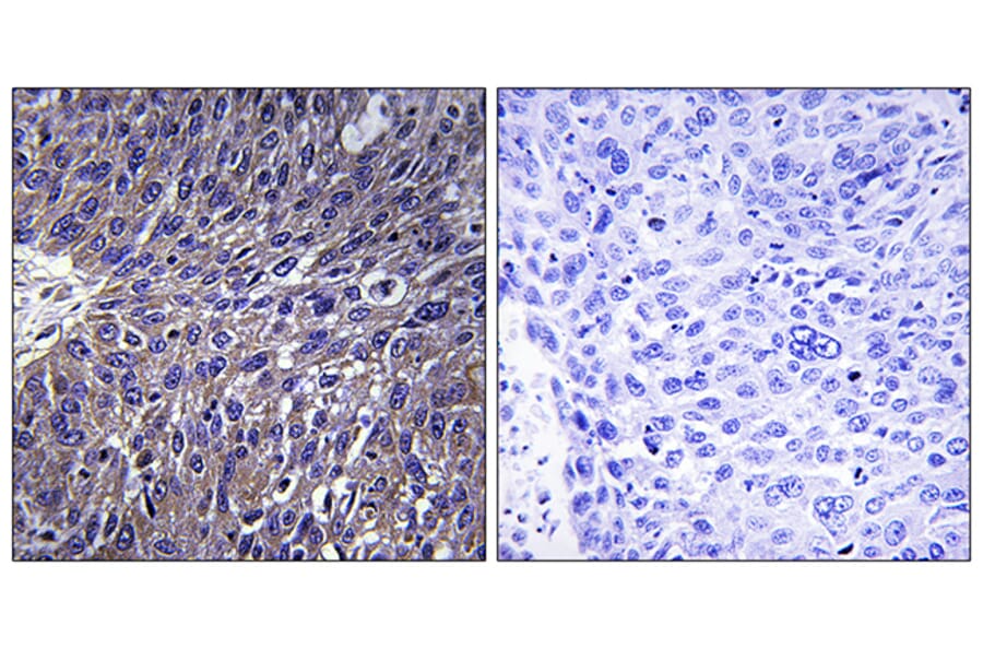
Immunohistochemistry - Anti-USP50 Antibody (A98841)
Immunohistochemical analysis of paraffin-embedded human lung carcinoma tissue using Anti-USP50 Antibody. The right hand panel represents a negative control, where the antibody was pre-incubated with the immunising peptide.
Enlarge Image
Western Blot - Anti-USP50 Antibody (A98841)
Western blot analysis of various cells using Anti-USP50 Antibody.
Publishing research using Anti-USP50 Antibody (A98841)? Please
let us know
so that we can list the citation on this page.
Alternative products to Anti-USP50 Antibody (A98841)
(2)
A37751
Anti-USP50 Antibody
Rabbit polyclonal antibody to USP50 for WB and IHC.
(2)
A37751
Anti-USP50 Antibody
Rabbit polyclonal antibody to USP50 for WB and IHC.
Proteins predicted to interact with Inactive Ubiquitin Carboxyl-Terminal Hydrolase 50
Predicted protein interactions based upon String database. Revelancy score correlates with probability of interaction.
HSP90 beta Antibodies
77.2% Relevancy Score
HSP90 alpha Antibodies
75.4% Relevancy Score
USP47 Antibodies
70.2% Relevancy Score
ZNF354A Antibodies
70% Relevancy Score
HAUSP Antibodies
69.1% Relevancy Score
USP25 Antibodies
59.8% Relevancy Score
VCIP 135 Antibodies
59% Relevancy Score
FAM175B Antibodies
57.2% Relevancy Score
USP13 Antibodies
57% Relevancy Score
Top