Primary Antibodies
Secondary Antibodies
Proteins & Peptides
ELISA Kits
About Us
Contact Us
Sign In/Register
0
ISO 9001:2015 Certified
Live Customer Support
4.5/5 on Trustpilot
100% Quality Guarantee
Home
Primary Antibodies
UXT Antibodies
Anti-UXT Antibody (A47256)
Anti-UXT Antibody (A47256)
Overview
Specifications
Images
Enlarge Image
$430
Rabbit polyclonal antibody to UXT for IHC.
100% Guarantee
Price Match Guarantee
Product Size:
100µl
Quantity:
1
2
3
4
5
6
7
8
9
10
Add To Cart
Request a Quotation
Custom or Bulk Request
Shipping Information
Freight/Packing Charges:
$40
Dispatched from St. Louis, MO.
Lead Time: 6-9 business days.
Specifications
Name
Anti-UXT Antibody
Description
Rabbit polyclonal antibody to UXT
Specificity
The antibody detects endogenous levels of total UXT protein.
Applications
IHC
Reactivity
Human
Immunogen
Full length fusion protein of human UXT
Host
Rabbit
Clonality
Polyclonal
Conjugate
Unconjugated
Purification
Antigen affinity purification.
Concentration
1.2 mg/ml
Formulation
Rabbit IgG in pH7.4 PBS, 0.05% NaN3, 40% Glycerol.
Storage
Store at -20˚C
Synonyms
Androgen receptor trapped clone 27 protein, ART-27, Protein UXT, Ubiquitously expressed transcript protein
Suitable Secondaries
Goat Anti-Rabbit IgG H&L Antibody (AP) (A294874)
Goat Anti-Rabbit IgG H&L Antibody (Biotin) (A294795)
Goat Anti-Rabbit IgG H&L Antibody (FITC) (A294887)
Goat Anti-Rabbit IgG H&L Antibody (HRP) (A294888)
See all Anti-Rabbit IgG Secondaries →
Disclaimer
This product is for research use only. It is not intended for diagnostic or therapeutic use.
Scientific Validation Data
Validation Data
(1)
Enlarge Image
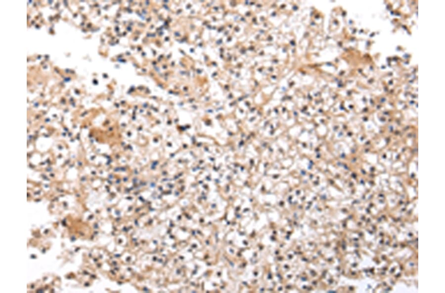
Immunohistochemistry - Anti-UXT Antibody (A47256)
Immunohistochemical analysis of paraffin-embedded Human prostate cancer tissue using #42823 at dilution 1/20,
Publishing research using Anti-UXT Antibody (A47256)? Please
let us know
so that we can list the citation on this page.
Alternative products to Anti-UXT Antibody (A47256)
(2)
A82869
Anti-UXT Antibody
Goat polyclonal antibody to UXT for ELISA, WB and IHC.
A9405
Anti-UXT Antibody
Rabbit polyclonal antibody to UXT for WB.
(2)
A82869
Anti-UXT Antibody
Goat polyclonal antibody to UXT for ELISA, WB and IHC.
A9405
Anti-UXT Antibody
Rabbit polyclonal antibody to UXT for WB.
Proteins predicted to interact with UXT
Predicted protein interactions based upon String database. Revelancy score correlates with probability of interaction.
PDRG1 Antibodies
99.9% Relevancy Score
PFD6 Antibodies
99.9% Relevancy Score
PFDN2 Antibodies
99.9% Relevancy Score
RPB5 Antibodies
99.4% Relevancy Score
RMP Antibodies
99.1% Relevancy Score
RPAP3 Antibodies
98.9% Relevancy Score
Reptin Antibodies
96.9% Relevancy Score
RUVBL1 Antibodies
95.5% Relevancy Score
RPAP2 Antibodies
88.3% Relevancy Score
Top