Unconjugated
Usutu virus (USUV) is an emerging orthoflavivirus, which mainly affects birds but in rare cases can cause severe neuroinvasive disease in humans. The virus relies on a multitude of host cell proteins, molecules and cellular processes for its replication, and must subvert host antiviral responses to establish a successful infection. Studying the complex network of virus-host protein interactions by proteomics approaches can therefore provide new insights in the replication cycle of USUV and its pathogenesis. We have previously shown that the USUV protein NS4A acts as an antagonist of the antiviral interferon response, and here we further map the host interaction partners of USUV NS4A using proximity labeling coupled to mass spectrometry. The resulting NS4A interactome revealed many host proteins involved in the autophagy pathway. We showed that both USUV infection and overexpression of USUV NS4A can indeed induce the autophagy pathway. However, stimulation or inhibition of the autophagy pathway in general did not affect USUV replication. Therefore, we decided to specifically analyze the role of the selective autophagy receptor sequestosome 1 (p62/SQSTM1), since we identified this protein as an important interaction partner of USUV NS4A. We found that p62 is involved in the degradation of USUV NS4A. In agreement with this, the knockdown of p62 enhanced replication of USUV in A549 cells. P62 thus plays an antiviral role during USUV infection, although this antiviral effect might also be related to its functions outside the autophagy pathway, such as modulation of the immune response. In conclusion, this study showed that USUV NS4A induces autophagy and is then targeted by p62 for degradation by the autophagic machinery, uncovering a new role of p62 in the antiviral defense against USUV.
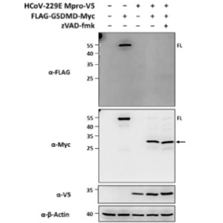
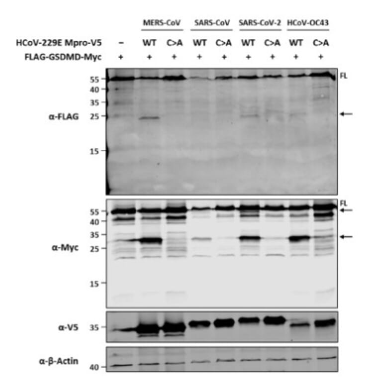
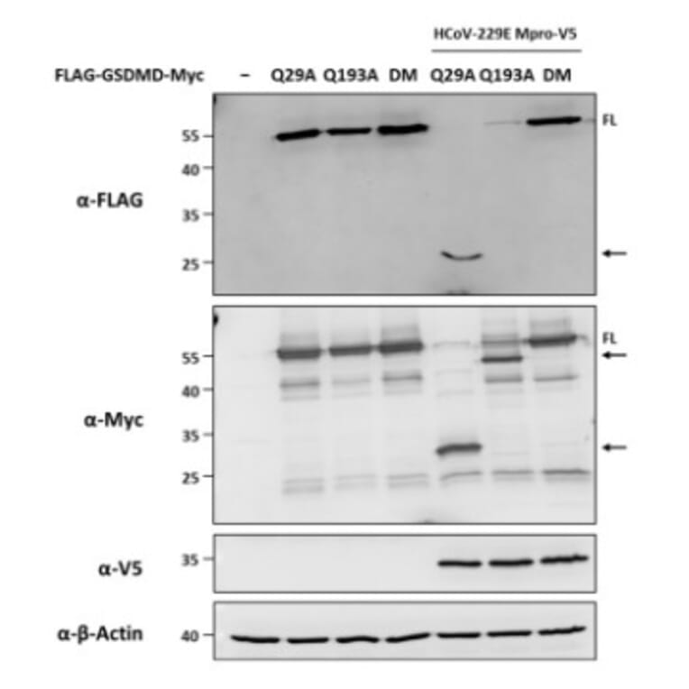
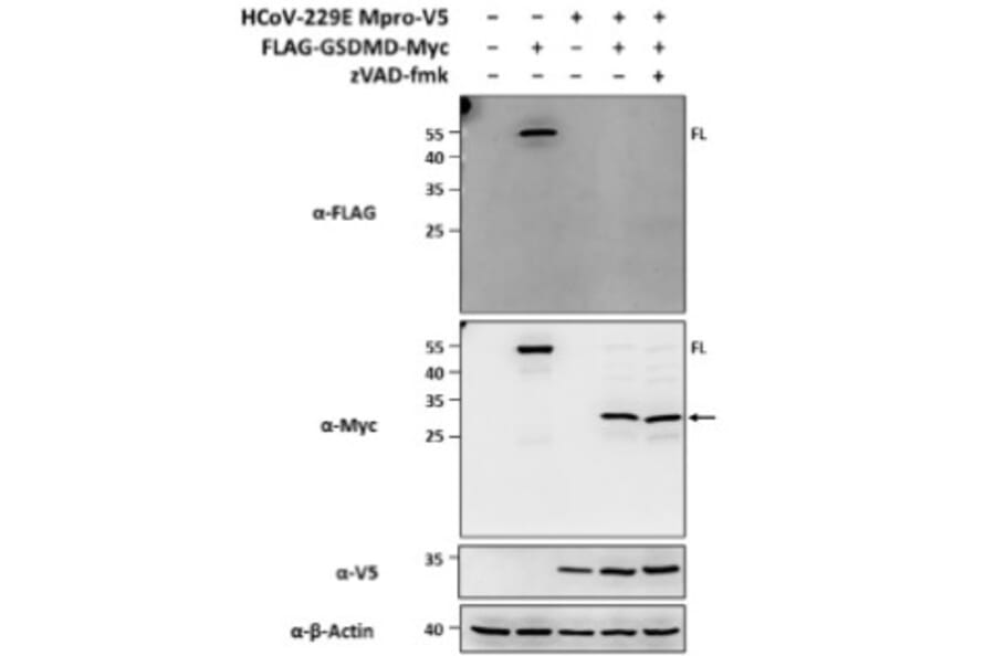
Human coronavirus 229E (HCoV-229E) is associated with upper respiratory tract infections and generally causes mild respiratory symptoms. HCoV-229E infection can cause cell death, but the molecular pathways that lead to virus-induced cell death as well as the interplay between viral proteins and cellular cell death effectors remain poorly characterized for HCoV-229E. Studying how HCoV-229E and other common cold coronaviruses interact with and affect cell death pathways may help to understand its pathogenesis and compare it to that of highly pathogenic coronaviruses. Here, we report that the main protease (Mpro) of HCoV-229E can cleave gasdermin D (GSDMD) at two different sites (Q29 and Q193) within its active N-terminal domain to generate fragments that are now unable to cause pyroptosis, a form of lytic cell death normally executed by this protein. Despite GSDMD cleavage by HCoV-229E Mpro, we show that HCoV-229E infection still leads to lytic cell death. We demonstrate that during virus infection caspase-3 cleaves and activates gasdermin E (GSDME), another key executioner of pyroptosis. Accordingly, GSDME knockout cells show a significant decrease in lytic cell death upon virus infection. Finally, we show that HCoV-229E infection leads to increased lytic cell death levels in cells expressing a GSDMD mutant uncleavable by Mpro (GSDMD Q29A+Q193A). We conclude that GSDMD is inactivated by Mpro during HCoV-229E infection, preventing GSDMD-mediated cell death, and point to the caspase-3/GSDME axis as an important player in the execution of virus-induced cell death. In the context of similar reported findings for highly pathogenic coronaviruses, our results suggest that these mechanisms do not contribute to differences in pathogenicity among coronaviruses. Nonetheless, understanding the interactions of common cold-associated coronaviruses and their proteins with the programmed cell death machineries may lead to new clues for coronavirus control strategies.