Primary Antibodies
Secondary Antibodies
Proteins & Peptides
ELISA Kits
About Us
Contact Us
Sign In/Register
0
ISO 9001:2015 Certified
Live Customer Support
4.5/5 on Trustpilot
100% Quality Guarantee
Home
Primary Antibodies
VANGL1 Antibodies
Anti-VANGL1 Antibody (A37179)
Anti-VANGL1 Antibody (A37179)
Overview
Specifications
Images
Enlarge Image
Enlarge Image
$405
Rabbit polyclonal antibody to VANGL1 for WB and IHC.
100% Guarantee
Price Match Guarantee
Product Size:
100µl
Quantity:
1
2
3
4
5
6
7
8
9
10
Add To Cart
Request a Quotation
Custom or Bulk Request
Shipping Information
Freight/Packing Charges:
$40
Dispatched from St. Louis, MO.
Lead Time: 6-9 business days.
Specifications
Name
Anti-VANGL1 Antibody
Description
Rabbit polyclonal antibody to VANGL1
Specificity
The antibody detects endogenous levels of total VANGL1 protein.
Applications
WB
,
IHC
Reactivity
Human
Immunogen
Fusion protein corresponding to a region derived from internal residues of human VANGL planar cell polarity protein 1
Host
Rabbit
Clonality
Polyclonal
Conjugate
Unconjugated
Purification
Antigen affinity purification.
Concentration
1 mg/ml
Formulation
Rabbit IgG in pH7.3 PBS, 0.05% NaN3, 50% Glycerol.
Storage
Store at -20˚C
Synonyms
Loop-tail protein 2 homolog, LPP2, STB2, Strabismus 2, Van Gogh-like protein 1, Vang-like protein 1
Suitable Secondaries
Goat Anti-Rabbit IgG H&L Antibody (AP) (A294874)
Goat Anti-Rabbit IgG H&L Antibody (Biotin) (A294795)
Goat Anti-Rabbit IgG H&L Antibody (FITC) (A294887)
Goat Anti-Rabbit IgG H&L Antibody (HRP) (A294888)
See all Anti-Rabbit IgG Secondaries →
Disclaimer
This product is for research use only. It is not intended for diagnostic or therapeutic use.
Scientific Validation Data
Validation Data
(2)
Enlarge Image
Anti-VANGL1 Antibody (A37179)
Gel: 8% SDS-PAGE Lysate: 40ug Hela cell Primary antibody: 1/250 dilution Secondary antibody dilution: 1/8000 Exposure time: 5 seconds
Enlarge Image
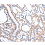
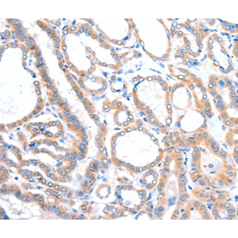
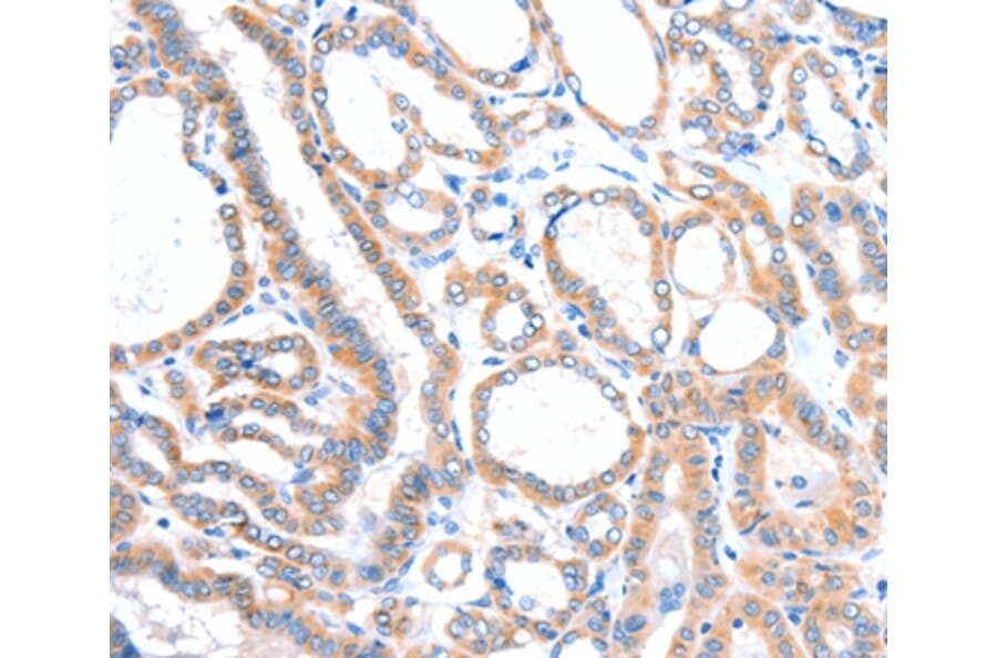
Immunohistochemistry - Anti-VANGL1 Antibody (A37179)
Immunohistochemical analysis of paraffin-embedded Human thyroid cancer tissue using #35999 at dilution 1/20.
Publishing research using Anti-VANGL1 Antibody (A37179)? Please
let us know
so that we can list the citation on this page.
Alternative products to Anti-VANGL1 Antibody (A37179)
(2)
A98736
Anti-VANGL1 Antibody
Rabbit polyclonal antibody to VANGL1 for WB and ELISA.
A98737
Anti-VANGL1 Antibody
Rabbit polyclonal antibody to VANGL1 for WB and ELISA.
A931
Anti-VANGL1 Antibody
Rabbit polyclonal antibody to VANGL1 for WB and ICC.
(2)
A98736
Anti-VANGL1 Antibody
Rabbit polyclonal antibody to VANGL1 for WB and ELISA.
A98737
Anti-VANGL1 Antibody
Rabbit polyclonal antibody to VANGL1 for WB and ELISA.
A931
Anti-VANGL1 Antibody
Rabbit polyclonal antibody to VANGL1 for WB and ICC.
Proteins predicted to interact with VANGL1
Predicted protein interactions based upon String database. Revelancy score correlates with probability of interaction.
DVL1 Antibodies
99.7% Relevancy Score
Dishevelled 2 Antibodies
99.4% Relevancy Score
Prickle 2 Antibodies
99.4% Relevancy Score
Prickle Antibodies
99.2% Relevancy Score
Dishevelled 3 Antibodies
99% Relevancy Score
PRICKLE3 Antibodies
99% Relevancy Score
PRIC4 Antibodies
98.7% Relevancy Score
VANGL2 Antibodies
96.8% Relevancy Score
CELSR1 Antibodies
96.3% Relevancy Score
Top