Western Blot - Anti-VASP (phospho Ser157) Antibody (A90197)
Western blot analysis of extracts of A431 cells, using Anti-VASP (phospho Ser157) Antibody (A90197) at 1:2,000 dilution. A431 cells were treated by Forskolin (10uM) for 30 minutes after serum-starvation overnight. The secondary antibody was Goat Anti-Rabbit IgG H&L Antibody (HRP) at 1:10,000 dilution. Lysates/proteins were present at 25µg per lane. The blocking buffer used was 3% BSA. Detection was with a ECL Basic Kit. Exposure time: 1s.
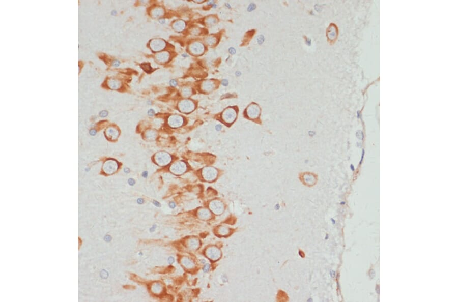
Immunohistochemistry analysis of paraffin-embedded rat brain using Anti-VASP (phospho Ser157) Antibody (A90197) at a dilution of 1:100 (40x lens). Perform microwave antigen retrieval with 10 mM Tris/EDTA buffer pH 9.0 before commencing with IHC staining protocol.
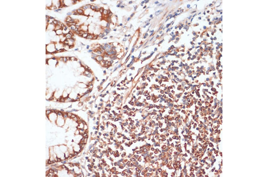
Immunohistochemistry analysis of paraffin-embedded human colon tissue using Anti-VASP (phospho Ser157) Antibody (A90197) at a dilution of 1:100 (40x lens). Perform microwave antigen retrieval with 10 mM Tris/EDTA buffer pH 9.0 before commencing with IHC staining protocol.
Immunohistochemistry analysis of paraffin-embedded mouse lung using Anti-VASP (phospho Ser157) Antibody (A90197) at a dilution of 1:100 (40x lens). Perform microwave antigen retrieval with 10 mM Tris/EDTA buffer pH 9.0 before commencing with IHC staining protocol.
Western Blot - Anti-VASP (phospho Ser157) Antibody (A90197)
Immunoprecipitation analysis of 200µg extracts of A-431 cells using 3µg of Anti-VASP (phospho Ser157) Antibody (A90197). This Western blot was performed on the immunoprecipitate using Anti-VASP (phospho Ser157) Antibody (A90197) at a dilution of 1:1000. A-431 cells were treated by Forskolin (10 uM) at 37°C for 30 minutes after serum-starvation overnight.