Western blot analysis of extracts of various cell lines, using Anti-VEGFB Antibody (A88829) at 1:1,000 dilution. The secondary antibody was Goat Anti-Rabbit IgG H&L Antibody (HRP) at 1:10,000 dilution. Lysates/proteins were present at 25µg per lane. The blocking buffer used was 3% non-fat dry milk in TBST. Detection was with a ECL Basic Kit. Exposure time: 30s.
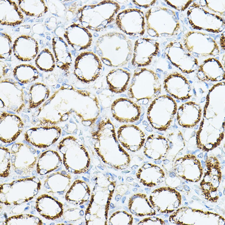
Immunohistochemistry analysis of paraffin-embedded rat kidney using Anti-VEGFB Antibody (A88829) at a dilution of 1:100 (40x lens). Perform high pressure antigen retrieval with 10 mM citrate buffer pH 6.0 before commencing with IHC staining protocol.
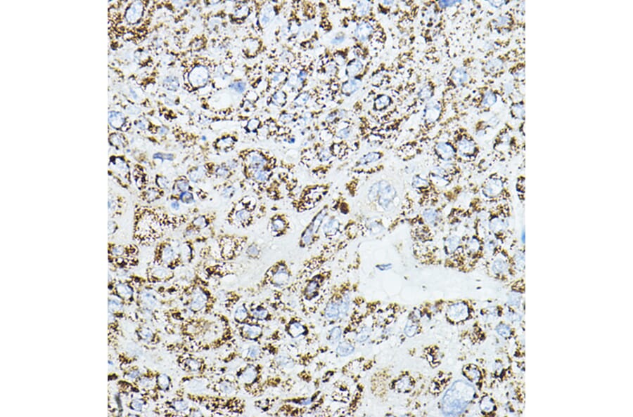
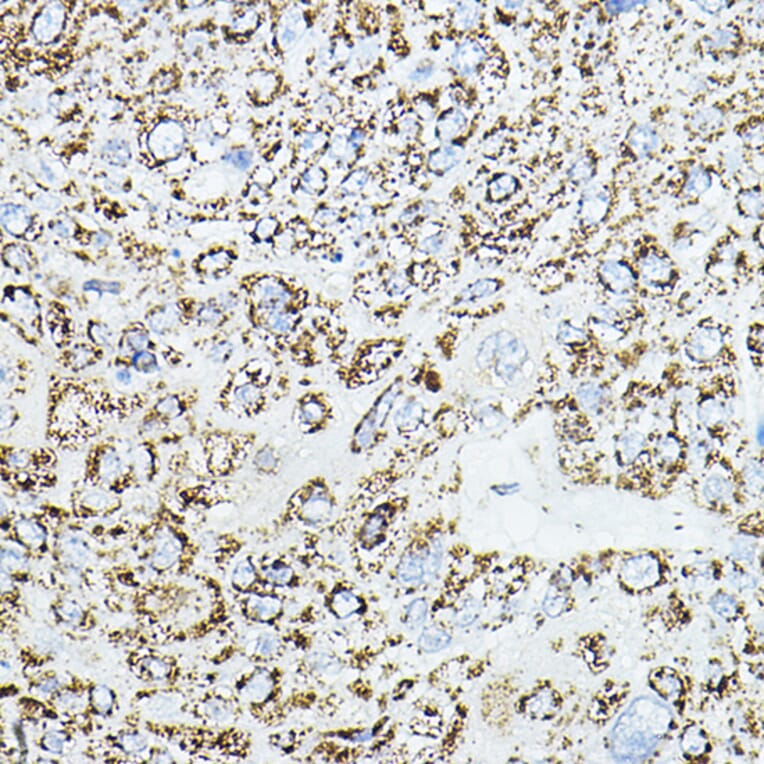
Immunohistochemistry analysis of paraffin-embedded human esophageal cancer using Anti-VEGFB Antibody (A88829) at a dilution of 1:100 (40x lens). Perform high pressure antigen retrieval with 10 mM citrate buffer pH 6.0 before commencing with IHC staining protocol.
Publishing research using Anti-VEGFB Antibody (A88829)? Please let us know so that we can list the citation on this page.
Alternative products to Anti-VEGFB Antibody (A88829)
Recombinant humanized monoclonal antibody to VEGFB for use as a research grade Reflocibart biosimila for ELISA, Flow Cytometry, Functional Studies and in vivo Research.
Recombinant human monoclonal antibody to VEGFB for use as a research grade CSL 346 biosimilar for ELISA, Flow Cytometry, Functional Studies and in vivo Research.
Recombinant humanized monoclonal antibody to VEGFB for use as a research grade Reflocibart biosimila for ELISA, Flow Cytometry, Functional Studies and in vivo Research.
Recombinant human monoclonal antibody to VEGFB for use as a research grade CSL 346 biosimilar for ELISA, Flow Cytometry, Functional Studies and in vivo Research.