ISO 9001:2015 Certified
Live Customer Support
4.5/5 on Trustpilot
100% Quality Guarantee

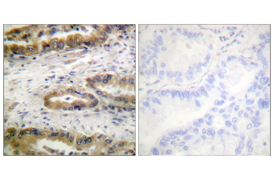
Anti-VEGFR2 (phospho Tyr1054) Antibody (A94613)

Rabbit polyclonal antibody to VEGFR2 (phospho Tyr1054) for IHC and ELISA.

Shipping Information

$40
Dispatched from St. Louis, MO.
Lead Time: 6-8 business days.
Name
Anti-VEGFR2 (phospho Tyr1054) Antibody
Description
Rabbit polyclonal antibody to VEGFR2 (phospho Tyr1054).
Specificity
This antibody detects endogenous levels of VEGFR2 only when phosphorylated at Tyr1054.
Applications
IHC, ELISA
Dilutions
WB: 1:500-1:1000, ELISA: 1:1000
Reactivity
Human, Mouse, Rat
Immunogen
Synthetic peptide derived from human VEGFR2 around the phosphorylation site of Tyr1054 (amino acids 1020-1069).
Host
Rabbit
Clonality
Polyclonal
Isotype
IgG
Conjugate

Unconjugated

Purification
Purified from rabbit serum by antigen affinity chromatography using the immunizing phospho peptide.
Molecular Weight
151kDa
Product Form
Liquid
Formulation
Supplied in Phosphate Buffered Saline (without Mg2+ and Ca2+), pH 7.4, with 150mM NaCl, 0.02% Sodium Azide, and 50% Glycerol.
Storage
Shipped at 4°C. Upon delivery aliquot and store at -20°C. Avoid freeze / thaw cycles.
Disclaimer
This product is for research use only. It is not intended for diagnostic or therapeutic use.
Publishing research using Anti-VEGFR2 (phospho Tyr1054) Antibody (A94613)? Please let us know so that we can list the citation on this page.