ISO 9001:2015 Certified
Live Customer Support
4.5/5 on Trustpilot
100% Quality Guarantee

Recombinant Anti-Villin Antibody [rVIL1/1325] (A250299)

Recombinant mouse monoclonal [rVIL1/1325] antibody to Villin for IHC-P.

Alternative Formats and ConjugatesAlternative Formats

Shipping Information

$40
Dispatched from St. Louis, MO.
Lead Time: 5-8 business days.
Name
Anti-Villin Antibody [rVIL1/1325]
Description
Recombinant mouse monoclonal [rVIL1/1325] antibody to Villin.
Specificity
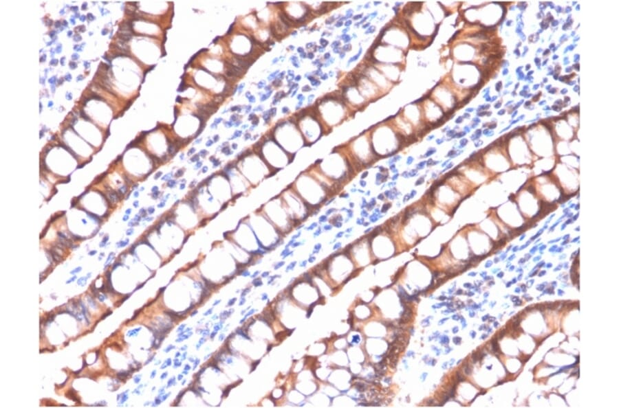
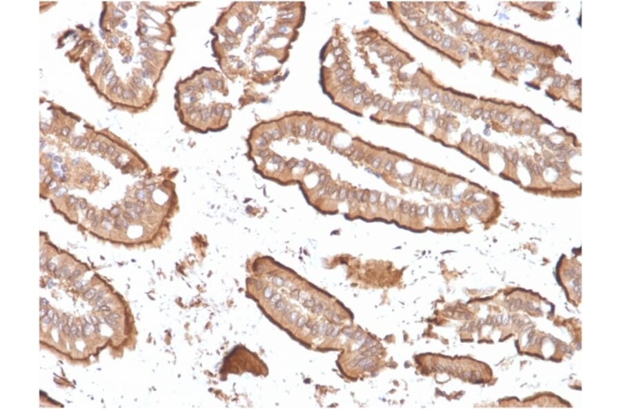
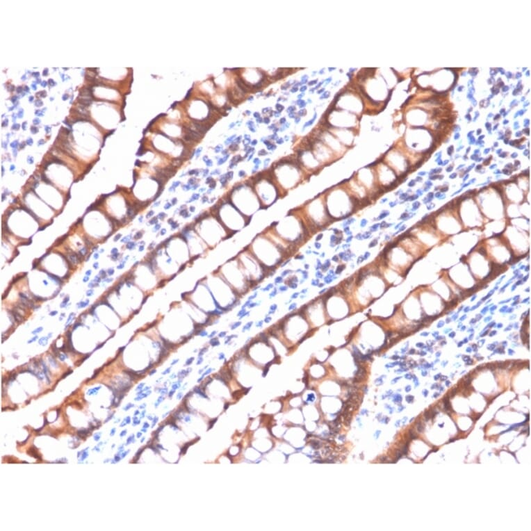
This antibody recognizes a protein of 95kDa, which is identified as villin. It is a major constituent in the microvilli, which compose the brush border of epithelial cells forming absorptive surfaces of the intestinal and renal proximal tubular epithelia. Anti-Villin labels the brush border area in the gastrointestinal mucosal epithelium and urogenital tract. Among neoplasms, villin is predominantly expressed in tumors of colorectal origin. Antibody to villin is useful in identifying malignant cells from primary and metastatic colorectal carcinomas. This antibody also labels Merkel cells of the skin.
Applications
IHC-P
Dilutions
IHC-P: 1-2 µg/ml
Reactivity
Human
Immunogen
Recombinant fragment, within amino acids 179-311, of human Villin protein. The exact sequence is proprietary.
Host
Mouse
Clonality
Monoclonal
Clone ID
rVIL1/1325
Isotype
IgG1
Light Chains
kappa
Conjugate

Unconjugated

Purification
Protein A/G chromatography.
Concentration
200 µg/ml
Molecular Weight
93 kDa
Product Form
Liquid
Formulation
Supplied in 10mM Phosphate Buffered Saline with 0.05% BSA and 0.05% Sodium Azide.
Storage
Shipped at 4°C. Upon delivery aliquot and store at -20°C. Avoid freeze / thaw cycles.
General Notes
This monoclonal antibody is also available in a different formulation without BSA and Sodium Azide - Anti-Villin Antibody [rVIL1/1325] - BSA and Azide free (A253479).
Synonyms
VIL, VIL1, Villin-1
Disclaimer
This product is for research use only. It is not intended for diagnostic or therapeutic use.
Publishing research using Recombinant Anti-Villin Antibody [rVIL1/1325] (A250299)? Please let us know so that we can list the citation on this page.

Alternative products to Anti-Villin Antibody [rVIL1/1325] (A250299)

Proteins predicted to interact with Villin

Predicted protein interactions based upon String database. Revelancy score correlates with probability of interaction.
60.9% Relevancy Score
59.4% Relevancy Score
59.3% Relevancy Score
56% Relevancy Score
55.6% Relevancy Score
55.1% Relevancy Score
53.3% Relevancy Score
49.4% Relevancy Score
49.1% Relevancy Score