Primary Antibodies
Secondary Antibodies
Proteins & Peptides
ELISA Kits
About Us
Contact Us
Sign In/Register
0
ISO 9001:2015 Certified
Live Customer Support
4.5/5 on Trustpilot
100% Quality Guarantee
Home
Primary Antibodies
MAVS Antibodies
Anti-VISA Antibody (A48365)
Anti-VISA Antibody (A48365)
Overview
Specifications
Images
Enlarge Image
Enlarge Image
$780
Product Datasheet
Rabbit polyclonal antibody to VISA for ELISA, WB and IHC.
100% Guarantee
Price Match Guarantee
Product Size:
100µl
Quantity:
1
2
3
4
5
6
7
8
9
10
Add To Cart
Request a Quotation
Custom or Bulk Request
Shipping Information
Freight/Packing Charges:
$40
Dispatched from St. Louis, MO.
Lead Time: 6-9 business days.
Tags:
Peroxisome Marker
Specifications
Name
Anti-VISA Antibody
Description
Rabbit polyclonal antibody to VISA
Applications
ELISA
,
WB
,
IHC
Reactivity
Human, Mouse, Rat
Immunogen
Raised against a 13 amino acid peptide from near the amino terminus of human VISA.
Host
Rabbit
Clonality
Polyclonal
Conjugate
Unconjugated
Purification
Affinity chromatography purified via peptide column
Formulation
Supplied in phosphate-buffered saline with 0.02% Sodium Azide.
Storage
Shipped at 4°C. Upon delivery aliquot and store at -20°C. Avoid freeze/thaw cycles.
Synonyms
CARD adapter inducing interferon beta, Cardif, Interferon beta promoter stimulator protein 1, IPS-1, IPS1, KIAA1271, Mitochondrial antiviral-signaling protein, Putative NF-kappa-B-activating protein 031N, Virus-induced-signaling adapter
Suitable Secondaries
Goat Anti-Rabbit IgG H&L Antibody (AP) (A294874)
Goat Anti-Rabbit IgG H&L Antibody (Biotin) (A294795)
Goat Anti-Rabbit IgG H&L Antibody (FITC) (A294887)
Goat Anti-Rabbit IgG H&L Antibody (HRP) (A294888)
See all Anti-Rabbit IgG Secondaries →
Disclaimer
This product is for research use only. It is not intended for diagnostic or therapeutic use.
Scientific Validation Data
Validation Data
(2)
Enlarge Image
Anti-VISA Antibody (A48365)
Western blot analysis of VISA in A20 cell lysate with VISA antibody at (A) 0.5, (B) 1 and (C) 2 µg/mL.
Enlarge Image
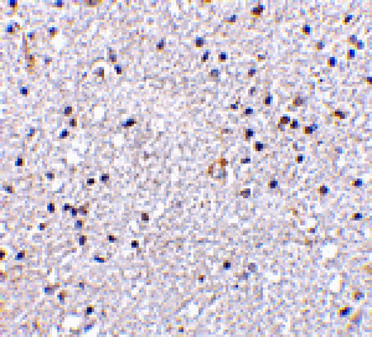
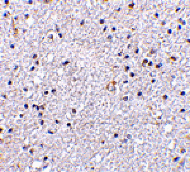
Immunohistochemistry - Anti-VISA Antibody (A48365)
Immunohistochemistry of VISA in human brain tissue with VISA antibody at 5 µg/mL.
Publishing research using Anti-VISA Antibody (A48365)? Please
let us know
so that we can list the citation on this page.
Alternative products to Anti-VISA Antibody (A48365)
(6)
A14959
Anti-MAVS Antibody
Rabbit polyclonal antibody to MAVS for WB, IHC and ICC/IF.
(2)
A48366
Anti-VISA Antibody
Rabbit polyclonal antibody to VISA for ELISA, WB and IHC.
A38571
Anti-MAVS Antibody
Rabbit polyclonal antibody to MAVS for WB and IHC.
A31035
Anti-MAVS Antibody
Rabbit polyclonal antibody to MAVS for WB and IHC.
A54859
Anti-MAVS Antibody
Rabbit polyclonal antibody to MAVS for ELISA, IP and WB.
A322375
Anti-MAVS Antibody [OTI9C4]
Mouse monoclonal [OTI9C4] antibody to MAVS for IHC and WB.
A322374
Anti-MAVS Antibody [OTI9C4] - BSA and Azide free
Mouse monoclonal [OTI9C4] antibody to MAVS for IHC and WB.
(6)
A14959
Anti-MAVS Antibody
Rabbit polyclonal antibody to MAVS for WB, IHC and ICC/IF.
(2)
A48366
Anti-VISA Antibody
Rabbit polyclonal antibody to VISA for ELISA, WB and IHC.
A38571
Anti-MAVS Antibody
Rabbit polyclonal antibody to MAVS for WB and IHC.
A31035
Anti-MAVS Antibody
Rabbit polyclonal antibody to MAVS for WB and IHC.
A54859
Anti-MAVS Antibody
Rabbit polyclonal antibody to MAVS for ELISA, IP and WB.
A322375
Anti-MAVS Antibody [OTI9C4]
Mouse monoclonal [OTI9C4] antibody to MAVS for IHC and WB.
A322374
Anti-MAVS Antibody [OTI9C4] - BSA and Azide free
Mouse monoclonal [OTI9C4] antibody to MAVS for IHC and WB.
See all VISA Antibodies
Proteins predicted to interact with MAVS
Predicted protein interactions based upon String database. Revelancy score correlates with probability of interaction.
TBK1 Antibodies
99.9% Relevancy Score
NLRX1 Antibodies
99.9% Relevancy Score
RIG-I Antibodies
99.9% Relevancy Score
MDA5 Antibodies
99.9% Relevancy Score
IKK epsilon Antibodies
99.9% Relevancy Score
STING Antibodies
99.9% Relevancy Score
ATG12 Antibodies
99.9% Relevancy Score
TRAF3 Antibodies
99.9% Relevancy Score
TRAF2 Antibodies
99.9% Relevancy Score
Top