ISO 9001:2015 Certified
Live Customer Support
4.5/5 on Trustpilot
100% Quality Guarantee

Anti-Vitamin D Receptor Antibody (A81184)

This product is discontinued

Anti-Vitamin D Receptor Antibody (A81184) has been discontinued and is no longer available.

View all Primary Antibodies.

Name
Anti-Vitamin D Receptor Antibody
Description
Rabbit polyclonal antibody to Vitamin D Receptor.
Applications
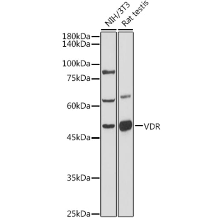
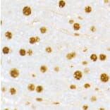
WB, IHC, ICC/IF
Dilutions
WB: 1:100-1:500, IHC: 1:50-1:200, ICC/IF: 1:50-1:200
Reactivity
Human, Mouse, Rat
Immunogen
Recombinant fusion protein containing a sequence corresponding to amino acids 1-300 of human VDR (NP_000367.1).
Sequence
MEAMAASTSLPDPGDFDRNVPRICGVCGDRATGFHFNAMTCEGCKGFFRRSMKRKALFTCPFNGDCRITKDNRRHCQACRLKRCVDIGMMKEFILTDEEVQRKREMILKRKEEEALKDSLRPKLSEEQQRIIAILLDAHHKTYDPTYSDFCQFRPPVRVNDGGGSHPSRPNSRHTPSFSGDSSSSCSDHCITSSDMMDSSSFSNLDLSEEDSDDPSVTLELSQLSMLPHLADLVSYSIQKVIGFAKMIPGFRDLTSEDQIVLLKSSAIEVIMLRSNESFTMDDMSWTCGNQDYKYRVSDV
Host
Rabbit
Clonality
Polyclonal
Isotype
IgG
Conjugate

Unconjugated

Purification
Affinity purification.
Molecular Weight
48 kDa
Product Form
Liquid
Formulation
Supplied in Phosphate Buffered Saline, pH 7.3, with 50% Glycerol and 0.01% Thiomersal.
Storage
Shipped at 4°C. Upon delivery aliquot and store at -20°C. Avoid freeze / thaw cycles.
Synonyms
1, 1 25 dihydroxyvitamin D3 receptor, 1,25 dihydroxyvitamin D3 receptor, 1,25-@dihydroxyvitamin D3 receptor, 25-dihydroxyvitamin D3 receptor, Member 1, NR1I1, Nuclear receptor subfamily 1 group I member 1, PPP1R163, Protein phosphatase 1, regulatory subunit 163, VDR, VDR_HUMAN, Vitamin D (1,25- dihydroxyvitamin D3) receptor, Vitamin D hormone receptor, Vitamin D nuclear receptor variant 1, Vitamin D3 receptor
Disclaimer
This product is for research use only. It is not intended for diagnostic or therapeutic use.

Alternative products to Anti-Vitamin D Receptor Antibody (A81184)