Primary Antibodies
Secondary Antibodies
Proteins & Peptides
ELISA Kits
About Us
Contact Us
Sign In/Register
0
ISO 9001:2015 Certified
Live Customer Support
4.5/5 on Trustpilot
100% Quality Guarantee
Home
Primary Antibodies
Protein Kinase-Like Protein SgK493 Antibodies
Anti-VLK Antibody (A48611)
Anti-VLK Antibody (A48611)
Overview
Specifications
Images
Enlarge Image
Enlarge Image
$780
Product Datasheet
Rabbit polyclonal antibody to VLK for ELISA, WB and IHC.
100% Guarantee
Price Match Guarantee
Product Size:
100µl
Quantity:
1
2
3
4
5
6
7
8
9
10
Add To Cart
Request a Quotation
Custom or Bulk Request
Shipping Information
Freight/Packing Charges:
$40
Dispatched from St. Louis, MO.
Lead Time: 6-9 business days.
Specifications
Name
Anti-VLK Antibody
Description
Rabbit polyclonal antibody to VLK
Applications
ELISA
,
WB
,
IHC
Reactivity
Human, Mouse, Rat
Immunogen
Raised against a 15 amino acid peptide from near the center of human VLK.
Host
Rabbit
Clonality
Polyclonal
Conjugate
Unconjugated
Purification
Affinity chromatography purified via peptide column
Formulation
Supplied in phosphate-buffered saline with 0.02% Sodium Azide.
Storage
Shipped at 4°C. Upon delivery aliquot and store at -20°C. Avoid freeze/thaw cycles.
Synonyms
Extracellular tyrosine-protein kinase PKDCC, PKDCC, Protein kinase domain-containing protein, cytoplasmic, SGK493, Sugen kinase 493, Vertebrate lonesome kinase
Suitable Secondaries
Goat Anti-Rabbit IgG H&L Antibody (AP) (A294874)
Goat Anti-Rabbit IgG H&L Antibody (Biotin) (A294795)
Goat Anti-Rabbit IgG H&L Antibody (FITC) (A294887)
Goat Anti-Rabbit IgG H&L Antibody (HRP) (A294888)
See all Anti-Rabbit IgG Secondaries →
Disclaimer
This product is for research use only. It is not intended for diagnostic or therapeutic use.
Scientific Validation Data
Validation Data
(2)
Enlarge Image
Anti-VLK Antibody (A48611)
Western blot analysis of VLK in human lung tissue lysate with VLK antibody at 1 µg/mL.
Enlarge Image
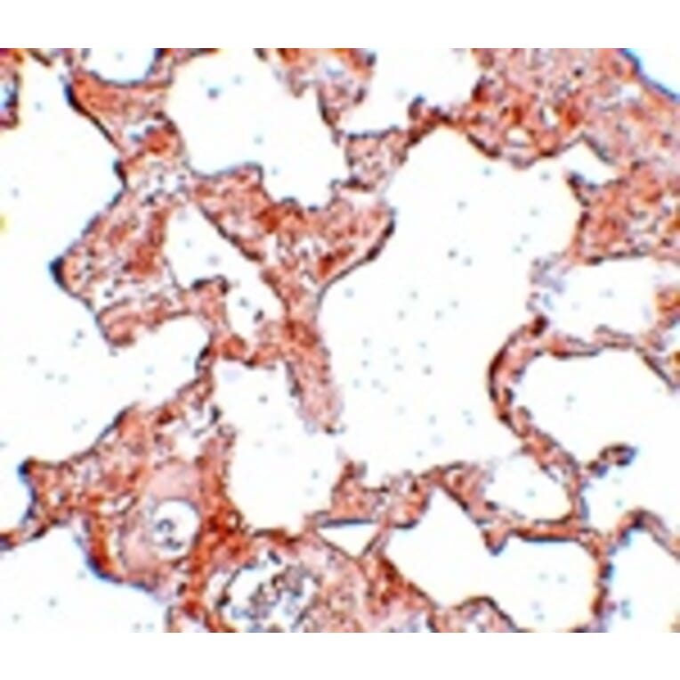
Immunohistochemistry - Anti-VLK Antibody (A48611)
Immunohistochemistry of VLK in rat lung tissue with VLK antibody at 2.5 µg/mL.
Publishing research using Anti-VLK Antibody (A48611)? Please
let us know
so that we can list the citation on this page.
Proteins predicted to interact with Protein Kinase-Like Protein SgK493
Predicted protein interactions based upon String database. Revelancy score correlates with probability of interaction.
SGK196 Antibodies
74.6% Relevancy Score
KCNG3 Antibodies
57.2% Relevancy Score
RRP36 Antibodies
51.7% Relevancy Score
CXorf36 Antibodies
48% Relevancy Score
STAC2 Antibodies
47.8% Relevancy Score
EML4 Antibodies
46.2% Relevancy Score
DECR2 Antibodies
46% Relevancy Score
FA20A Antibodies
45.8% Relevancy Score
Cadherin 8 Antibodies
45.3% Relevancy Score
Top