Primary Antibodies
Secondary Antibodies
Proteins & Peptides
ELISA Kits
About Us
Contact Us
Sign In/Register
0
ISO 9001:2015 Certified
Live Customer Support
4.5/5 on Trustpilot
100% Quality Guarantee
Home
Primary Antibodies
TMEM49 Antibodies
Anti-VMP1 Antibody (A46988)
Anti-VMP1 Antibody (A46988)
Overview
Specifications
Images
Enlarge Image
$430
Product Datasheet
Rabbit polyclonal antibody to VMP1 for IHC.
100% Guarantee
Price Match Guarantee
Product Size:
100µl
Quantity:
1
2
3
4
5
6
7
8
9
10
Add To Cart
Request a Quotation
Custom or Bulk Request
Shipping Information
Freight/Packing Charges:
$40
Dispatched from St. Louis, MO.
Lead Time: 6-9 business days.
Specifications
Name
Anti-VMP1 Antibody
Description
Rabbit polyclonal antibody to VMP1
Specificity
The antibody detects endogenous levels of total VMP1 protein.
Applications
IHC
Reactivity
Human, Mouse, Rat
Immunogen
Synthetic peptide corresponding to residues near the C terminal of human vacuole membrane protein 1
Host
Rabbit
Clonality
Polyclonal
Conjugate
Unconjugated
Purification
Antigen affinity purification.
Concentration
1.9 mg/mL
Formulation
Rabbit IgG in pH7.4 PBS, 0.05% NaN3, 40% Glycerol.
Storage
Shipped at 4°C. Upon delivery aliquot and store at -20°C. Avoid freeze/thaw cycles.
Synonyms
TDC1, Transmembrane protein 49, Vacuole membrane protein 1
Suitable Secondaries
Goat Anti-Rabbit IgG H&L Antibody (AP) (A294874)
Goat Anti-Rabbit IgG H&L Antibody (Biotin) (A294795)
Goat Anti-Rabbit IgG H&L Antibody (FITC) (A294887)
Goat Anti-Rabbit IgG H&L Antibody (HRP) (A294888)
See all Anti-Rabbit IgG Secondaries →
Disclaimer
This product is for research use only. It is not intended for diagnostic or therapeutic use.
Scientific Validation Data
Validation Data
(1)
Enlarge Image
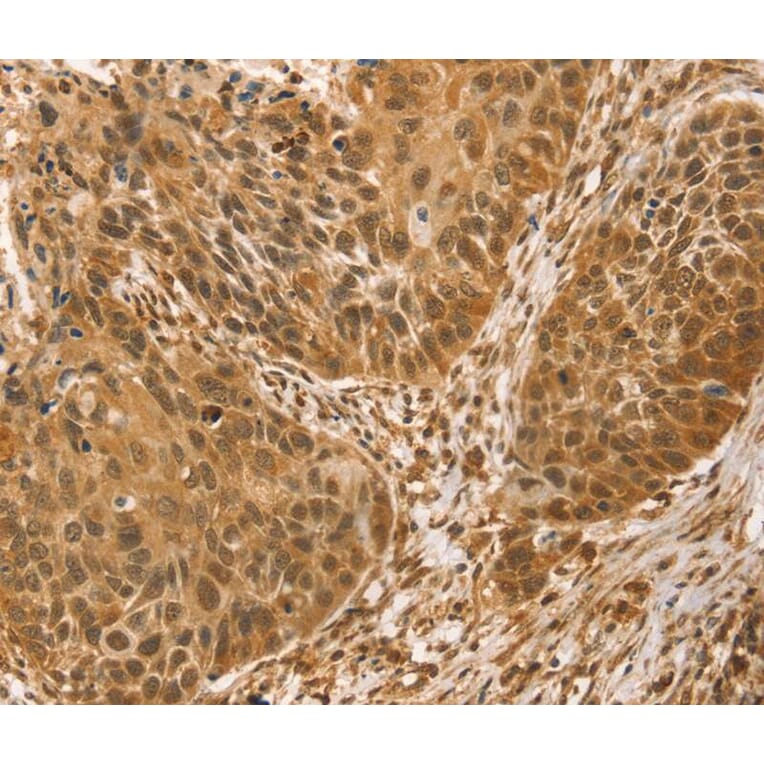
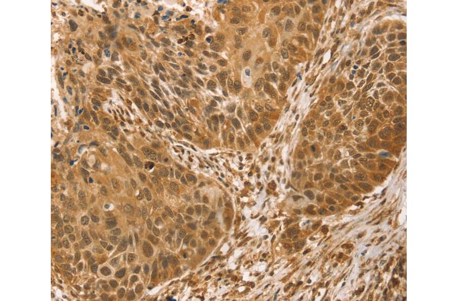
Immunohistochemistry - Anti-VMP1 Antibody (A46988)
Immunohistochemical analysis of paraffin-embedded Human oesophagus cancer tissue using #40253 at dilution 1/30.
Publishing research using Anti-VMP1 Antibody (A46988)? Please
let us know
so that we can list the citation on this page.
Proteins predicted to interact with TMEM49
Predicted protein interactions based upon String database. Revelancy score correlates with probability of interaction.
Beclin 1 Antibodies
99.9% Relevancy Score
TP53INP2 Antibodies
96.4% Relevancy Score
VPS34 Antibodies
91.9% Relevancy Score
WIPI1 Antibodies
80.2% Relevancy Score
ATG101 Antibodies
75.9% Relevancy Score
ATG13 Antibodies
75.1% Relevancy Score
VPS15 Antibodies
73.8% Relevancy Score
FIP200 Antibodies
71.2% Relevancy Score
ATG14 Antibodies
70.1% Relevancy Score
Top