Immunoprecipitation analysis of mouse embryonic fibroblast using Anti-VPS35 Antibody [11H10] (A305037). Three amounts of A305037 (3, 1 and 0.3 ug) were non-covalently coupled to 10uL of A/G sepharose beads for 1 hour at 4°C and next incubated with 250ug of A549 lysate for 2 hours at 4°C.
Immunoprecipitation analysis of mouse embryonic fibroblast using Anti-VPS35 Antibody [11H10] (A305037). Three amounts of A305037 (3, 1 and 0.3 ug) were non-covalently coupled to 10uL of A/G sepharose beads for 1 hour at 4°C and next incubated with 250ug of MEF lysate for 2 hours at 4°C.
Western Blot - Anti-VPS35 Antibody [11H10] (A305037)
Western blot analysis of Human, mouse A549, MEF showing detection of VPS35 protein using Anti-VPS35 Antibody [11H10] (A305037) at 1:5 (tissue culture supernatant). Lane 1: Molecular Weight Ladder. Lane 2: VPS35 KO A549 cells. Lane 3: mouse embryonic fibroblast cells.. Load: 8 µg each A549 and MEF. The secondary antibody used was Donkey anti-mouse IRDye 800CW at 1:25,000 in TBS-T.
Western Blot - Anti-VPS35 Antibody [11H10] (A305037)
Western blot analysis of human SH-SY5Y showing detection of VPS35 protein using Anti-VPS35 Antibody [11H10] (A305037) at 1:1,000 for 2 hours at room temperature with shaking. Lane 1: Molecular Weight Ladder. Lane 2: SH-SY5Y (10 ug). Load: 10 µg. Block: 5% Skim Milk powder in TBST. The secondary antibody used was Goat anti-mouse IgG:HRP at 1:4,000 for 1 hour at room temperature with shaking. Color Development: Chemiluminescent for HRP (Moss) for 5 minutes in room temperature.
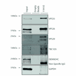
Immunoprecipitation analysis of mouse embryonic fibroblast using Anti-VPS35 Antibody [11H10] (A305037). 500 µL cell culture supernatants were incubated with 10 µL of Protein A/G resin beads for 1 hour at 4°C. A305037 clone 11H10 depletes VPS35 from the A549 cell extract.
Immunohistochemistry analysis of human intestinal cancer. The Primary Antibody used was Anti-VPS35 Antibody [11H10] (A305037) at 1:100 for Overnight at 4°C, then 30 minutes at 37°C. The secondary antibody used was Goat Anti-Mouse IgG (H+L): FITC for 45 minutes at 37°C. Counterstain: DAPI for 3 min at room temperature. Magnification: 20X.