Western Blot - Anti-VPS45A (C Terminus) Antibody (A83977)
VPS45A (C Terminus) expression in Human Peripheral Blood Mononucleocyte lysate analyzed by western blot. Cells were lysed in RIPA buffer and 35µg protein was run per lane. Primary antibody incubation was performed with Anti-VPS45A (C Terminus) Antibody (A83977) at 0.3µg/ml and detected by chemiluminescence.
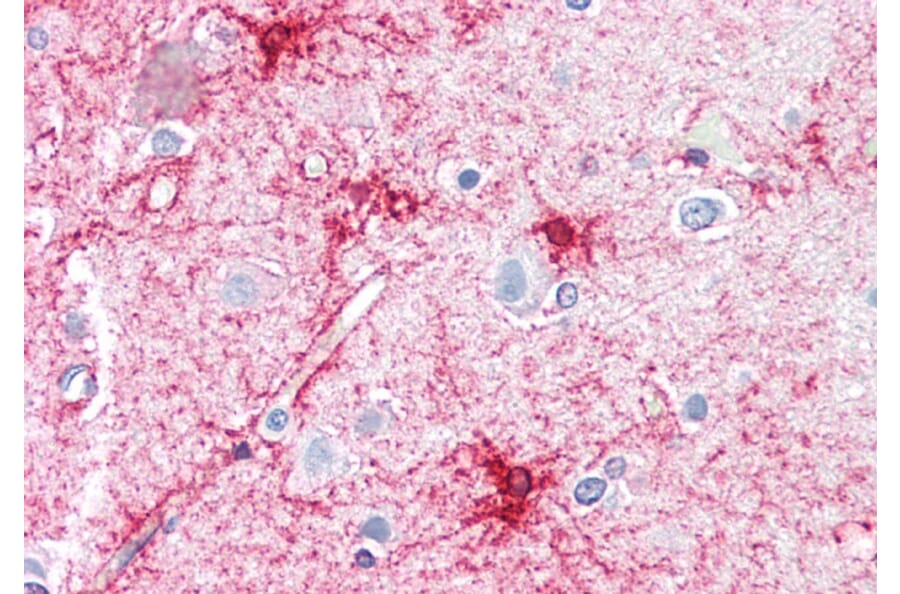
VPS45A (C Terminus) expression in Human Cortex analyzed by immunohistochemistry. Tissue was paraffin-embedded, and antigen retrieval was achieved by steaming in citrate buffer, pH 6. Staining was performed with Anti-VPS45A (C Terminus) Antibody (A83977) at 5µg/ml and revealed with alkaline phosphatase (AP).
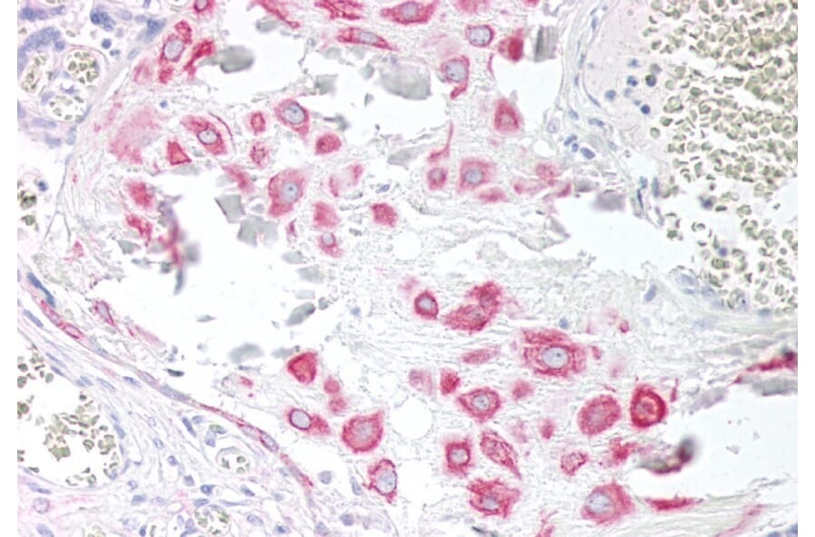
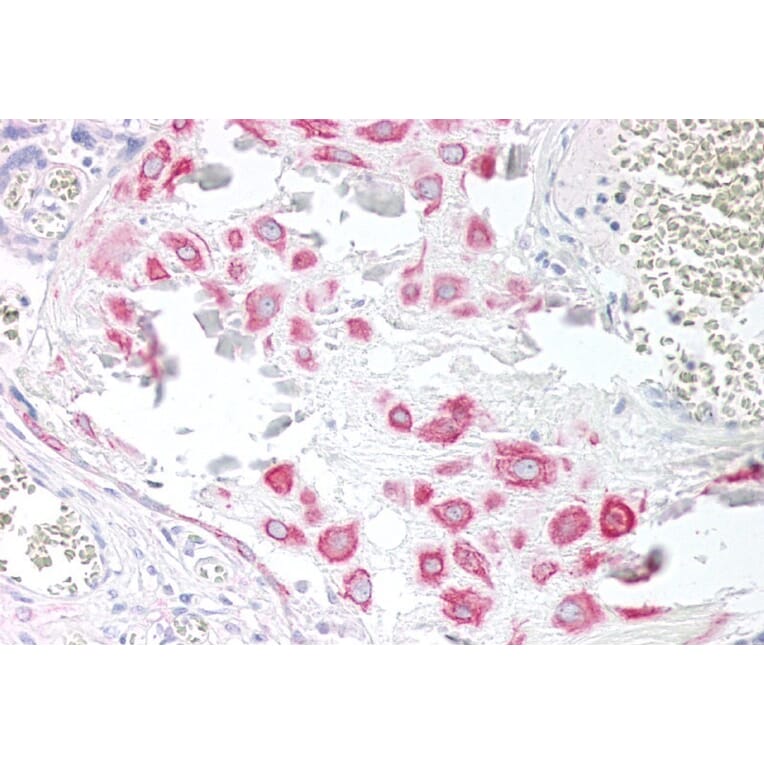
VPS45A (C Terminus) expression in Human Placenta analyzed by immunohistochemistry. Tissue was paraffin-embedded, and antigen retrieval was achieved by steaming in citrate buffer, pH 6. Staining was performed with Anti-VPS45A (C Terminus) Antibody (A83977) at 5µg/ml and revealed with alkaline phosphatase (AP).
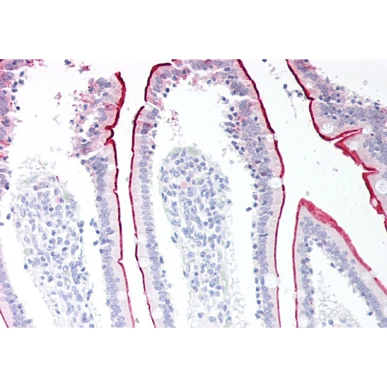
VPS45A (C Terminus) expression in Human Small Intestine analyzed by immunohistochemistry. Tissue was paraffin-embedded, and antigen retrieval was achieved by steaming in citrate buffer, pH 6. Staining was performed with Anti-VPS45A (C Terminus) Antibody (A83977) at 5µg/ml and revealed with alkaline phosphatase (AP).
Publishing research using Anti-VPS45A (C Terminus) Antibody (A83977)? Please let us know so that we can list the citation on this page.