ISO 9001:2015 Certified
Live Customer Support
4.5/5 on Trustpilot
100% Quality Guarantee

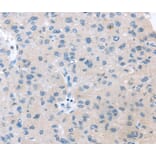
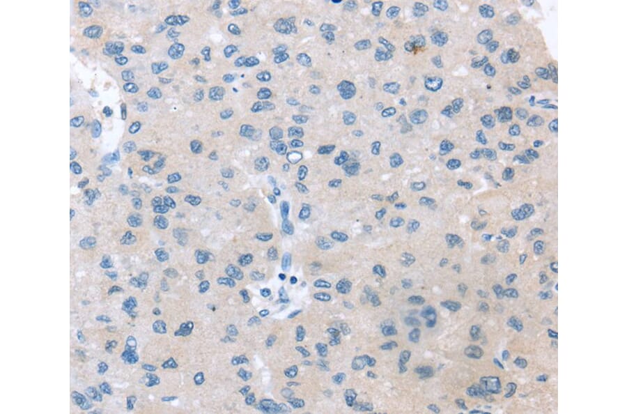
Anti-VPS4B Antibody (A46385)

Rabbit polyclonal antibody to VPS4B for IHC.

Shipping Information

$40
Dispatched from St. Louis, MO.
Lead Time: 6-9 business days.
Name
Anti-VPS4B Antibody
Description
Rabbit polyclonal antibody to VPS4B
Specificity
The antibody detects endogenous levels of total VPS4B protein.
Applications
IHC
Reactivity
Human
Immunogen
Synthetic peptide of human vacuolar protein sorting 4 homolog B (S. cerevisiae)
Host
Rabbit
Clonality
Polyclonal
Conjugate

Unconjugated

Purification
Antigen affinity purification.
Concentration
1.2 mg/mL
Formulation
Rabbit IgG in pH7.4 PBS, 0.05% NaN3, 40% Glycerol.
Storage
Shipped at 4°C. Upon delivery aliquot and store at -20°C. Avoid freeze/thaw cycles.
Synonyms
Cell migration-inducing gene 1 protein, Protein SKD1, SKD1, Suppressor of K(+) transport growth defect 1, Vacuolar protein sorting-associated protein 4B, VPS42
Disclaimer
This product is for research use only. It is not intended for diagnostic or therapeutic use.
Publishing research using Anti-VPS4B Antibody (A46385)? Please let us know so that we can list the citation on this page.

Alternative products to Anti-VPS4B Antibody (A46385)

Proteins predicted to interact with VPS4B

Predicted protein interactions based upon String database. Revelancy score correlates with probability of interaction.
99.9% Relevancy Score
99.9% Relevancy Score
99.8% Relevancy Score
99.8% Relevancy Score
99.8% Relevancy Score
99.6% Relevancy Score
99.4% Relevancy Score
98.8% Relevancy Score
98.7% Relevancy Score