ISO 9001:2015 Certified
Live Customer Support
4.5/5 on Trustpilot
100% Quality Guarantee

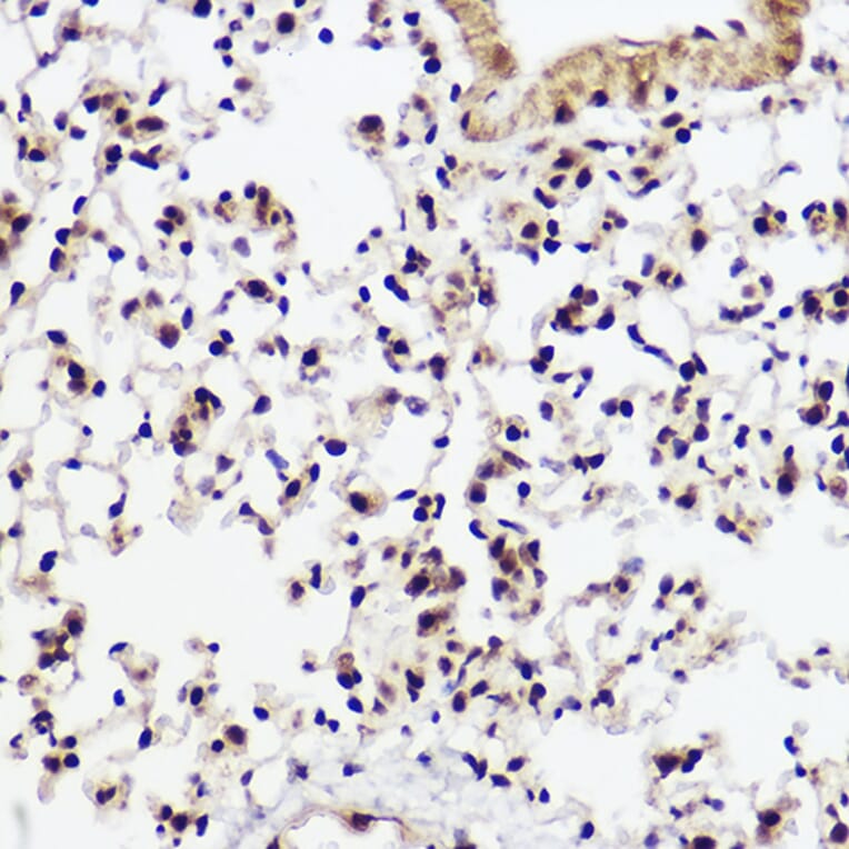
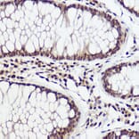
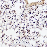
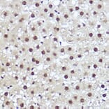
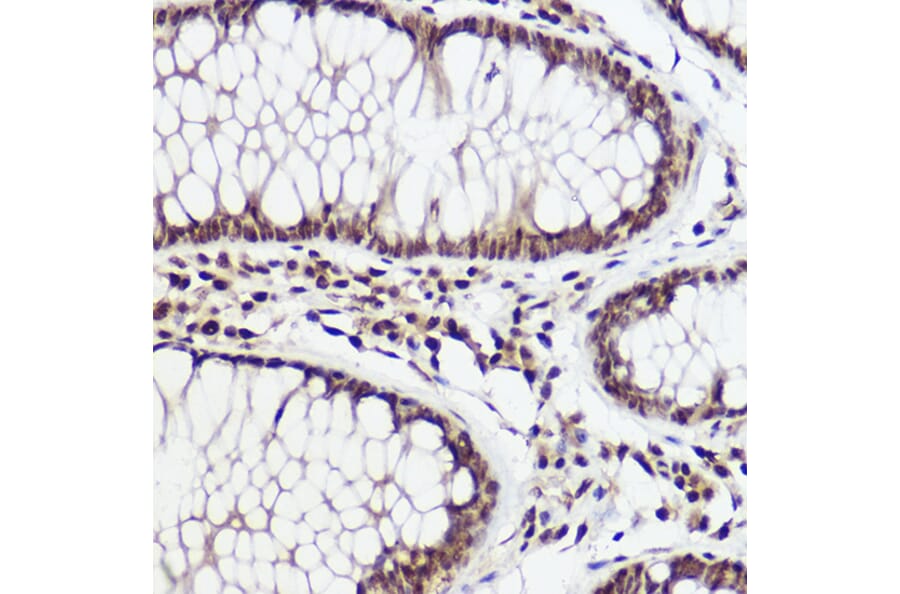
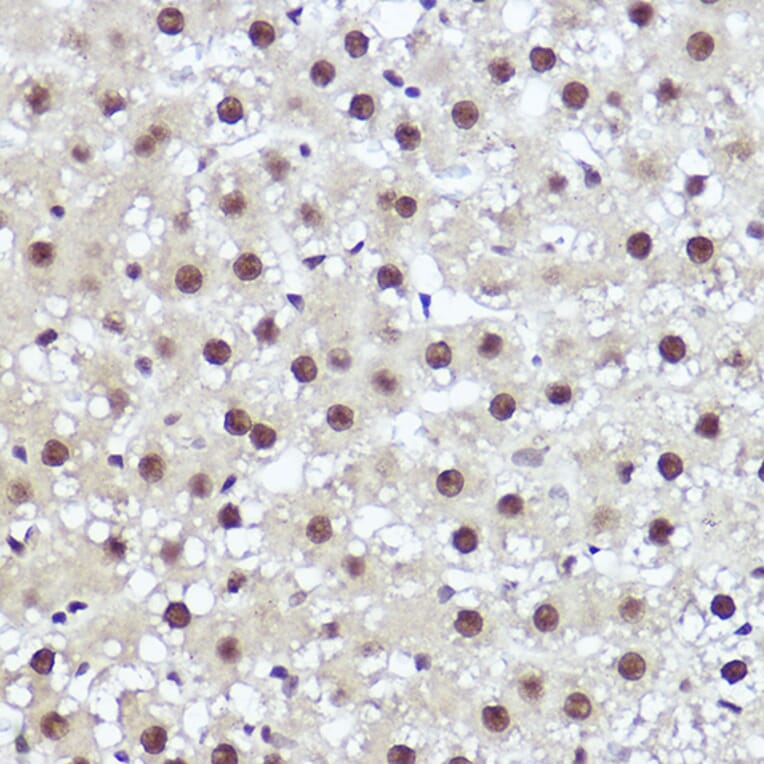
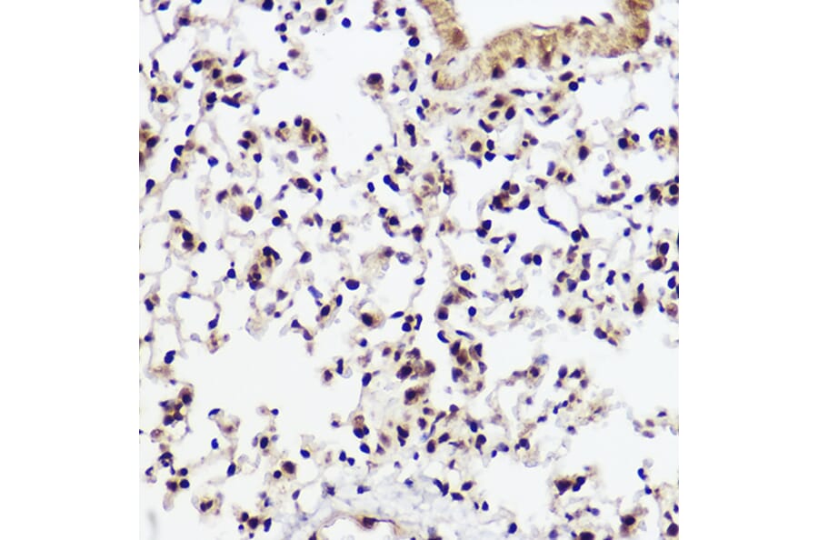
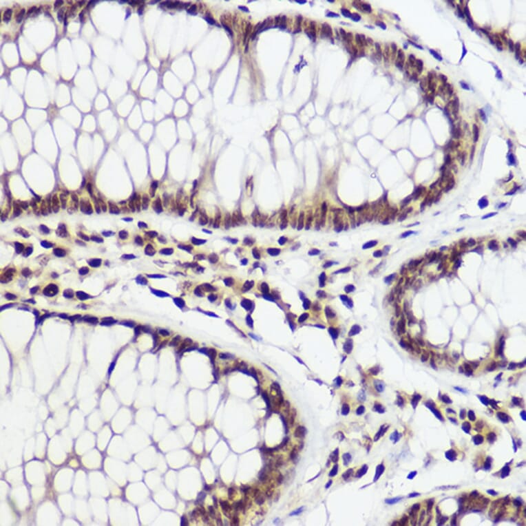
Anti-WBP11 Antibody (A91940)

Rabbit polyclonal antibody to WBP11 for WB, IHC and ICC/IF.

Shipping Information

$40
Dispatched from St. Louis, MO.
Lead Time: 7-10 business days.
Name
Anti-WBP11 Antibody
Description
Rabbit polyclonal antibody to WBP11.
Applications
WB, IHC, ICC/IF
Dilutions
WB: 1:500-1:1,000, IHC: 1:50-1:200, ICC/IF: 1:50-1:200
Reactivity
Human, Mouse, Rat
Immunogen
Recombinant fusion protein containing a sequence corresponding to amino acids 540-641 of human WBP11 (NP_057396.1).
Sequence
LIQRPKADDTSAATIEKKATATISAKPQITNPKAEITRFVPTALRVRRENKGATAAPQRKSEDDSAVPLAKAAPKSGPSVPVSVQTKDDVYEAFMKEMEGLL
Host
Rabbit
Clonality
Polyclonal
Isotype
IgG
Conjugate

Unconjugated

Purification
Affinity purification.
Concentration
Lot Specific
Molecular Weight
115 kDa
Product Form
Liquid
Formulation
Supplied in Phosphate Buffered Saline, pH 7.3, with 50% Glycerol and 0.05% Proclin 300.
Storage
Shipped at 4°C. Upon delivery aliquot and store at -20°C. Avoid freeze/thaw cycles.
Synonyms
Npw38-binding protein, NPWBP, SH3 domain-binding protein SNP70, SIPP1, SNP70, Splicing factor that interacts with PQBP-1 and PP1, WBP-11, WW domain-binding protein 11
Disclaimer
This product is for research use only. It is not intended for diagnostic or therapeutic use.
Publishing research using Anti-WBP11 Antibody (A91940)? Please let us know so that we can list the citation on this page.

Proteins predicted to interact with WBP11

Predicted protein interactions based upon String database. Revelancy score correlates with probability of interaction.
99.4% Relevancy Score
97.7% Relevancy Score
97.4% Relevancy Score
97.4% Relevancy Score
97.1% Relevancy Score
97.1% Relevancy Score
96.8% Relevancy Score
96.3% Relevancy Score
92.7% Relevancy Score