ISO 9001:2015 Certified
Live Customer Support
4.5/5 on Trustpilot
100% Quality Guarantee

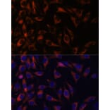
Anti-WFDC1/PS20 Antibody (A93353)

Rabbit polyclonal antibody to WFDC1/PS20 for WB and ICC/IF.

Shipping Information

$40
Dispatched from St. Louis, MO.
Lead Time: 7-10 business days.
Name
Anti-WFDC1/PS20 Antibody
Description
Rabbit polyclonal antibody to WFDC1/PS20.
Applications
WB, ICC/IF
Dilutions
WB: 1:500-1:2,000, ICC/IF: 1:50-1:200
Reactivity
Human, Mouse
Immunogen
Recombinant fusion protein containing a sequence corresponding to amino acids 111-220 of human WFDC1 (NP_067020.2).
Sequence
PPVLDWLVQPKPRWLGGNGWLLDGPEEVLQAEACSTTEDGAEPLLCPSGYECHILSPGDVAEGIPNRGQCVKQRRQADGRILRHKLYKEYPEGDSKNVAEPGRGQQKHFQ
Host
Rabbit
Clonality
Polyclonal
Isotype
IgG
Conjugate

Unconjugated

Purification
Affinity purification.
Concentration
Lot Specific
Molecular Weight
30 kDa
Product Form
Liquid
Formulation
Supplied in Phosphate Buffered Saline, pH 7.3, with 50% Glycerol and 0.01% Thiomersal.
Storage
Shipped at 4°C. Upon delivery aliquot and store at -20°C. Avoid freeze/thaw cycles.
Disclaimer
This product is for research use only. It is not intended for diagnostic or therapeutic use.
Publishing research using Anti-WFDC1/PS20 Antibody (A93353)? Please let us know so that we can list the citation on this page.