Western Blot - Anti-Wilms Tumor Protein Antibody [ARC2610] (A308215)
Western blot analysis of extracts of various cell lines, using Anti-Wilms Tumor Protein Antibody [ARC2610] (A308215) at 1:1,000 dilution. The secondary antibody was Goat Anti-Rabbit IgG H&L Antibody (HRP) at 1:10,000 dilution. Lysates/proteins were present at 25µg per lane. The blocking buffer used was 3% non-fat dry milk in TBST. Detection was with a ECL Basic Kit. Exposure time: 1s.
Western Blot - Anti-Wilms Tumor Protein Antibody [ARC2610] (A308215)
Western blot analysis of extracts of Rat testis, using Anti-Wilms Tumor Protein Antibody [ARC2610] (A308215) at 1:1,000 dilution. The secondary antibody was Goat Anti-Rabbit IgG H&L Antibody (HRP) at 1:10,000 dilution. Lysates/proteins were present at 25µg per lane. The blocking buffer used was 3% non-fat dry milk in TBST. Detection was with a ECL Basic Kit. Exposure time: 30s.
Western Blot - Anti-Wilms Tumor Protein Antibody [ARC2610] (A308215)
Western blot analysis of extracts of Mouse testis, using Anti-Wilms Tumor Protein Antibody [ARC2610] (A308215) at 1:1,000 dilution. The secondary antibody was Goat Anti-Rabbit IgG H&L Antibody (HRP) at 1:10,000 dilution. Lysates/proteins were present at 25µg per lane. The blocking buffer used was 3% non-fat dry milk in TBST. Detection was with a ECL Basic Kit. Exposure time: 90s.
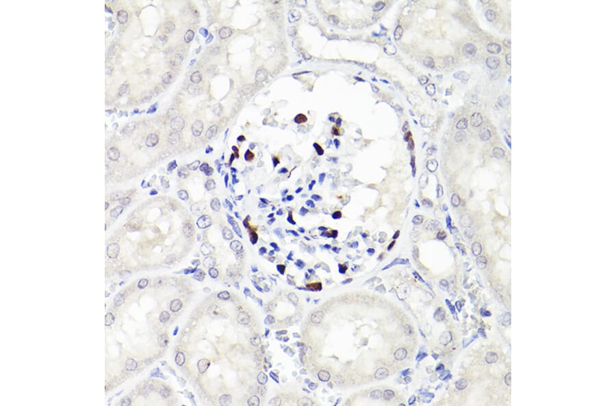
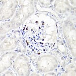
Immunohistochemistry - Anti-Wilms Tumor Protein Antibody [ARC2610] (A308215)
Immunohistochemistry analysis of paraffin-embedded mouse kidney using Anti-Wilms Tumor Protein Antibody [ARC2610] (A308215) at a dilution of 1:100 (40x lens). Perform high pressure antigen retrieval with 10 mM citrate buffer pH 6.0 before commencing with IHC staining protocol.
Immunohistochemistry - Anti-Wilms Tumor Protein Antibody [ARC2610] (A308215)
Immunohistochemistry analysis of paraffin-embedded mouse testis using Anti-Wilms Tumor Protein Antibody [ARC2610] (A308215) at a dilution of 1:100 (40x lens). Perform high pressure antigen retrieval with 10 mM citrate buffer pH 6.0 before commencing with IHC staining protocol.
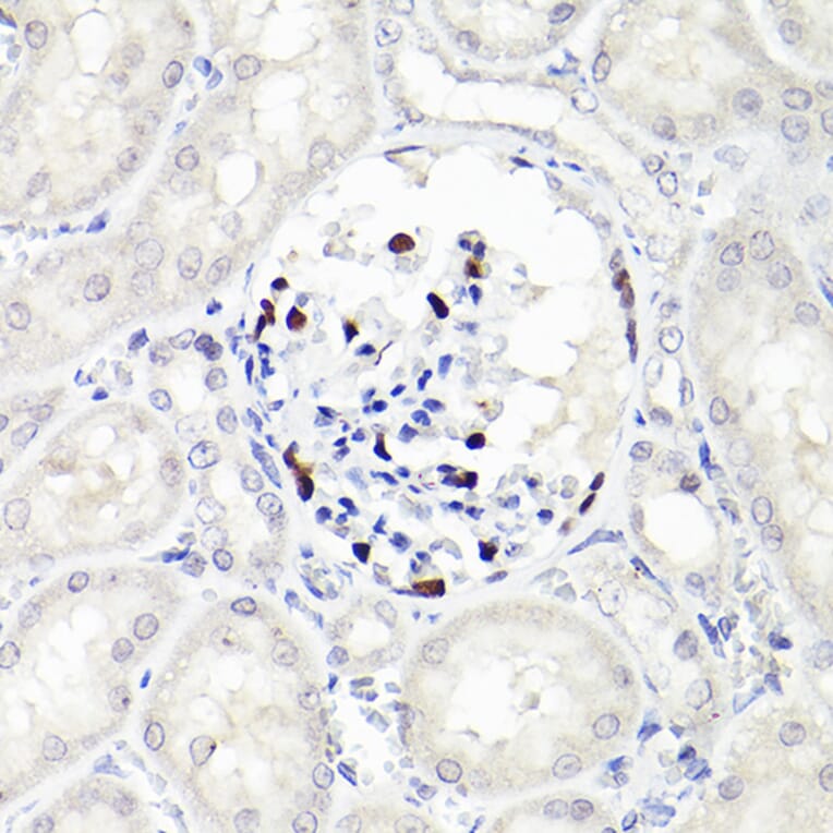
Immunohistochemistry - Anti-Wilms Tumor Protein Antibody [ARC2610] (A308215)
Immunohistochemistry analysis of paraffin-embedded rat kidney using Anti-Wilms Tumor Protein Antibody [ARC2610] (A308215) at a dilution of 1:100 (40x lens). Perform high pressure antigen retrieval with 10 mM citrate buffer pH 6.0 before commencing with IHC staining protocol.
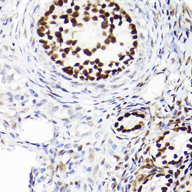
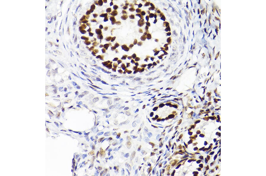
Immunohistochemistry - Anti-Wilms Tumor Protein Antibody [ARC2610] (A308215)
Immunohistochemistry analysis of paraffin-embedded rat ovary using Anti-Wilms Tumor Protein Antibody [ARC2610] (A308215) at a dilution of 1:100 (40x lens). Perform high pressure antigen retrieval with 10 mM citrate buffer pH 6.0 before commencing with IHC staining protocol.
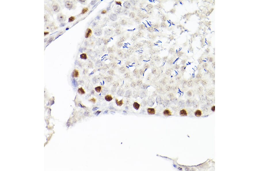
Immunohistochemistry - Anti-Wilms Tumor Protein Antibody [ARC2610] (A308215)
Immunohistochemistry analysis of paraffin-embedded rat testis using Anti-Wilms Tumor Protein Antibody [ARC2610] (A308215) at a dilution of 1:100 (40x lens). Perform high pressure antigen retrieval with 10 mM citrate buffer pH 6.0 before commencing with IHC staining protocol.