ISO 9001:2015 Certified
Live Customer Support
4.5/5 on Trustpilot
100% Quality Guarantee

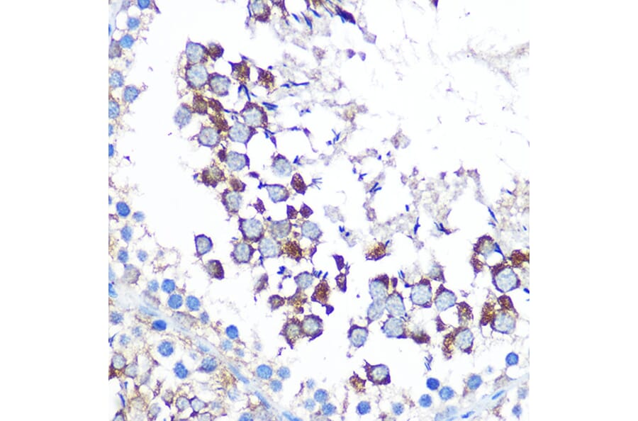
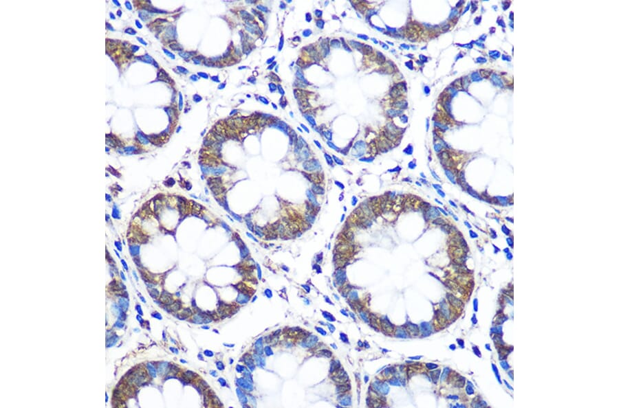
Anti-WISP2 Antibody (A15711)

Rabbit polyclonal antibody to WISP2 for WB and IHC.

Shipping Information

$40
Dispatched from St. Louis, MO.
Lead Time: 7-10 business days.
Name
Anti-WISP2 Antibody
Description
Rabbit polyclonal antibody to WISP2.
Applications
WB, IHC
Dilutions
WB: 1:100-1:500, IHC: 1:50-1:200
Reactivity
Human, Mouse, Rat
Immunogen
Recombinant fusion protein containing a sequence corresponding to amino acids 164-250 of human WISP2 (NP_003872.1).
Sequence
GQGGGLGTQPLPAQGPQFSGLVSSLPPGVPCPEWSTAWGPCSTTCGLGMATRVSNQNRFCRLETQRRLCLSRPCPPSRGRSPQNSAF
Host
Rabbit
Clonality
Polyclonal
Isotype
IgG
Conjugate

Unconjugated

Purification
Affinity purification.
Concentration
Lot Specific
Molecular Weight
27 kDa
Product Form
Liquid
Formulation
Supplied in Phosphate Buffered Saline, pH 7.3, with 50% Glycerol and 0.05% Proclin 300.
Storage
Shipped at 4°C. Upon delivery aliquot and store at -20°C. Avoid freeze/thaw cycles.
Synonyms
CCN family member 5, CCN5, Connective tissue growth factor-like protein, Connective tissue growth factor-related protein 58, CT58, CTGF-L, CTGFL, WISP-2, WNT1-inducible-signaling pathway protein 2
Disclaimer
This product is for research use only. It is not intended for diagnostic or therapeutic use.
Publishing research using Anti-WISP2 Antibody (A15711)? Please let us know so that we can list the citation on this page.

Alternative products to Anti-WISP2 Antibody (A15711)

Proteins predicted to interact with WISP2

Predicted protein interactions based upon String database. Revelancy score correlates with probability of interaction.
79.7% Relevancy Score
62.8% Relevancy Score
60% Relevancy Score
57.7% Relevancy Score
51.1% Relevancy Score
47.9% Relevancy Score
43.5% Relevancy Score
43.1% Relevancy Score
42.2% Relevancy Score