Primary Antibodies
Secondary Antibodies
Proteins & Peptides
ELISA Kits
About Us
Contact Us
Sign In/Register
0
ISO 9001:2015 Certified
Live Customer Support
4.5/5 on Trustpilot
100% Quality Guarantee
Home
Primary Antibodies
WNK3 Antibodies
Anti-WNK3 Antibody (A38796)
Anti-WNK3 Antibody (A38796)
Overview
Specifications
Images
Enlarge Image
Enlarge Image
$430
Rabbit polyclonal antibody to WNK3 for WB and IHC.
100% Guarantee
Price Match Guarantee
Product Size:
100µl
Quantity:
1
2
3
4
5
6
7
8
9
10
Add To Cart
Request a Quotation
Custom or Bulk Request
Shipping Information
Freight/Packing Charges:
$40
Dispatched from St. Louis, MO.
Lead Time: 6-9 business days.
Specifications
Name
Anti-WNK3 Antibody
Description
Rabbit polyclonal antibody to WNK3
Specificity
The antibody detects endogenous levels of total WNK3 protein.
Applications
WB
,
IHC
Reactivity
Human
Immunogen
Synthetic peptide corresponding to residues near the N terminal of human WNK lysine deficient protein kinase 3
Host
Rabbit
Clonality
Polyclonal
Conjugate
Unconjugated
Purification
Antigen affinity purification.
Concentration
1.8mg / ml
Formulation
Rabbit IgG in pH7.3 PBS, 0.05% NaN3, 50% Glycerol.
Storage
Store at -20˚C
Synonyms
KIAA1566, PRKWNK3, Protein kinase lysine-deficient 3, Protein kinase with no lysine 3, Serine/threonine-protein kinase WNK3
Suitable Secondaries
Goat Anti-Rabbit IgG H&L Antibody (AP) (A294874)
Goat Anti-Rabbit IgG H&L Antibody (Biotin) (A294795)
Goat Anti-Rabbit IgG H&L Antibody (FITC) (A294887)
Goat Anti-Rabbit IgG H&L Antibody (HRP) (A294888)
See all Anti-Rabbit IgG Secondaries →
Disclaimer
This product is for research use only. It is not intended for diagnostic or therapeutic use.
Scientific Validation Data
Validation Data
(2)
Enlarge Image
Anti-WNK3 Antibody (A38796)
Gel: 6%SDS-PAGE Lysate: 40ug Hela cell Primary antibody: 1/300 dilution Secondary antibody dilution: 1/8000 Exposure time: 10 minutes
Enlarge Image
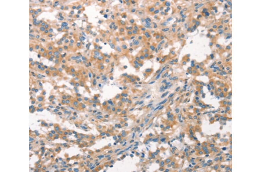
Immunohistochemistry - Anti-WNK3 Antibody (A38796)
Immunohistochemical analysis of paraffin-embedded Human thyroid cancer tissue using #37129 at dilution 1/20.
Publishing research using Anti-WNK3 Antibody (A38796)? Please
let us know
so that we can list the citation on this page.
Alternative products to Anti-WNK3 Antibody (A38796)
(4)
A88624
Anti-WNK3 Antibody
Rabbit polyclonal antibody to WNK3 for WB and ICC/IF.
(2)
A38901
Anti-WNK3 Antibody
Rabbit polyclonal antibody to WNK3 for WB and IHC.
(3)
A38277
Anti-WNK3 Antibody
Rabbit polyclonal antibody to WNK3 for WB and IHC.
(4)
A88624
Anti-WNK3 Antibody
Rabbit polyclonal antibody to WNK3 for WB and ICC/IF.
(2)
A38901
Anti-WNK3 Antibody
Rabbit polyclonal antibody to WNK3 for WB and IHC.
(3)
A38277
Anti-WNK3 Antibody
Rabbit polyclonal antibody to WNK3 for WB and IHC.
Proteins predicted to interact with WNK3
Predicted protein interactions based upon String database. Revelancy score correlates with probability of interaction.
SLC12A3 Antibodies
91.3% Relevancy Score
NKCC1 Antibodies
91% Relevancy Score
KCC2 Antibodies
88.7% Relevancy Score
KLHL3 Antibodies
88.6% Relevancy Score
NKCC2 Antibodies
88.1% Relevancy Score
SLC12A4 Antibodies
86.2% Relevancy Score
KCNJ1 Antibodies
85.3% Relevancy Score
WNK1 Antibodies
82.7% Relevancy Score
OXSR1 Antibodies
77.6% Relevancy Score
Top