ISO 9001:2015 Certified
Live Customer Support
4.5/5 on Trustpilot
100% Quality Guarantee

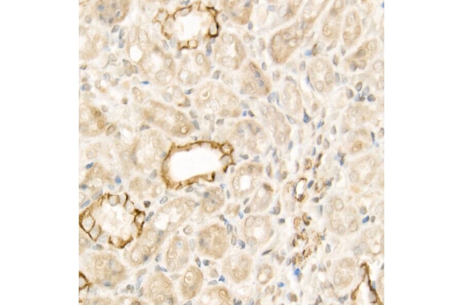
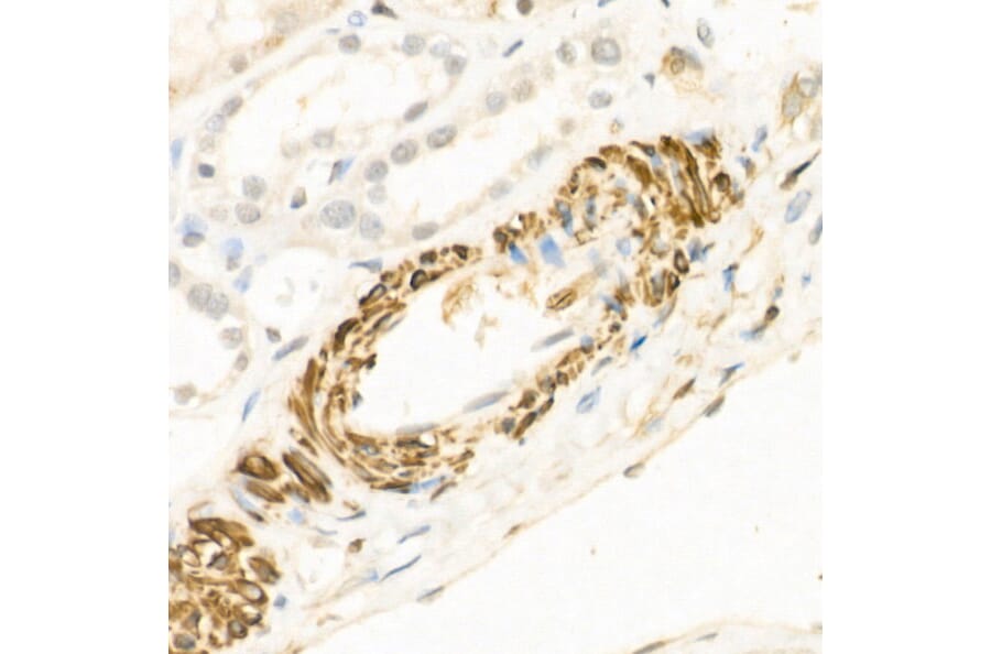
Anti-Wnt5a Antibody (A89803)

Rabbit polyclonal antibody to Wnt5a for WB and ICC/IF.

Shipping Information

$40
Dispatched from St. Louis, MO.
Lead Time: 7-10 business days.
Name
Anti-Wnt5a Antibody
Description
Rabbit polyclonal antibody to Wnt5a.
Applications
WB, ICC/IF
Dilutions
WB: 1:500-1:1,000, ICC/IF: 1:50-1:200
Reactivity
Human, Mouse, Rat
Immunogen
Recombinant fusion protein containing a sequence corresponding to amino acids 65-305 of human WNT5A (NP_003383.2).
Sequence
AQPLCSQLAGLSQGQKKLCHLYQDHMQYIGEGAKTGIKECQYQFRHRRWNCSTVDNTSVFGRVMQIGSRETAFTYAVSAAGVVNAMSRACREGELSTCGCSRAARPKDLPRDWLWGGCGDNIDYGYRFAKEFVDARERERIHAKGSYESARILMNLHNNEAGRRTVYNLADVACKCHGVSGSCSLKTCWLQLADFRKVGDALKEKYDSAAAMRLNSRGKLVQVNSRFNSPTTQDLVYIDPS
Host
Rabbit
Clonality
Polyclonal
Isotype
IgG
Conjugate

Unconjugated

Purification
Affinity purification.
Concentration
Lot Specific
Molecular Weight
45 kDa
Product Form
Liquid
Formulation
Supplied in Phosphate Buffered Saline, pH 7.3, with 50% Glycerol and 0.05% Proclin 300.
Storage
Shipped at 4°C. Upon delivery aliquot and store at -20°C. Avoid freeze/thaw cycles.
Synonyms
Protein Wnt-5a
Disclaimer
This product is for research use only. It is not intended for diagnostic or therapeutic use.
Publishing research using Anti-Wnt5a Antibody (A89803)? Please let us know so that we can list the citation on this page.

Alternative products to Anti-Wnt5a Antibody (A89803)

Proteins predicted to interact with Wnt5a

Predicted protein interactions based upon String database. Revelancy score correlates with probability of interaction.
99.9% Relevancy Score
99.9% Relevancy Score
99.9% Relevancy Score
99.9% Relevancy Score
99.9% Relevancy Score
99.8% Relevancy Score
99.8% Relevancy Score
99.8% Relevancy Score
99.7% Relevancy Score