ISO 9001:2015 Certified
Live Customer Support
4.5/5 on Trustpilot
100% Quality Guarantee

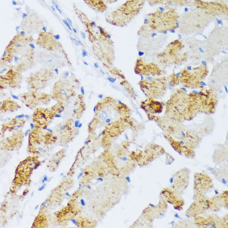
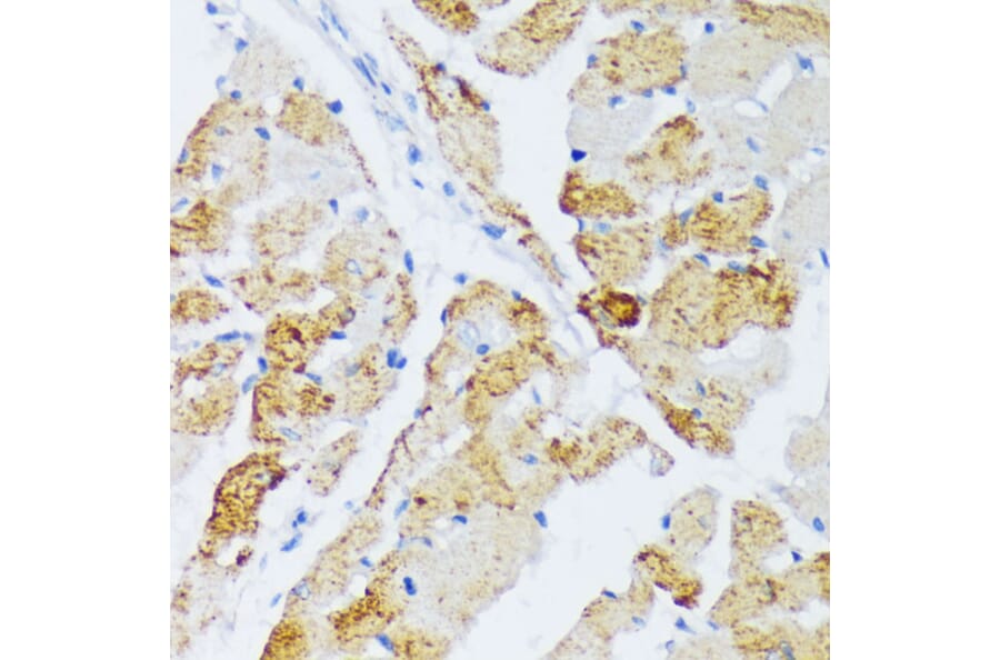
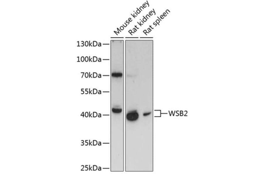
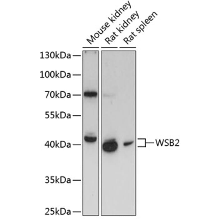
Anti-WSB2 Antibody (A89726)

Rabbit polyclonal antibody to WSB2 for WB and IHC.

Shipping Information

$40
Dispatched from St. Louis, MO.
Lead Time: 7-10 business days.
Name
Anti-WSB2 Antibody
Description
Rabbit polyclonal antibody to WSB2.
Applications
WB, IHC
Dilutions
WB: 1:500-1:2,000, IHC: 1:50-1:200
Reactivity
Mouse, Rat
Immunogen
Recombinant fusion protein containing a sequence corresponding to amino acids 1-200 of human WSB2 (NP_061109.1).
Sequence
MEAGEEPLLLAELKPGRPHQFDWKSSCETWSVAFSPDGSWFAWSQGHCIVKLIPWPLEEQFIPKGFEAKSRSSKNETKGRGSPKEKTLDCGQIVWGLAFSPWPSPPSRKLWARHHPQVPDVSCLVLATGLNDGQIKIWEVQTGLLLLNLSGHQDVVRDLSFTPSGSLILVSASRDKTLRIWDLNKHGKQIQVLSGHLQWV
Host
Rabbit
Clonality
Polyclonal
Isotype
IgG
Conjugate

Unconjugated

Purification
Affinity purification.
Concentration
Lot Specific
Molecular Weight
40 - 43 kDa
Product Form
Liquid
Formulation
Supplied in Phosphate Buffered Saline, pH 7.3, with 50% Glycerol and 0.01% Thiomersal.
Storage
Shipped at 4°C. Upon delivery aliquot and store at -20°C. Avoid freeze/thaw cycles.
Synonyms
CS box-containing WD protein, WD repeat and SOCS box-containing protein 2, WSB-2
Disclaimer
This product is for research use only. It is not intended for diagnostic or therapeutic use.
Publishing research using Anti-WSB2 Antibody (A89726)? Please let us know so that we can list the citation on this page.

Alternative products to Anti-WSB2 Antibody (A89726)

Proteins predicted to interact with WSB2

Predicted protein interactions based upon String database. Revelancy score correlates with probability of interaction.
75.1% Relevancy Score
73.8% Relevancy Score
69.5% Relevancy Score
65.1% Relevancy Score
64.9% Relevancy Score
62.5% Relevancy Score
61.4% Relevancy Score
60% Relevancy Score
59.6% Relevancy Score