Primary Antibodies
Secondary Antibodies
Proteins & Peptides
ELISA Kits
About Us
Contact Us
Sign In/Register
0
ISO 9001:2015 Certified
Live Customer Support
4.5/5 on Trustpilot
100% Quality Guarantee
Home
Primary Antibodies
EDA2R Antibodies
Anti-XEDAR Antibody (A47887)
Anti-XEDAR Antibody (A47887)
Overview
Specifications
Images
Enlarge Image
Enlarge Image
$780
Product Datasheet
Rabbit polyclonal antibody to XEDAR for ELISA, WB and IHC.
100% Guarantee
Price Match Guarantee
Product Size:
100µl
Quantity:
1
2
3
4
5
6
7
8
9
10
Add To Cart
Request a Quotation
Custom or Bulk Request
Shipping Information
Freight/Packing Charges:
$40
Dispatched from St. Louis, MO.
Lead Time: 6-9 business days.
Specifications
Name
Anti-XEDAR Antibody
Description
Rabbit polyclonal antibody to XEDAR
Applications
ELISA
,
WB
,
IHC
Reactivity
Human
Immunogen
Raised against recombinant human XEDAR.
Host
Rabbit
Clonality
Polyclonal
Conjugate
Unconjugated
Purification
Affinity chromatography purified via peptide column
Formulation
Supplied in phosphate-buffered saline with 0.02% Sodium Azide.
Storage
Shipped at 4°C. Upon delivery aliquot and store at -20°C. Avoid freeze/thaw cycles.
Synonyms
EDA-A2 receptor, TNFRSF27, Tumor necrosis factor receptor superfamily member 27, X-linked ectodysplasin-A2 receptor
Suitable Secondaries
Goat Anti-Rabbit IgG H&L Antibody (AP) (A294874)
Goat Anti-Rabbit IgG H&L Antibody (Biotin) (A294795)
Goat Anti-Rabbit IgG H&L Antibody (FITC) (A294887)
Goat Anti-Rabbit IgG H&L Antibody (HRP) (A294888)
See all Anti-Rabbit IgG Secondaries →
Disclaimer
This product is for research use only. It is not intended for diagnostic or therapeutic use.
Scientific Validation Data
Validation Data
(2)
Enlarge Image
Anti-XEDAR Antibody (A47887)
Western blot analysis of XEDAR in 293 cell lysate with XEDAR antibody at (A) 0.5, (B) 1 and (C) 2 µg/mL.
Enlarge Image
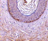
Immunohistochemistry - Anti-XEDAR Antibody (A47887)
Immunohistochemistry of XEDAR in human skin tissue with XEDAR antibody at 10 µg/mL.
Publishing research using Anti-XEDAR Antibody (A47887)? Please
let us know
so that we can list the citation on this page.
Alternative products to Anti-XEDAR Antibody (A47887)
(2)
A45996
Anti-EDA2R Antibody
Rabbit polyclonal antibody to EDA2R for IHC.
(2)
A45996
Anti-EDA2R Antibody
Rabbit polyclonal antibody to EDA2R for IHC.
Proteins predicted to interact with EDA2R
Predicted protein interactions based upon String database. Revelancy score correlates with probability of interaction.
EDA Antibodies
99.6% Relevancy Score
TRAF6 Antibodies
95.5% Relevancy Score
TRAF3 Antibodies
90.1% Relevancy Score
TRAF1 Antibodies
82.8% Relevancy Score
SLC24A5 Antibodies
82.7% Relevancy Score
EDARADD Antibodies
73% Relevancy Score
CYLD Antibodies
67.1% Relevancy Score
TRAF2 Antibodies
67% Relevancy Score
TNF alpha Antibodies
65.2% Relevancy Score
Top