Primary Antibodies
Secondary Antibodies
Proteins & Peptides
ELISA Kits
About Us
Contact Us
Sign In/Register
0
ISO 9001:2015 Certified
Live Customer Support
4.5/5 on Trustpilot
100% Quality Guarantee
Home
Primary Antibodies
XKR4 Antibodies
Anti-XKR4 Antibody (A47048)
Anti-XKR4 Antibody (A47048)
Overview
Specifications
Images
Enlarge Image
Enlarge Image
$430
Product Datasheet
Rabbit polyclonal antibody to XKR4 for IHC.
100% Guarantee
Price Match Guarantee
Product Size:
100µl
Quantity:
1
2
3
4
5
6
7
8
9
10
Add To Cart
Request a Quotation
Custom or Bulk Request
Shipping Information
Freight/Packing Charges:
$40
Dispatched from St. Louis, MO.
Lead Time: 6-9 business days.
Specifications
Name
Anti-XKR4 Antibody
Description
Rabbit polyclonal antibody to XKR4
Specificity
The antibody detects endogenous levels of total XKR4 protein.
Applications
IHC
Reactivity
Human, Mouse, Rat
Immunogen
Synthetic peptide of human XKR4
Host
Rabbit
Clonality
Polyclonal
Conjugate
Unconjugated
Purification
Antigen affinity purification.
Concentration
1.1 mg/mL
Formulation
Rabbit IgG in pH7.4 PBS, 0.05% NaN3, 40% Glycerol.
Storage
Shipped at 4°C. Upon delivery aliquot and store at -20°C. Avoid freeze/thaw cycles.
Synonyms
hXKR4, KIAA1889, XK-related protein 4, XRG4
Suitable Secondaries
Goat Anti-Rabbit IgG H&L Antibody (AP) (A294874)
Goat Anti-Rabbit IgG H&L Antibody (Biotin) (A294795)
Goat Anti-Rabbit IgG H&L Antibody (FITC) (A294887)
Goat Anti-Rabbit IgG H&L Antibody (HRP) (A294888)
See all Anti-Rabbit IgG Secondaries →
Disclaimer
This product is for research use only. It is not intended for diagnostic or therapeutic use.
Scientific Validation Data
Validation Data
(2)
Enlarge Image
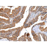
Immunohistochemistry - Anti-XKR4 Antibody (A47048)
Immunohistochemical analysis of paraffin-embedded Human oesophagus cancer tissue using #43202 at dilution 1/20.
Enlarge Image
Immunohistochemistry - Anti-XKR4 Antibody (A47048)
Immunohistochemical analysis of paraffin-embedded Human brain tissue using #43202 at dilution 1/20.
Publishing research using Anti-XKR4 Antibody (A47048)? Please
let us know
so that we can list the citation on this page.
Proteins predicted to interact with XKR4
Predicted protein interactions based upon String database. Revelancy score correlates with probability of interaction.
CHCHD7 Antibodies
62.3% Relevancy Score
PLAG1 Antibodies
60.7% Relevancy Score
C8orf72 Antibodies
59.8% Relevancy Score
Blood Group Kell Antigen Antibodies
53.1% Relevancy Score
Stanniocalcin 2 Antibodies
48.3% Relevancy Score
Calpain 6 Antibodies
44.5% Relevancy Score
NUDCD3 Antibodies
42.4% Relevancy Score
Enkephalin Antibodies
42.1% Relevancy Score
NPAS3 Antibodies
39.5% Relevancy Score
Top