Primary Antibodies
Secondary Antibodies
Proteins & Peptides
ELISA Kits
About Us
Contact Us
Sign In/Register
0
ISO 9001:2015 Certified
Live Customer Support
4.5/5 on Trustpilot
100% Quality Guarantee
Home
Primary Antibodies
XKR7 Antibodies
Anti-XKR7 Antibody (A47047)
Anti-XKR7 Antibody (A47047)
Overview
Specifications
Images
Enlarge Image
Enlarge Image
$430
Product Datasheet
Rabbit polyclonal antibody to XKR7 for IHC.
100% Guarantee
Price Match Guarantee
Product Size:
100µl
Quantity:
1
2
3
4
5
6
7
8
9
10
Add To Cart
Request a Quotation
Custom or Bulk Request
Shipping Information
Freight/Packing Charges:
$40
Dispatched from St. Louis, MO.
Lead Time: 6-9 business days.
Specifications
Name
Anti-XKR7 Antibody
Description
Rabbit polyclonal antibody to XKR7
Specificity
The antibody detects endogenous levels of total XKR7 protein.
Applications
IHC
Reactivity
Human
Immunogen
Synthetic peptide of human XKR7
Host
Rabbit
Clonality
Polyclonal
Conjugate
Unconjugated
Purification
Antigen affinity purification.
Concentration
1.2 mg/mL
Formulation
Rabbit IgG in pH7.4 PBS, 0.05% NaN3, 40% Glycerol.
Storage
Shipped at 4°C. Upon delivery aliquot and store at -20°C. Avoid freeze/thaw cycles.
Synonyms
C20orf159, XK-related protein 7, XRG7
Suitable Secondaries
Goat Anti-Rabbit IgG H&L Antibody (AP) (A294874)
Goat Anti-Rabbit IgG H&L Antibody (Biotin) (A294795)
Goat Anti-Rabbit IgG H&L Antibody (FITC) (A294887)
Goat Anti-Rabbit IgG H&L Antibody (HRP) (A294888)
See all Anti-Rabbit IgG Secondaries →
Disclaimer
This product is for research use only. It is not intended for diagnostic or therapeutic use.
Scientific Validation Data
Validation Data
(2)
Enlarge Image
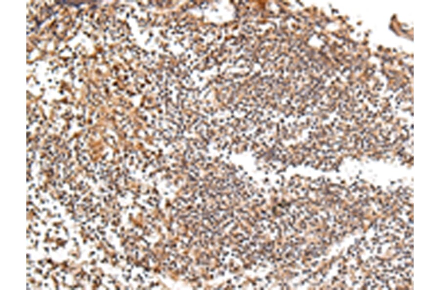
Immunohistochemistry - Anti-XKR7 Antibody (A47047)
Immunohistochemical analysis of paraffin-embedded Human colorectal cancer tissue using #43201 at dilution 1/20.
Enlarge Image
Immunohistochemistry - Anti-XKR7 Antibody (A47047)
Immunohistochemical analysis of paraffin-embedded Human tonsil tissue using #43201 at dilution 1/20.
Publishing research using Anti-XKR7 Antibody (A47047)? Please
let us know
so that we can list the citation on this page.
Proteins predicted to interact with XKR7
Predicted protein interactions based upon String database. Revelancy score correlates with probability of interaction.
PGBD5 Antibodies
60.8% Relevancy Score
ARFGAP3 Antibodies
45.3% Relevancy Score
MRPL12 Antibodies
40.6% Relevancy Score
Blood Group Kell Antigen Antibodies
37.9% Relevancy Score
CACNA1B Antibodies
37.1% Relevancy Score
FE65 Antibodies
37% Relevancy Score
POFUT1 Antibodies
35.5% Relevancy Score
DUSP15 Antibodies
34.5% Relevancy Score
VEGFD Antibodies
34.1% Relevancy Score
Top