ISO 9001:2015 Certified
Live Customer Support
4.5/5 on Trustpilot
100% Quality Guarantee

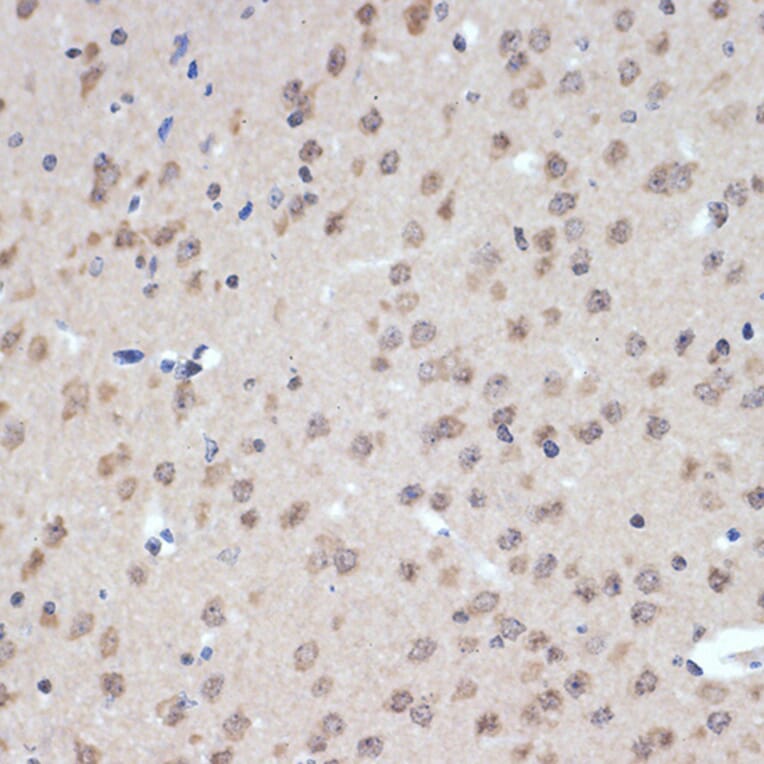
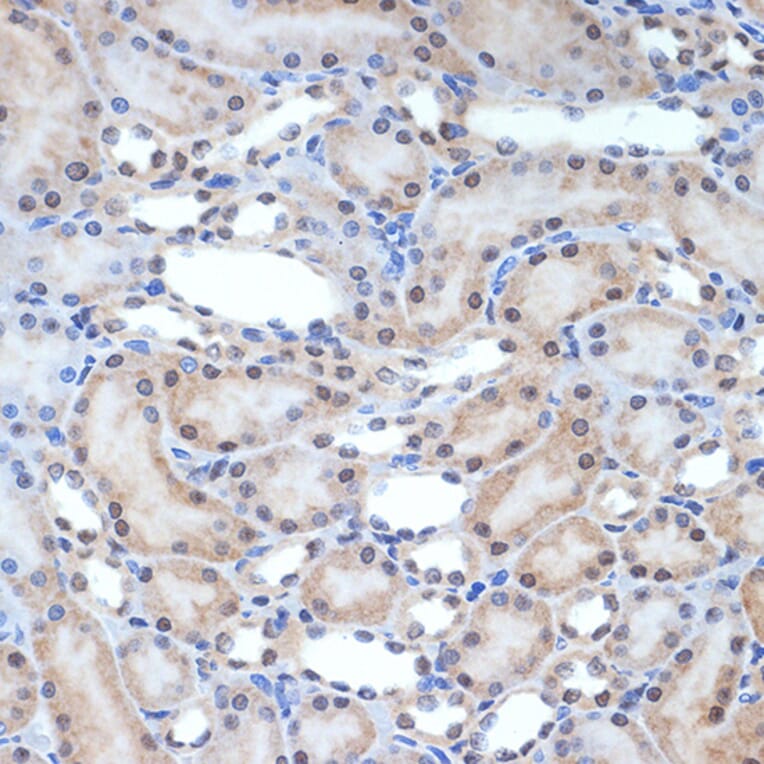
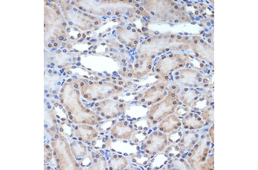
Anti-XPD Antibody [ARC2401] (A305413)

Rabbit monoclonal [ARC2401] antibody to XPD for WB and IHC.

Shipping Information

$40
Dispatched from St. Louis, MO.
Lead Time: 7-10 business days.
Name
Anti-XPD Antibody [ARC2401]
Description
Rabbit monoclonal [ARC2401] antibody to XPD.
Applications
WB, IHC
Dilutions
WB: 1:500-1:1,000, IHC: 1:50-1:200
Reactivity
Human, Mouse, Rat
Immunogen
A synthetic peptide corresponding to a sequence within amino acids 600-700 of human XPD/ERCC2 (P18074).
Sequence
ARGKVSEGIDFVHHYGRAVIMFGVPYVYTQSRILKARLEYLRDQFQIRENDFLTFDAMRHAAQCVGRAIRGKTDYGLMVFADKRFARGDKRGKLPRWIQEH
Host
Rabbit
Clonality
Monoclonal
Clone ID
ARC2401
Isotype
IgG
Conjugate

Unconjugated

Purification
Affinity purification.
Concentration
Lot Specific
Molecular Weight
80 kDa
Product Form
Liquid
Formulation
Supplied in Phosphate Buffered Saline, pH 7.3, with 50% Glycerol, 0.05% BSA, and 0.02% Sodium Azide.
Storage
Shipped at 4°C. Upon delivery aliquot and store at -20°C. Avoid freeze/thaw cycles.
Synonyms
Basic transcription factor 2 80 kDa subunit, BTF2 p80, CXPD, DNA 5'-3' helicase XPD, DNA excision repair protein ERCC-2, DNA repair protein complementing XP-D cells, ERCC2, General transcription and DNA repair factor IIH helicase subunit XPD, TFIIH subunit XPD, XPDC
Disclaimer
This product is for research use only. It is not intended for diagnostic or therapeutic use.
Publishing research using Anti-XPD Antibody [ARC2401] (A305413)? Please let us know so that we can list the citation on this page.

Alternative products to Anti-XPD Antibody [ARC2401] (A305413)

Proteins predicted to interact with XPD

Predicted protein interactions based upon String database. Revelancy score correlates with probability of interaction.
99.9% Relevancy Score
99.9% Relevancy Score
99.9% Relevancy Score
99.9% Relevancy Score
99.9% Relevancy Score
99.9% Relevancy Score
99.9% Relevancy Score
99.9% Relevancy Score
99.9% Relevancy Score