ISO 9001:2015 Certified
Live Customer Support
4.5/5 on Trustpilot
100% Quality Guarantee

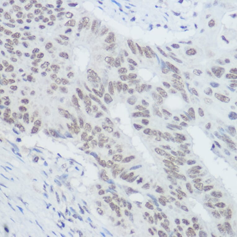
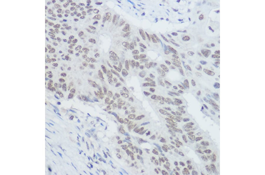
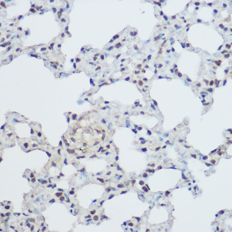
Anti-XRCC1 Antibody (A11152)

Rabbit polyclonal antibody to XRCC1 for WB, IHC and ICC/IF.

Shipping Information

$40
Dispatched from St. Louis, MO.
Lead Time: 7-10 business days.
Name
Anti-XRCC1 Antibody
Description
Rabbit polyclonal antibody to XRCC1.
Applications
WB, IHC, ICC/IF
Dilutions
WB: 1:500-1:1,000, IHC: 1:100-1:500, ICC/IF: 1:50-1:200
Reactivity
Human, Mouse, Rat
Immunogen
Recombinant fusion protein containing a sequence corresponding to amino acids 480-633 of human XRCC1 (NP_006288.2).
Sequence
NGAEDSGDTEDELRRVAEQKEHRLPPGQEENGEDPYAGSTDENTDSEEHQEPPDLPVPELPDFFQGKHFFLYGEFPGDERRKLIRYVTAFNGELEDYMSDRVQFVITAQEWDPSFEEALMDNPSLAFVRPRWIYSCNEKQKLLPHQLYGVVPQA
Host
Rabbit
Clonality
Polyclonal
Isotype
IgG
Conjugate

Unconjugated

Purification
Affinity purification.
Concentration
Lot Specific
Molecular Weight
82 kDa
Product Form
Liquid
Formulation
Supplied in Phosphate Buffered Saline, pH 7.3, with 50% Glycerol and 0.01% Thiomersal.
Storage
Shipped at 4°C. Upon delivery aliquot and store at -20°C. Avoid freeze/thaw cycles.
Synonyms
DNA repair protein XRCC1, X-ray repair cross-complementing protein 1
Disclaimer
This product is for research use only. It is not intended for diagnostic or therapeutic use.
Publishing research using Anti-XRCC1 Antibody (A11152)? Please let us know so that we can list the citation on this page.

Alternative products to Anti-XRCC1 Antibody (A11152)

Proteins predicted to interact with XRCC1

Predicted protein interactions based upon String database. Revelancy score correlates with probability of interaction.
99.9% Relevancy Score
99.9% Relevancy Score
99.9% Relevancy Score
99.9% Relevancy Score
99.9% Relevancy Score
99.9% Relevancy Score
99.9% Relevancy Score
99.7% Relevancy Score
99.7% Relevancy Score