ISO 9001:2015 Certified
Live Customer Support
4.5/5 on Trustpilot
100% Quality Guarantee

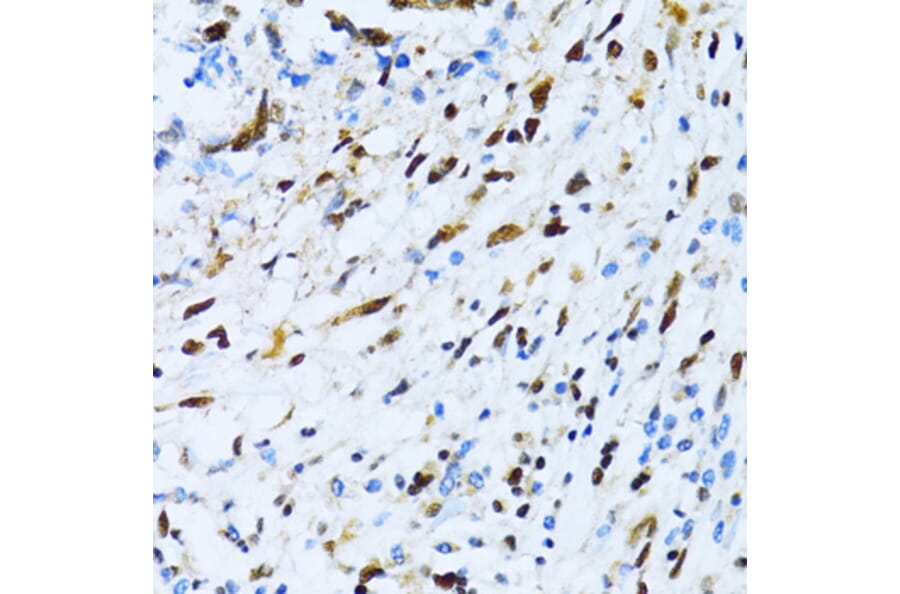
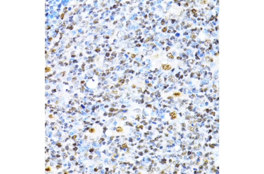
Anti-XRCC4 Antibody (A13589)

Rabbit polyclonal antibody to XRCC4 for WB, IHC and ICC/IF.

Shipping Information

$40
Dispatched from St. Louis, MO.
Lead Time: 7-10 business days.
Name
Anti-XRCC4 Antibody
Description
Rabbit polyclonal antibody to XRCC4.
Applications
WB, IHC, ICC/IF
Dilutions
WB: 1:500-1:1,000, IHC: 1:50-1:200, ICC/IF: 1:10-1:100
Reactivity
Human, Mouse, Rat
Immunogen
Recombinant fusion protein containing a sequence corresponding to amino acids 1-336 of human XRCC4 (NP_071801.1).
Sequence
MERKISRIHLVSEPSITHFLQVSWEKTLESGFVITLTDGHSAWTGTVSESEISQEADDMAMEKGKYVGELRKALLSGAGPADVYTFNFSKESCYFFFEKNLKDVSFRLGSFNLEKVENPAEVIRELICYCLDTIAENQAKNEHLQKENERLLRDWNDVQGRFEKCVSAKEALETDLYKRFILVLNEKKTKIRSLHNKLLNAAQEREKDIKQEGETAICSEMTADRDPVYDESTDEESENQTDLSGLASAAVSKDDSIISSLDVTDIAPSRKRRQRMQRNLGTEPKMAPQENQLQEKENSRPDSSLPETSKKEHISAENMSLETLRNSSPEDLFDEI
Host
Rabbit
Clonality
Polyclonal
Isotype
IgG
Conjugate

Unconjugated

Purification
Affinity purification.
Concentration
Lot Specific
Molecular Weight
55 kDa
Product Form
Liquid
Formulation
Supplied in Phosphate Buffered Saline, pH 7.3, with 50% Glycerol and 0.01% Thiomersal.
Storage
Shipped at 4°C. Upon delivery aliquot and store at -20°C. Avoid freeze/thaw cycles.
Synonyms
DNA repair protein XRCC4, hXRCC4, X-ray repair cross-complementing protein 4
Disclaimer
This product is for research use only. It is not intended for diagnostic or therapeutic use.
Publishing research using Anti-XRCC4 Antibody (A13589)? Please let us know so that we can list the citation on this page.

Alternative products to Anti-XRCC4 Antibody (A13589)

Proteins predicted to interact with XRCC4

Predicted protein interactions based upon String database. Revelancy score correlates with probability of interaction.
99.9% Relevancy Score
99.9% Relevancy Score
99.9% Relevancy Score
99.9% Relevancy Score
99.9% Relevancy Score
99.9% Relevancy Score
99.8% Relevancy Score
99.3% Relevancy Score
98.3% Relevancy Score