ISO 9001:2015 Certified
Live Customer Support
4.5/5 on Trustpilot
100% Quality Guarantee

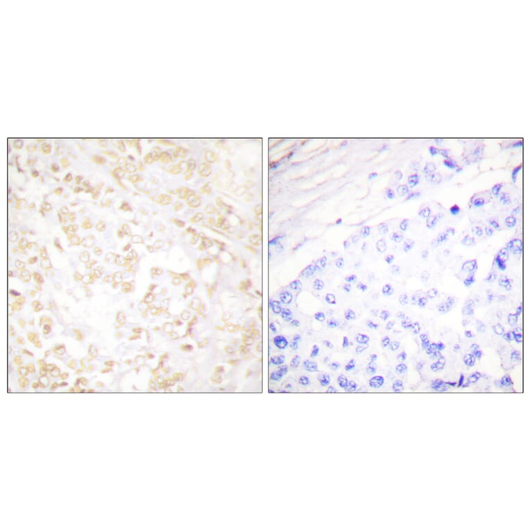
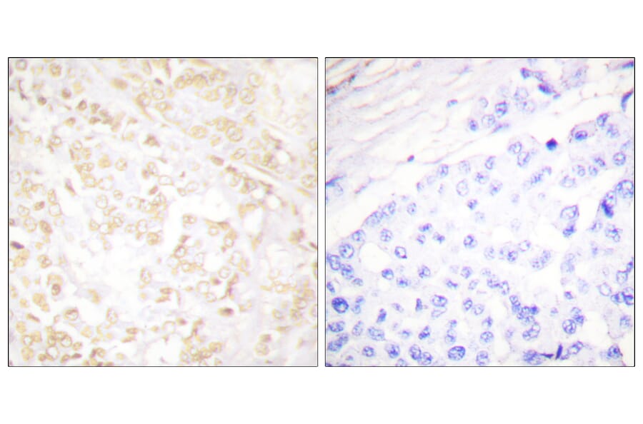
Anti-XRCC6 Antibody (A97102)

Rabbit polyclonal antibody to XRCC6 for WB, IHC and ELISA.

Shipping Information

$40
Dispatched from St. Louis, MO.
Lead Time: 6-8 business days.
Name
Anti-XRCC6 Antibody
Description
Rabbit polyclonal antibody to XRCC6.
Applications
WB, IHC, ELISA
Dilutions
WB: 1:500-1:1000, IHC: 1:50-1:100, ELISA: 1:5000
Reactivity
Human, Mouse
Immunogen
Synthetic peptide derived from human XRCC6 (amino acids 554-603).
Host
Rabbit
Clonality
Polyclonal
Isotype
IgG
Conjugate

Unconjugated

Purification
Purified from rabbit serum by antigen affinity chromatography using the immunizing peptide.
Molecular Weight
69kDa
Product Form
Liquid
Formulation
Supplied in Phosphate Buffered Saline (without Mg2+ and Ca2+), pH 7.4, with 150mM NaCl, 0.02% Sodium Azide, and 50% Glycerol.
Storage
Shipped at 4°C. Upon delivery aliquot and store at -20°C. Avoid freeze / thaw cycles.
Synonyms
CTC75, CTC85, CTCBF, DNA repair protein XRCC5, DNA repair protein XRCC6, G22P1, G22P2, KARP1, Ku 70, Ku 80, Ku 86, Ku86, ML8, NFIV, TLAA, XRCC5, XRCC6
Disclaimer
This product is for research use only. It is not intended for diagnostic or therapeutic use.
Publishing research using Anti-XRCC6 Antibody (A97102)? Please let us know so that we can list the citation on this page.

Alternative products to Anti-XRCC6 Antibody (A97102)