Primary Antibodies
Secondary Antibodies
Proteins & Peptides
ELISA Kits
About Us
Contact Us
Sign In/Register
0
ISO 9001:2015 Certified
Live Customer Support
4.5/5 on Trustpilot
100% Quality Guarantee
Home
Primary Antibodies
ZBP1 Antibodies
Anti-ZBP1 Antibody (A48393)
Anti-ZBP1 Antibody (A48393)
Overview
Specifications
Images
Enlarge Image
Enlarge Image
$780
Product Datasheet
Rabbit polyclonal antibody to ZBP1 for ELISA, WB and IHC.
100% Guarantee
Price Match Guarantee
Product Size:
100µl
Quantity:
1
2
3
4
5
6
7
8
9
10
Add To Cart
Request a Quotation
Custom or Bulk Request
Shipping Information
Freight/Packing Charges:
$40
Dispatched from St. Louis, MO.
Lead Time: 6-9 business days.
Specifications
Name
Anti-ZBP1 Antibody
Description
Rabbit polyclonal antibody to ZBP1
Applications
ELISA
,
WB
,
IHC
Reactivity
Human, Mouse, Rat
Immunogen
Raised against a 18 amino acid peptide from near the carboxy terminus of human ZBP1.
Host
Rabbit
Clonality
Polyclonal
Conjugate
Unconjugated
Purification
Affinity chromatography purified via peptide column
Formulation
Supplied in phosphate-buffered saline with 0.02% Sodium Azide.
Storage
Shipped at 4°C. Upon delivery aliquot and store at -20°C. Avoid freeze/thaw cycles.
Synonyms
C20orf183, DAI, DLM1, DNA-dependent activator of IFN-regulatory factors, Tumor stroma and activated macrophage protein DLM-1, Z-DNA-binding protein 1
Suitable Secondaries
Goat Anti-Rabbit IgG H&L Antibody (AP) (A294874)
Goat Anti-Rabbit IgG H&L Antibody (Biotin) (A294795)
Goat Anti-Rabbit IgG H&L Antibody (FITC) (A294887)
Goat Anti-Rabbit IgG H&L Antibody (HRP) (A294888)
See all Anti-Rabbit IgG Secondaries →
Disclaimer
This product is for research use only. It is not intended for diagnostic or therapeutic use.
Scientific Validation Data
Validation Data
(2)
Enlarge Image
Anti-ZBP1 Antibody (A48393)
Western blot analysis of ZBP1 in mouse small intestine tissue lysate with ZBP1 antibody at (A) 0.5, (B) 1 and (C) 2 µg/mL.
Enlarge Image
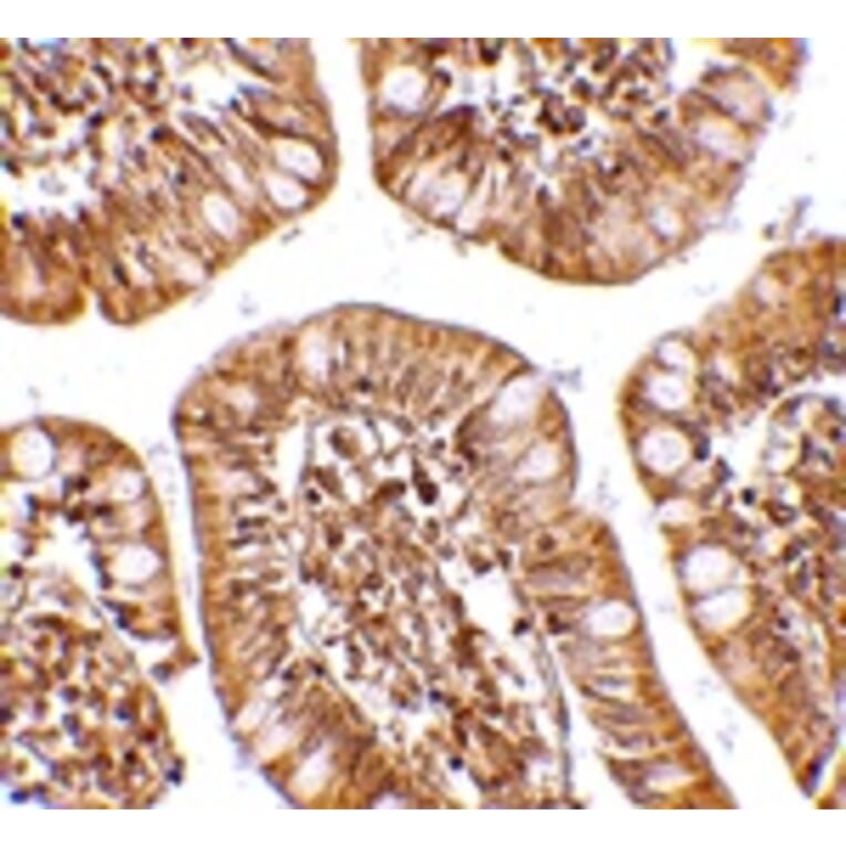
Immunohistochemistry - Anti-ZBP1 Antibody (A48393)
Immunohistochemistry of ZBP1 in human small intestine tissue with ZBP1 antibody at 2.5 µg/mL.
Publishing research using Anti-ZBP1 Antibody (A48393)? Please
let us know
so that we can list the citation on this page.
Alternative products to Anti-ZBP1 Antibody (A48393)
A90817
Anti-DAI Antibody
Rabbit polyclonal antibody to DAI for WB.
A90817
Anti-DAI Antibody
Rabbit polyclonal antibody to DAI for WB.
Proteins predicted to interact with ZBP1
Predicted protein interactions based upon String database. Revelancy score correlates with probability of interaction.
RIP Antibodies
99.8% Relevancy Score
RIP3 Antibodies
99.6% Relevancy Score
IRF3 Antibodies
98.9% Relevancy Score
TBK1 Antibodies
98.6% Relevancy Score
IRF7 Antibodies
97.7% Relevancy Score
IKK epsilon Antibodies
96.3% Relevancy Score
Caspase-8 Antibodies
82.3% Relevancy Score
ADAR1 Antibodies
75.1% Relevancy Score
MLKL Antibodies
72% Relevancy Score
Top