ISO 9001:2015 Certified
Live Customer Support
4.5/5 on Trustpilot
100% Quality Guarantee

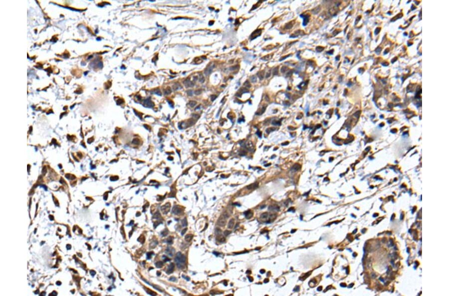
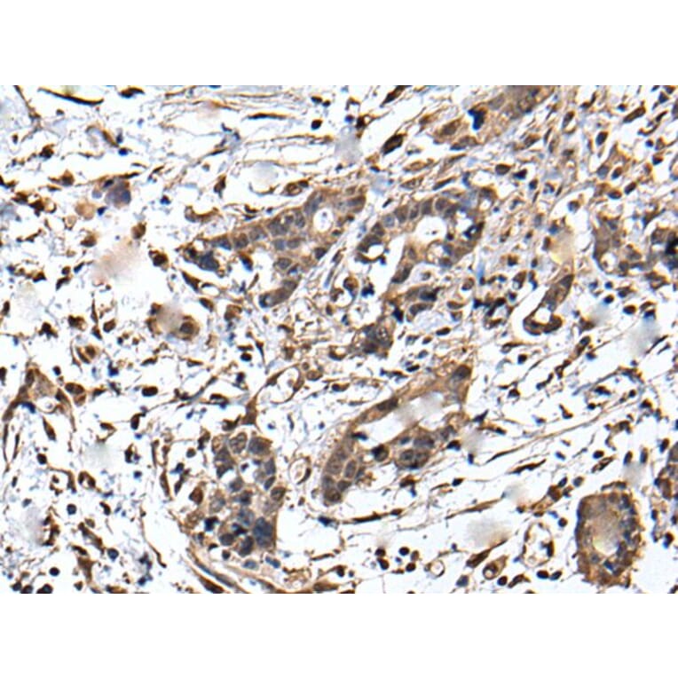
Anti-ZFP36 Antibody (A46544)

Rabbit polyclonal antibody to ZFP36 for IHC.

Shipping Information

$40
Dispatched from St. Louis, MO.
Lead Time: 6-9 business days.
Name
Anti-ZFP36 Antibody
Description
Rabbit polyclonal antibody to ZFP36
Specificity
The antibody detects endogenous levels of total ZFP36 protein.
Applications
IHC
Reactivity
Human
Immunogen
Fusion protein of human ZFP36
Host
Rabbit
Clonality
Polyclonal
Conjugate

Unconjugated

Purification
Antigen affinity purification
Concentration
1.3 mg/mL
Formulation
Rabbit IgG in pH7.4 PBS, 0.05% NaN3, 40% Glycerol.
Storage
Shipped at 4°C. Upon delivery aliquot and store at -20°C. Avoid freeze/thaw cycles.
Synonyms
G0/G1 switch regulatory protein 24, G0S24, Growth factor-inducible nuclear protein NUP475, mRNA decay activator protein ZFP36, NUP475, RNF162A, TIS11A, TTP, Zfp-36, Zinc finger protein 36
Disclaimer
This product is for research use only. It is not intended for diagnostic or therapeutic use.
Publishing research using Anti-ZFP36 Antibody (A46544)? Please let us know so that we can list the citation on this page.

Proteins predicted to interact with Tristetraprolin

Predicted protein interactions based upon String database. Revelancy score correlates with probability of interaction.
98.3% Relevancy Score
97.9% Relevancy Score
96.9% Relevancy Score
93.4% Relevancy Score
91.4% Relevancy Score
91.2% Relevancy Score
90.9% Relevancy Score
90.5% Relevancy Score
89.5% Relevancy Score