Primary Antibodies
Secondary Antibodies
Proteins & Peptides
ELISA Kits
About Us
Contact Us
Sign In/Register
0
ISO 9001:2015 Certified
Live Customer Support
4.5/5 on Trustpilot
100% Quality Guarantee
Home
Primary Antibodies
ZFP91 Antibodies
Anti-ZFP91 Antibody (A46433)
Anti-ZFP91 Antibody (A46433)
Overview
Specifications
Images
Enlarge Image
$430
Product Datasheet
Rabbit polyclonal antibody to ZFP91 for IHC.
100% Guarantee
Price Match Guarantee
Product Size:
100µl
Quantity:
1
2
3
4
5
6
7
8
9
10
Add To Cart
Request a Quotation
Custom or Bulk Request
Shipping Information
Freight/Packing Charges:
$40
Dispatched from St. Louis, MO.
Lead Time: 6-9 business days.
Specifications
Name
Anti-ZFP91 Antibody
Description
Rabbit polyclonal antibody to ZFP91
Specificity
The antibody detects endogenous levels of total ZFP91 protein.
Applications
IHC
Dilutions
Immunohistochemistry: 1:100-1:200
Reactivity
Human
Immunogen
Fusion protein of human ZFP91
Host
Rabbit
Clonality
Polyclonal
Conjugate
Unconjugated
Purification
Antigen affinity purification.
Concentration
1.5 mg/mL
Formulation
Rabbit IgG in pH7.4 PBS, 0.05% NaN3, 40% Glycerol.
Storage
Shipped at 4°C. Upon delivery aliquot and store at -20°C. Avoid freeze/thaw cycles.
Synonyms
E3 ubiquitin-protein ligase ZFP91, RING-type E3 ubiquitin transferase ZFP91, Zfp-91, Zinc finger protein 757, Zinc finger protein 91 homolog, ZNF757
Suitable Secondaries
Goat Anti-Rabbit IgG H&L Antibody (AP) (A294874)
Goat Anti-Rabbit IgG H&L Antibody (Biotin) (A294795)
Goat Anti-Rabbit IgG H&L Antibody (FITC) (A294887)
Goat Anti-Rabbit IgG H&L Antibody (HRP) (A294888)
See all Anti-Rabbit IgG Secondaries →
Disclaimer
This product is for research use only. It is not intended for diagnostic or therapeutic use.
Scientific Validation Data
Validation Data
(1)
Enlarge Image
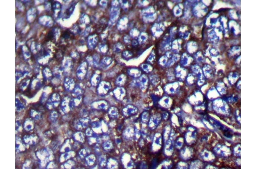
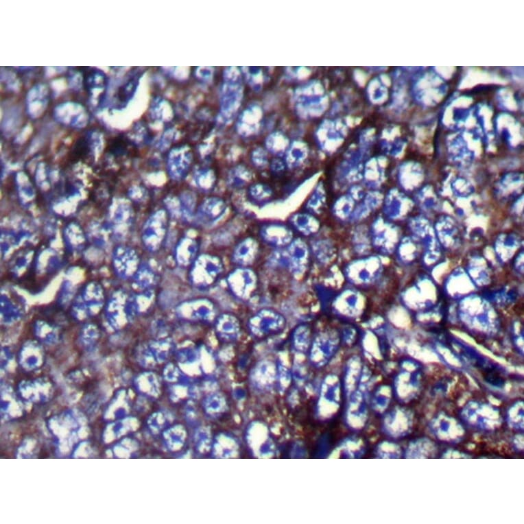
Immunohistochemistry - Anti-ZFP91 Antibody (A46433)
Immunohistochemical analysis of paraffin-embedded Human Breast cancer tissue using #42873 at dilution 1/100,
Publishing research using Anti-ZFP91 Antibody (A46433)? Please
let us know
so that we can list the citation on this page.
Alternative products to Anti-ZFP91 Antibody (A46433)
(2)
A97100
Anti-ZFP91 Antibody
Rabbit polyclonal antibody to ZFP91 for WB and ELISA.
(2)
A97100
Anti-ZFP91 Antibody
Rabbit polyclonal antibody to ZFP91 for WB and ELISA.
Proteins predicted to interact with ZFP91
Predicted protein interactions based upon String database. Revelancy score correlates with probability of interaction.
CRBN Antibodies
98.8% Relevancy Score
CNTF Antibodies
75.8% Relevancy Score
GSPT1 Antibodies
63.8% Relevancy Score
FBXW2 Antibodies
56.9% Relevancy Score
FOXA1 Antibodies
56.6% Relevancy Score
RNF166 Antibodies
55.6% Relevancy Score
PAK1IP1 Antibodies
55.1% Relevancy Score
ASC Antibodies
52.8% Relevancy Score
DDB1 Antibodies
52.4% Relevancy Score
Top