Anti-ZHX3 Antibody [PCRP-ZHX3-1G3] - BSA and Azide free
Description
Mouse monoclonal [PCRP-ZHX3-1G3] antibody to ZHX3.
Specificity
Zinc-fingers and homeobox (ZHX) proteins are transcription factors that interact with the activation domain of the A subunit of nuclear factor-Y (NF-YA). ZHX1-3 are ubiquitously expressed proteins expressed in various tissues. They act as transcriptional repressors and localize to the nucleus. The ZHX proteins contain two Cys2-His2-type zinc-finger motifs and five homeodomains (HDs). These domains allow the ZHX proteins to form homodimers, but they can also form heterodimers with each other. However, this dimerization is not required for repressor activity. Hypermethylation-mediated silencing of ZHX2 is an epigenetic event involved in hepatocellular carcinoma (HCC).
Flow cytometric analysis of PFA-fixed HeLa cells using Anti-ZHX3 Antibody [PCRP-ZHX3-1G3] followed by Goat Anti-Mouse IgG (CF® 488) (Blue). Isotype Control (Red).
SDS-PAGE analysis of Anti-ZHX3 Antibody [PCRP-ZHX3-1G3] under non-reduced and reduced conditions; showing intact IgG and intact heavy and light chains, respectively. SDS-PAGE analysis confirms the integrity and purity of the antibody.
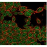
Immunofluorescent analysis of PFA-fixed HeLa cells stained with Anti-ZHX3 Antibody [PCRP-ZHX3-1G3] followed by Goat Anti-Mouse IgG (CF® 488) (Green). CF® 640A Phalloidin (Red).
Anti-ZHX3 Antibody [PCRP-ZHX3-1G3] - BSA and Azide free (A278195)
Analysis of protein array containing more than 19,000 full-length human proteins using Anti-ZHX3 Antibody [PCRP-ZHX3-1G3]. Z-Score and S- Score: The Z-score represents the strength of a signal that a monoclonal antibody (MAb) (in combination with a fluorescently-tagged anti-IgG secondary antibody) produces when binding to a particular protein on the HuProtTM array. Z-scores are described in units of standard deviations (SD's) above the mean value of all signals generated on that array. If targets on HuProtTM are arranged in descending order of the Z-score, the S-score is the difference (also in units of SD's) between the Z-score. S-score therefore represents the relative target specificity of a MAb to its intended target; a MAb is considered to be specific to its intended target, if the MAb has an S-score of at least 2.5. For example, if a MAb binds to protein X with a Z-score of 43 and to protein Y with a Z-score of 14, then the S-score for the binding of that MAb to protein X is equal to 29.
Publishing research using Anti-ZHX3 Antibody [PCRP-ZHX3-1G3] - BSA and Azide free (A278195)? Please let us know so that we can list the citation on this page.
Alternative products to Anti-ZHX3 Antibody [PCRP-ZHX3-1G3] - BSA and Azide free (A278195)