Primary Antibodies
Secondary Antibodies
Proteins & Peptides
ELISA Kits
About Us
Contact Us
Sign In/Register
0
ISO 9001:2015 Certified
Live Customer Support
4.5/5 on Trustpilot
100% Quality Guarantee
Home
Primary Antibodies
SLC39A1 Antibodies
Anti-ZIP1 Antibody (A48449)
Anti-ZIP1 Antibody (A48449)
Overview
Specifications
Images
Enlarge Image
Enlarge Image
$780
Product Datasheet
Rabbit polyclonal antibody to ZIP1 for ELISA, WB and IHC.
100% Guarantee
Price Match Guarantee
Product Size:
100µl
Quantity:
1
2
3
4
5
6
7
8
9
10
Add To Cart
Request a Quotation
Custom or Bulk Request
Shipping Information
Freight/Packing Charges:
$40
Dispatched from St. Louis, MO.
Lead Time: 6-9 business days.
Specifications
Name
Anti-ZIP1 Antibody
Description
Rabbit polyclonal antibody to ZIP1
Applications
ELISA
,
WB
,
IHC
Reactivity
Human, Mouse
Immunogen
Raised against a 16 amino acid peptide near the amino terminus of human ZIP1.
Host
Rabbit
Clonality
Polyclonal
Conjugate
Unconjugated
Purification
Affinity chromatography purified via peptide column
Formulation
Supplied in phosphate-buffered saline with 0.02% Sodium Azide.
Storage
Shipped at 4°C. Upon delivery aliquot and store at -20°C. Avoid freeze/thaw cycles.
Synonyms
hZIP1, IRT1, Solute carrier family 39 member 1, Zinc transporter ZIP1, Zinc-iron-regulated transporter-like, ZIP-1, ZIRTL, Zrt- and Irt-like protein 1
Suitable Secondaries
Goat Anti-Rabbit IgG H&L Antibody (AP) (A294874)
Goat Anti-Rabbit IgG H&L Antibody (Biotin) (A294795)
Goat Anti-Rabbit IgG H&L Antibody (FITC) (A294887)
Goat Anti-Rabbit IgG H&L Antibody (HRP) (A294888)
See all Anti-Rabbit IgG Secondaries →
Disclaimer
This product is for research use only. It is not intended for diagnostic or therapeutic use.
Scientific Validation Data
Validation Data
(2)
Enlarge Image
Anti-ZIP1 Antibody (A48449)
Western blot analysis of ZIP1 in mouse kidney tissue lysate with ZIP1 antibody at (A) 1 and (B) 2 µg/mL.
Enlarge Image
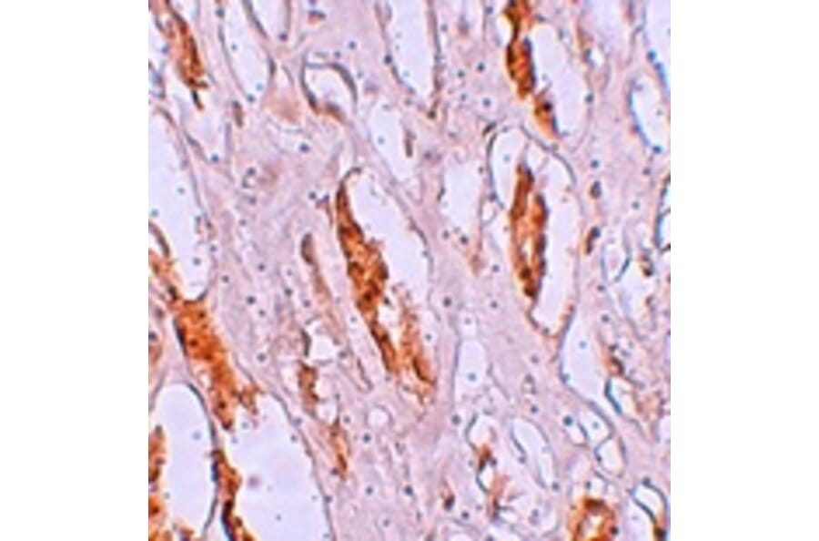
Immunohistochemistry - Anti-ZIP1 Antibody (A48449)
Immunohistochemistry of ZIP1 in human kidney tissue with ZIP1 antibody at 2.5 µg/mL.
Publishing research using Anti-ZIP1 Antibody (A48449)? Please
let us know
so that we can list the citation on this page.
Alternative products to Anti-ZIP1 Antibody (A48449)
A100097
Anti-SLC39A1 Antibody
Rabbit polyclonal antibody to SLC39A1 for WB and ELISA.
A100097
Anti-SLC39A1 Antibody
Rabbit polyclonal antibody to SLC39A1 for WB and ELISA.
Proteins predicted to interact with SLC39A1
Predicted protein interactions based upon String database. Revelancy score correlates with probability of interaction.
ZnT1 Antibodies
89.8% Relevancy Score
SLC30A4 Antibodies
87.2% Relevancy Score
ZIP7 Antibodies
84.8% Relevancy Score
SPO11 Antibodies
84% Relevancy Score
DMT1 Antibodies
83.7% Relevancy Score
SLC40A1 Antibodies
83.1% Relevancy Score
MSH4 Antibodies
82.4% Relevancy Score
SLC39A14 Antibodies
81.9% Relevancy Score
SLC39A6 Antibodies
81.7% Relevancy Score
Top