ISO 9001:2015 Certified
Live Customer Support
4.5/5 on Trustpilot
100% Quality Guarantee

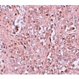
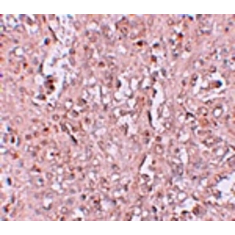
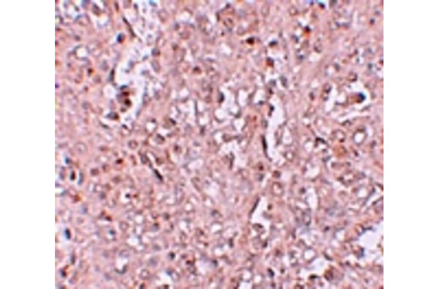
Anti-ZIP13 Antibody (A48072)

$735

Rabbit polyclonal antibody to ZIP13 for E, WB and IHC.

Shipping Information

$40
Dispatched from St. Louis, MO.
Lead Time: 6-9 business days.
Name
Anti-ZIP13 Antibody
Description
Rabbit polyclonal antibody to ZIP13
Specificity
At least two isoforms of ZIP13 are known to exist; this antibody will detect both isoforms. ZIP13 antibody is predicted to not cross-react with other ZIP family members.
Applications
E, WB, IHC
Reactivity
Human
Immunogen
Raised against a 14 amino acid peptide near the amino terminus of human ZIP13.
Host
Rabbit
Clonality
Polyclonal
Conjugate

Unconjugated

Purification
Affinity chromatography purified via peptide column
Formulation
Supplied in PBS containing 0.02% sodium azide.
Storage
Can be stored at -20˚C, stable for one year. As with all antibodies care should be taken to avoid repeated freeze thaw cycles. Antibodies should not be exposed to prolonged high temperatures.
Disclaimer
This product is for research use only. It is not intended for diagnostic or therapeutic use.
Publishing research using Anti-ZIP13 Antibody (A48072)? Please let us know so that we can list the citation on this page.