Primary Antibodies
Secondary Antibodies
Proteins & Peptides
ELISA Kits
About Us
Contact Us
Sign In/Register
0
ISO 9001:2015 Certified
Live Customer Support
4.5/5 on Trustpilot
100% Quality Guarantee
Home
Primary Antibodies
SLC39A5 Antibodies
Anti-ZIP5 Antibody (A48452)
Anti-ZIP5 Antibody (A48452)
Overview
Specifications
Images
Enlarge Image
Enlarge Image
$780
Product Datasheet
Rabbit polyclonal antibody to ZIP5 for ELISA, WB and IHC.
100% Guarantee
Price Match Guarantee
Product Size:
100µl
Quantity:
1
2
3
4
5
6
7
8
9
10
Add To Cart
Request a Quotation
Custom or Bulk Request
Shipping Information
Freight/Packing Charges:
$40
Dispatched from St. Louis, MO.
Lead Time: 6-9 business days.
Specifications
Name
Anti-ZIP5 Antibody
Description
Rabbit polyclonal antibody to ZIP5
Applications
ELISA
,
WB
,
IHC
Reactivity
Human, Mouse
Immunogen
Raised against a 17 amino acid peptide near the center of human ZIP5.
Host
Rabbit
Clonality
Polyclonal
Conjugate
Unconjugated
Purification
Affinity chromatography purified via peptide column
Formulation
Supplied in phosphate-buffered saline with 0.02% Sodium Azide.
Storage
Shipped at 4°C. Upon delivery aliquot and store at -20°C. Avoid freeze/thaw cycles.
Synonyms
Solute carrier family 39 member 5, Zinc transporter ZIP5, ZIP-5, Zrt- and Irt-like protein 5
Suitable Secondaries
Goat Anti-Rabbit IgG H&L Antibody (AP) (A294874)
Goat Anti-Rabbit IgG H&L Antibody (Biotin) (A294795)
Goat Anti-Rabbit IgG H&L Antibody (FITC) (A294887)
Goat Anti-Rabbit IgG H&L Antibody (HRP) (A294888)
See all Anti-Rabbit IgG Secondaries →
Disclaimer
This product is for research use only. It is not intended for diagnostic or therapeutic use.
Scientific Validation Data
Validation Data
(2)
Enlarge Image
Anti-ZIP5 Antibody (A48452)
Western blot analysis of ZIP5 in human spleen tissue lysate with ZIP5 antibody at 1 µg/mL.
Enlarge Image
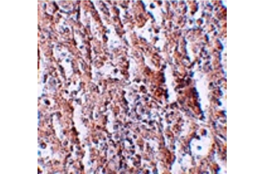
Immunohistochemistry - Anti-ZIP5 Antibody (A48452)
Immunohistochemistry of ZIP5 in human spleen tissue with ZIP5 antibody at 2.5 µg/mL.
Publishing research using Anti-ZIP5 Antibody (A48452)? Please
let us know
so that we can list the citation on this page.
Alternative products to Anti-ZIP5 Antibody (A48452)
A42008
Anti-SLC39A5 Antibody
Rabbit polyclonal antibody to SLC39A5 for WB.
A42008
Anti-SLC39A5 Antibody
Rabbit polyclonal antibody to SLC39A5 for WB.
Proteins predicted to interact with SLC39A5
Predicted protein interactions based upon String database. Revelancy score correlates with probability of interaction.
ZnT1 Antibodies
77.6% Relevancy Score
SLC39A9 Antibodies
77.4% Relevancy Score
SLC39A1 Antibodies
77.2% Relevancy Score
SLC39A11 Antibodies
77.2% Relevancy Score
ZnT6 Antibodies
76.4% Relevancy Score
SLC30A2 Antibodies
75.3% Relevancy Score
SLC30A4 Antibodies
72.7% Relevancy Score
SLC30A9 Antibodies
69.8% Relevancy Score
SLC39A3 Antibodies
69% Relevancy Score
Top