Primary Antibodies
Secondary Antibodies
Proteins & Peptides
ELISA Kits
About Us
Contact Us
Sign In/Register
0
ISO 9001:2015 Certified
Live Customer Support
4.5/5 on Trustpilot
100% Quality Guarantee
Home
Primary Antibodies
PAG608 Antibodies
Anti-ZMAT3 Antibody (A46031)
Anti-ZMAT3 Antibody (A46031)
Overview
Specifications
Images
Enlarge Image
Enlarge Image
$430
Product Datasheet
Rabbit polyclonal antibody to ZMAT3 for IHC.
100% Guarantee
Price Match Guarantee
Product Size:
100µl
Quantity:
1
2
3
4
5
6
7
8
9
10
Add To Cart
Request a Quotation
Custom or Bulk Request
Shipping Information
Freight/Packing Charges:
$40
Dispatched from St. Louis, MO.
Lead Time: 6-9 business days.
Specifications
Name
Anti-ZMAT3 Antibody
Description
Rabbit polyclonal antibody to ZMAT3
Specificity
The antibody detects endogenous levels of total ZMAT3 protein.
Applications
IHC
Reactivity
Human
Immunogen
Fusion protein corresponding to a region derived from internal residues of human zinc finger, matrin-type 3
Host
Rabbit
Clonality
Polyclonal
Conjugate
Unconjugated
Purification
Antigen affinity purification.
Concentration
0.9 mg/mL
Formulation
Supplied in PBS, pH 7.3, containing 0.05% sodium azide and 50% glycerol.
Storage
Shipped at 4°C. Upon delivery aliquot and store at -20°C. Avoid freeze/thaw cycles.
Synonyms
p53-activated gene 608 protein, WIG1, Zinc finger matrin-type protein 3, Zinc finger protein WIG-1
Suitable Secondaries
Goat Anti-Rabbit IgG H&L Antibody (AP) (A294874)
Goat Anti-Rabbit IgG H&L Antibody (Biotin) (A294795)
Goat Anti-Rabbit IgG H&L Antibody (FITC) (A294887)
Goat Anti-Rabbit IgG H&L Antibody (HRP) (A294888)
See all Anti-Rabbit IgG Secondaries →
Disclaimer
This product is for research use only. It is not intended for diagnostic or therapeutic use.
Scientific Validation Data
Validation Data
(2)
Enlarge Image
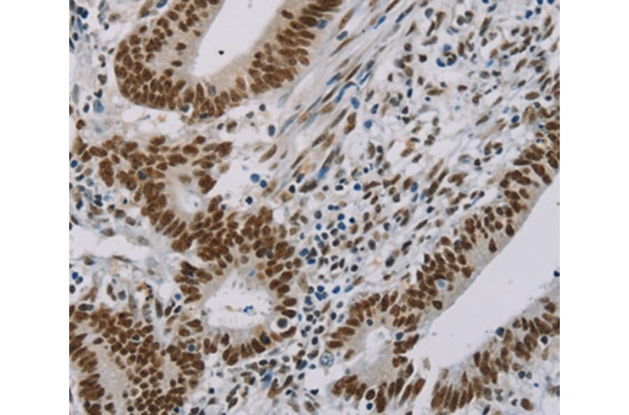
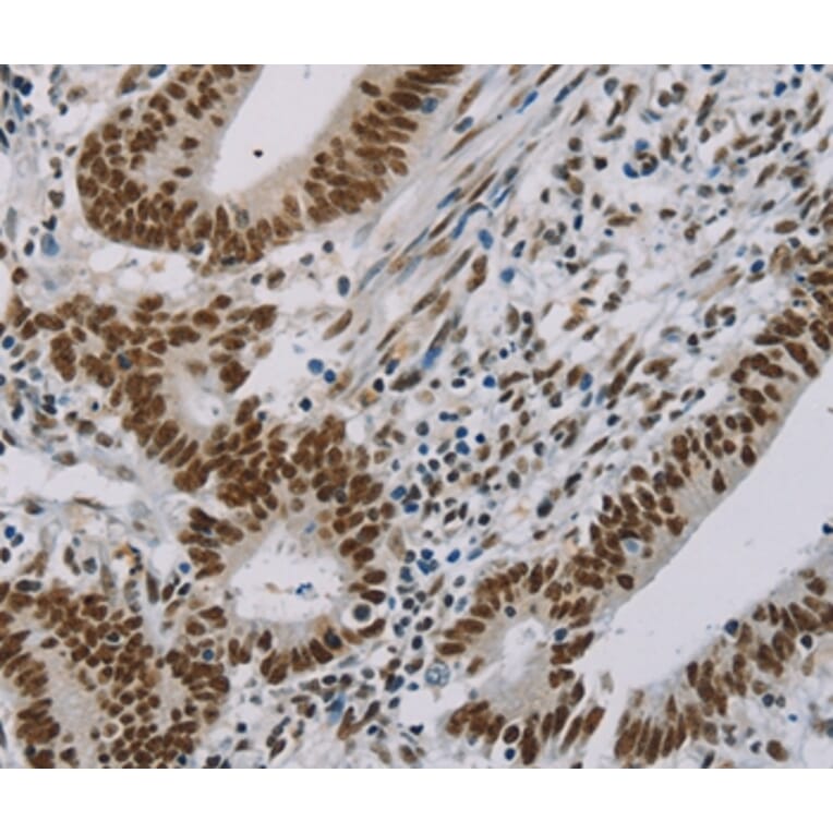
Immunohistochemistry - Anti-ZMAT3 Antibody (A46031)
Immunohistochemical analysis of paraffin-embedded Human colon cancer tissue using #36675 at dilution 1/20.
Enlarge Image
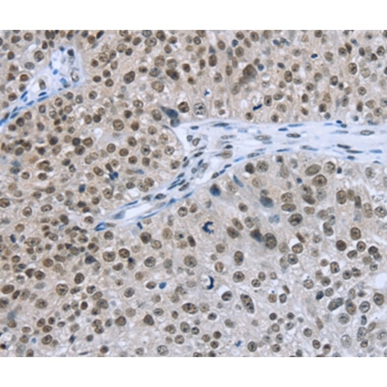
Immunohistochemistry - Anti-ZMAT3 Antibody (A46031)
Immunohistochemical analysis of paraffin-embedded Human breast cancer tissue using #36675 at dilution 1/20.
Publishing research using Anti-ZMAT3 Antibody (A46031)? Please
let us know
so that we can list the citation on this page.
Alternative products to Anti-ZMAT3 Antibody (A46031)
A28257
Anti-WIG1 Antibody
Rabbit polyclonal antibody to WIG1 for WB.
A28257
Anti-WIG1 Antibody
Rabbit polyclonal antibody to WIG1 for WB.
Proteins predicted to interact with PAG608
Predicted protein interactions based upon String database. Revelancy score correlates with probability of interaction.
p53 Antibodies
70.8% Relevancy Score
p21 Antibodies
68.7% Relevancy Score
DHX9 Antibodies
63.8% Relevancy Score
HNRNPA2B1 Antibodies
63.4% Relevancy Score
C2orf37 Antibodies
63.1% Relevancy Score
TRBP Antibodies
62% Relevancy Score
RIOK3 Antibodies
61.2% Relevancy Score
Cyclin G Antibodies
57% Relevancy Score
PHLDA3 Antibodies
56.4% Relevancy Score
Top