ISO 9001:2015 Certified
Live Customer Support
4.5/5 on Trustpilot
100% Quality Guarantee

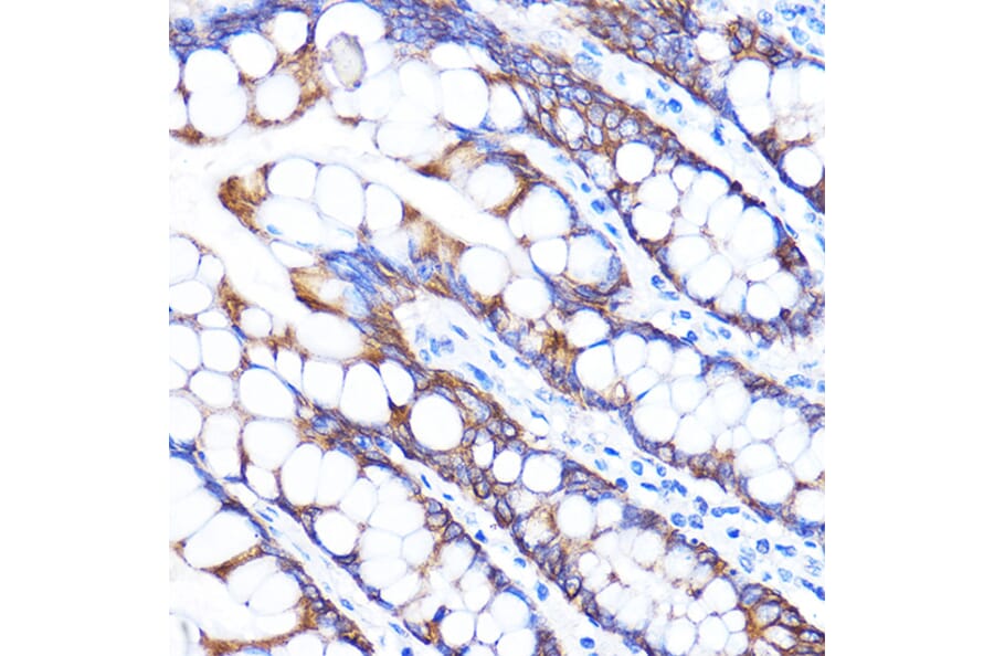
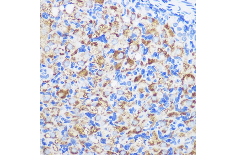
Anti-ZMPSTE24 Antibody (A305482)

Rabbit polyclonal antibody to ZMPSTE24 for WB and IHC.

Shipping Information

$40
Dispatched from St. Louis, MO.
Lead Time: 7-10 business days.
Name
Anti-ZMPSTE24 Antibody
Description
Rabbit polyclonal antibody to ZMPSTE24.
Applications
WB, IHC
Dilutions
WB: 1:500-1:2,000, IHC: 1:50-1:200
Reactivity
Human, Mouse, Rat
Immunogen
A synthetic peptide corresponding to a sequence within amino acids 200-300 of human ZMPSTE24 (NP_005848.2).
Sequence
AWLFTLVVSLVLVTIYADYIAPLFDKFTPLPEGKLKEEIEVMAKSIDFPLTKVYVVEGSKRSSHSNAYFYGFFKNKRIVLFDTLLEEYSVLNKDIQEDSGM
Host
Rabbit
Clonality
Polyclonal
Isotype
IgG
Conjugate

Unconjugated

Purification
Affinity purification.
Concentration
Lot Specific
Molecular Weight
54 kDa
Product Form
Liquid
Formulation
Supplied in Phosphate Buffered Saline, pH 7.3, with 50% Glycerol and 0.01% Thiomersal.
Storage
Shipped at 4°C. Upon delivery aliquot and store at -20°C. Avoid freeze/thaw cycles.
Synonyms
CAAX prenyl protease 1 homolog, FACE-1, FACE1, Farnesylated proteins-converting enzyme 1, Prenyl protein-specific endoprotease 1, STE24, Zinc metalloproteinase Ste24 homolog
Disclaimer
This product is for research use only. It is not intended for diagnostic or therapeutic use.
Publishing research using Anti-ZMPSTE24 Antibody (A305482)? Please let us know so that we can list the citation on this page.

Alternative products to Anti-ZMPSTE24 Antibody (A305482)

Proteins predicted to interact with ZMPSTE24

Predicted protein interactions based upon String database. Revelancy score correlates with probability of interaction.
99.6% Relevancy Score
99.2% Relevancy Score
96.3% Relevancy Score
96.1% Relevancy Score
95.3% Relevancy Score
80.1% Relevancy Score
79.5% Relevancy Score
78.2% Relevancy Score
77.7% Relevancy Score