ISO 9001:2015 Certified
Live Customer Support
4.5/5 on Trustpilot
100% Quality Guarantee

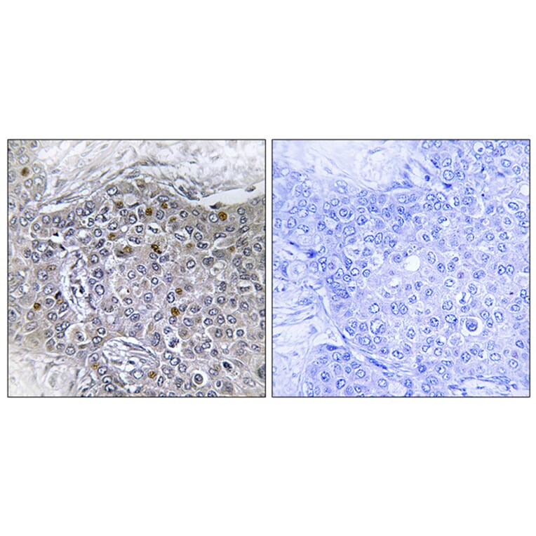
Anti-ZMY11 Antibody (A96985)

Rabbit polyclonal antibody to ZMY11 for IHC, IF and ELISA.

Shipping Information

$40
Dispatched from St. Louis, MO.
Lead Time: 6-8 business days.
Name
Anti-ZMY11 Antibody
Description
Rabbit polyclonal antibody to ZMY11.
Applications
IHC, IF, ELISA
Dilutions
IHC: 1:50~1:100, ELISA: 1:5000
Reactivity
Human, Mouse, Rat
Cross Reactivity
No reported cross-reactivity.
Immunogen
Synthetic peptide derived from human ZMY11 (amino acids 111-160).
Host
Rabbit
Clonality
Polyclonal
Isotype
IgG
Conjugate

Unconjugated

Purification
Purified from rabbit serum by antigen affinity chromatography using the immunizing peptide.
Molecular Weight
66kDa
Product Form
Liquid
Formulation
Supplied in Phosphate Buffered Saline (without Mg2+ and Ca2+), pH 7.4, with 150mM NaCl, 0.02% Sodium Azide, and 50% Glycerol.
Storage
Shipped at 4°C. Upon delivery aliquot and store at -20°C. Avoid freeze / thaw cycles.
Synonyms
Adenovirus 5 E1A-binding protein, Bone morphogenetic protein receptor-associated molecule 1, BRAM1, Protein BS69, Zinc finger MYND domain-containing protein 11, ZMYND11
Disclaimer
This product is for research use only. It is not intended for diagnostic or therapeutic use.
Publishing research using Anti-ZMY11 Antibody (A96985)? Please let us know so that we can list the citation on this page.

Alternative products to Anti-ZMY11 Antibody (A96985)

Proteins predicted to interact with BS69

Predicted protein interactions based upon String database. Revelancy score correlates with probability of interaction.
92% Relevancy Score
80.8% Relevancy Score
77.9% Relevancy Score
73% Relevancy Score
72.3% Relevancy Score
70.7% Relevancy Score
69.3% Relevancy Score
64.9% Relevancy Score