ISO 9001:2015 Certified
Live Customer Support
4.5/5 on Trustpilot
100% Quality Guarantee

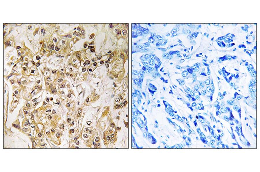
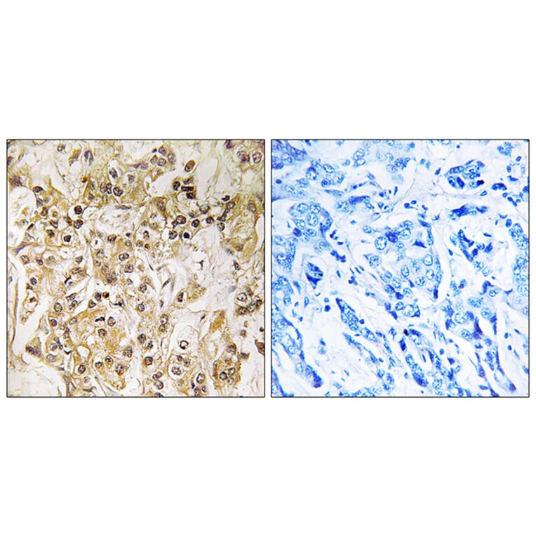
Anti-ZNF295 Antibody (A98620)

Rabbit polyclonal antibody to ZNF295 for IHC, IF and ELISA.

Shipping Information

$40
Dispatched from St. Louis, MO.
Lead Time: 6-8 business days.
Name
Anti-ZNF295 Antibody
Description
Rabbit polyclonal antibody to ZNF295.
Applications
IHC, IF, ELISA
Dilutions
IHC: 1:50~1:100, ELISA: 1:10000
Reactivity
Human, Mouse
Cross Reactivity
No reported cross-reactivity.
Immunogen
Synthetic peptide derived from human ZNF295 (amino acids 731-780).
Host
Rabbit
Clonality
Polyclonal
Isotype
IgG
Conjugate

Unconjugated

Purification
Purified from rabbit serum by antigen affinity chromatography using the immunizing peptide.
Molecular Weight
118kDa
Product Form
Liquid
Formulation
Supplied in Phosphate Buffered Saline (without Mg2+ and Ca2+), pH 7.4, with 150mM NaCl, 0.02% Sodium Azide, and 50% Glycerol.
Storage
Shipped at 4°C. Upon delivery aliquot and store at -20°C. Avoid freeze / thaw cycles.
Synonyms
KIAA1227, ZBTB21, Zinc finger and BTB domain-containing protein 21, Zinc finger protein 295, ZNF295
Disclaimer
This product is for research use only. It is not intended for diagnostic or therapeutic use.
Publishing research using Anti-ZNF295 Antibody (A98620)? Please let us know so that we can list the citation on this page.

Proteins predicted to interact with ZN295

Predicted protein interactions based upon String database. Revelancy score correlates with probability of interaction.
55.2% Relevancy Score
53% Relevancy Score
51.9% Relevancy Score
48.6% Relevancy Score
45.7% Relevancy Score
45% Relevancy Score
44.8% Relevancy Score
44.2% Relevancy Score
42.7% Relevancy Score