ISO 9001:2015 Certified
Live Customer Support
4.5/5 on Trustpilot
100% Quality Guarantee

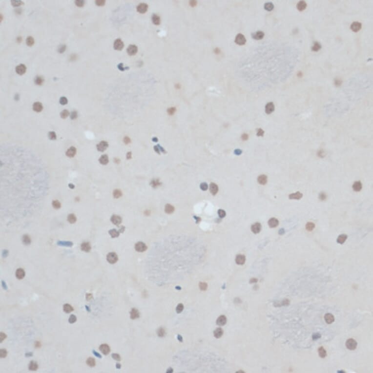
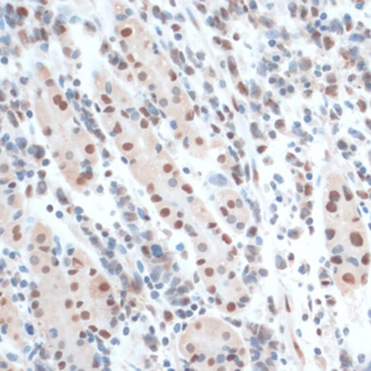
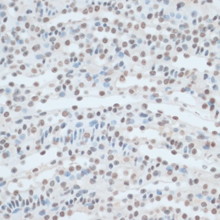
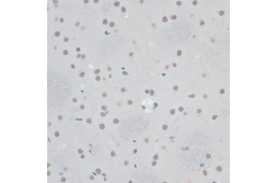
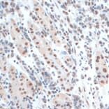
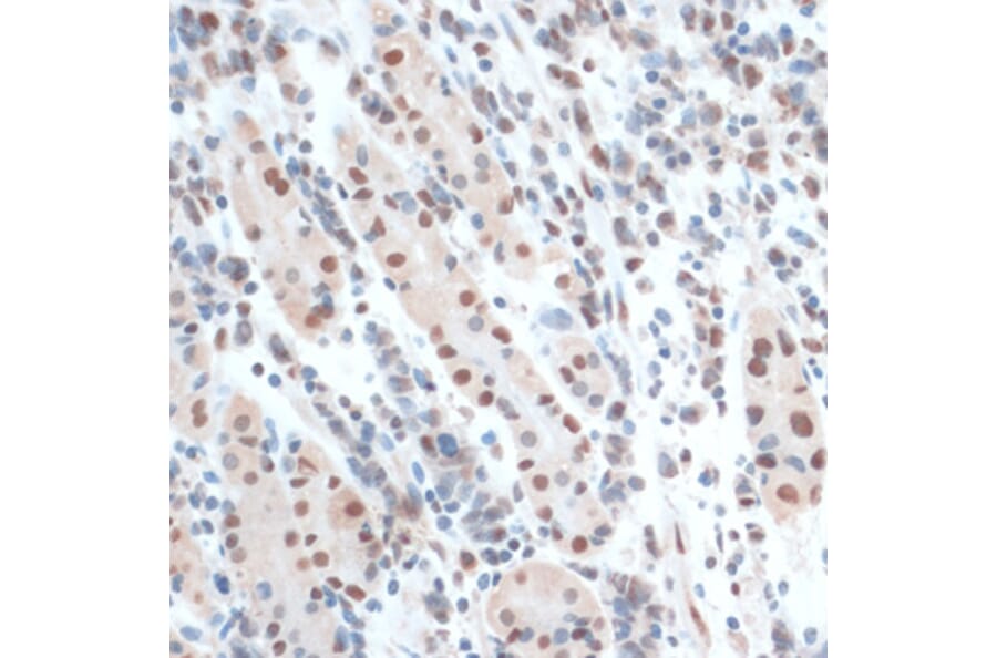
Anti-ZNF433 Antibody (A92455)

Rabbit polyclonal antibody to ZNF433 for IHC and ICC/IF.

Shipping Information

$40
Dispatched from St. Louis, MO.
Lead Time: 7-10 business days.
Name
Anti-ZNF433 Antibody
Description
Rabbit polyclonal antibody to ZNF433.
Applications
IHC, ICC/IF
Dilutions
IHC: 1:50-1:200, ICC/IF: 1:50-1:200
Reactivity
Human, Mouse, Rat
Immunogen
Recombinant fusion protein containing a sequence corresponding to amino acids 564-673 of human ZNF433 (NP_001073880.1).
Sequence
CKQCGKAFGSASHLQMHGRTHTGEKPYECKQCGKSFGCASRLQMHGRTHTGEKPYKCKQCGKAFGCPSNLRRHGRTHTGEKPYKCNQCGKVFRCSSQLQVHGRAHCIDTP
Host
Rabbit
Clonality
Polyclonal
Isotype
IgG
Conjugate

Unconjugated

Purification
Affinity purification.
Concentration
Lot Specific
Product Form
Liquid
Formulation
Supplied in Phosphate Buffered Saline, pH 7.3, with 50% Glycerol and 0.01% Thiomersal.
Storage
Shipped at 4°C. Upon delivery aliquot and store at -20°C. Avoid freeze/thaw cycles.
Synonyms
Zinc finger protein 433
Disclaimer
This product is for research use only. It is not intended for diagnostic or therapeutic use.
Publishing research using Anti-ZNF433 Antibody (A92455)? Please let us know so that we can list the citation on this page.

Proteins predicted to interact with ZNF433

Predicted protein interactions based upon String database. Revelancy score correlates with probability of interaction.
57% Relevancy Score
40.7% Relevancy Score
39% Relevancy Score
36% Relevancy Score
35.3% Relevancy Score
34.7% Relevancy Score
32.9% Relevancy Score
31.5% Relevancy Score