Anti-ZNF562 Antibody [PCRP-ZNF562-1A1] - BSA and Azide free
Description
Mouse monoclonal [PCRP-ZNF562-1A1] antibody to ZNF562.
Specificity
Recombinant full-length human ZNF562 protein.
Reactivity
Unconjugated
Cross Reactivity
Human
Immunogen
54811
Host
ELISA, IP, Flow Cytometry, IF
Clonality
Mouse
Clone ID
Monoclonal
Isotype
PCRP-ZNF562-1A1
Conjugate
IgG1
Concentration
Zinc-finger proteins contain DNA-binding domains and have a wide variety of functions, most of which encompass some form of transcriptional activation or repression. ZNF562 may be involved in transcriptional regulation.
SDS-PAGE analysis of Anti-ZNF562 Antibody [PCRP-ZNF562-1A1] under non-reduced and reduced conditions; showing intact IgG and intact heavy and light chains, respectively. SDS-PAGE analysis confirms the integrity and purity of the antibody.
Flow cytometric analysis of PFA-fixed HeLa cells using Anti-ZNF562 Antibody [PCRP-ZNF562-1A1] followed by Goat Anti-Mouse IgG (CF® 488) (Blue). Unstained cells (Red).
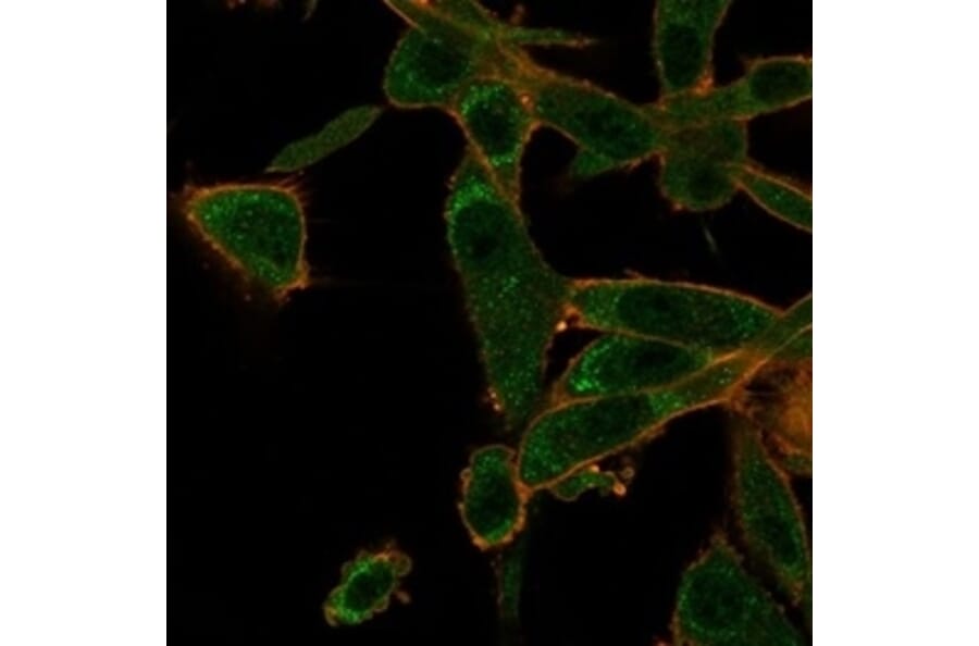
Immunofluorescent analysis of PFA-fixed U87 cells stained with Anti-ZNF562 Antibody [PCRP-ZNF562-1A1] followed by Goat Anti-Mouse IgG (CF® 488) (Green). Membrane stained with Phalloidin.
Anti-ZNF562 Antibody [PCRP-ZNF562-1A1] - BSA and Azide free (A278347)
Analysis of protein array containing more than 19,000 full-length human proteins using Anti-ZNF562 Antibody [PCRP-ZNF562-1A1]. Z-Score and S- Score: The Z-score represents the strength of a signal that a monoclonal antibody (MAb) (in combination with a fluorescently-tagged anti-IgG secondary antibody) produces when binding to a particular protein on the HuProtTM array. Z-scores are described in units of standard deviations (SD's) above the mean value of all signals generated on that array. If targets on HuProtTM are arranged in descending order of the Z-score, the S-score is the difference (also in units of SD's) between the Z-score. S-score therefore represents the relative target specificity of a MAb to its intended target; a MAb is considered to be specific to its intended target, if the MAb has an S-score of at least 2.5. For example, if a MAb binds to protein X with a Z-score of 43 and to protein Y with a Z-score of 14, then the S-score for the binding of that MAb to protein X is equal to 29.