ISO 9001:2015 Certified
Live Customer Support
4.5/5 on Trustpilot
100% Quality Guarantee

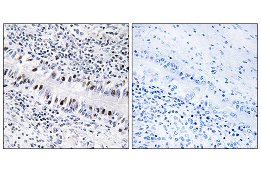
Anti-ZNF76 Antibody (A100630)

Rabbit polyclonal antibody to ZNF76 for IHC, IF and ELISA.

Shipping Information

$40
Dispatched from St. Louis, MO.
Lead Time: 6-8 business days.
Name
Anti-ZNF76 Antibody
Description
Rabbit polyclonal antibody to ZNF76.
Applications
IHC, IF, ELISA
Dilutions
IHC: 1:50~1:100, ELISA: 1:10000
Reactivity
Human, Rat, Mouse
Cross Reactivity
No reported cross-reactivity.
Immunogen
Synthetic peptide derived from human ZNF76 (amino acids 116-165).
Host
Rabbit
Clonality
Polyclonal
Isotype
IgG
Conjugate

Unconjugated

Purification
Purified from rabbit serum by antigen affinity chromatography using the immunizing peptide.
Molecular Weight
61kDa
Product Form
Liquid
Formulation
Supplied in Phosphate Buffered Saline (without Mg2+ and Ca2+), pH 7.4, with 150mM NaCl, 0.02% Sodium Azide, and 50% Glycerol.
Storage
Shipped at 4°C. Upon delivery aliquot and store at -20°C. Avoid freeze / thaw cycles.
Synonyms
D6S229E, Zinc finger protein 523, Zinc finger protein 76, ZNF523
Disclaimer
This product is for research use only. It is not intended for diagnostic or therapeutic use.
Publishing research using Anti-ZNF76 Antibody (A100630)? Please let us know so that we can list the citation on this page.

Alternative products to Anti-ZNF76 Antibody (A100630)

Proteins predicted to interact with ZNF76

Predicted protein interactions based upon String database. Revelancy score correlates with probability of interaction.
64.6% Relevancy Score
58.2% Relevancy Score
57% Relevancy Score
55.8% Relevancy Score
50.2% Relevancy Score
48.7% Relevancy Score
45.4% Relevancy Score
43.6% Relevancy Score
42.8% Relevancy Score