ISO 9001:2015 Certified
Live Customer Support
4.5/5 on Trustpilot
100% Quality Guarantee

Anti-ZnT1 Antibody (A87585)

This product is discontinued

Anti-ZnT1 Antibody (A87585) has been discontinued and is no longer available.

View all ZnT1 Antibodies.

Name
Anti-ZnT1 Antibody
Description
Rabbit polyclonal antibody to ZnT1.
Applications
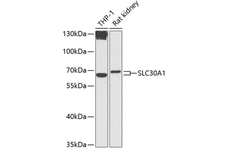
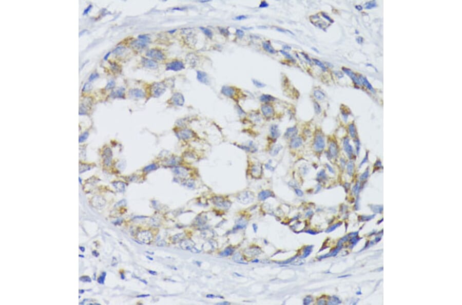
WB, IHC
Dilutions
WB: 1:500-1:2,000, IHC: 1:50-1:200
Reactivity
Human, Rat
Immunogen
A synthetic peptide corresponding to a sequence within amino acids 250-350 of human SLC30A1 (NP_067017.2).
Sequence
LHVLGDALGSVIVVVNALVFYFSWKGCSEGDFCVNPCFPDPCKAFVEIINSTHASVYEAGPCWVLYLDPTLCVVMVCILLYTTYPLLKESALILLQTVPKQ
Host
Rabbit
Clonality
Polyclonal
Isotype
IgG
Conjugate

Unconjugated

Purification
Affinity purification.
Molecular Weight
68 kDa / 70 kDa
Product Form
Liquid
Formulation
Supplied in Phosphate Buffered Saline, pH 7.3, with 50% Glycerol and 0.02% Sodium Azide.
Storage
Shipped at 4°C. Upon delivery aliquot and store at -20°C. Avoid freeze / thaw cycles.
Synonyms
Proton-coupled zinc antiporter SLC30A1, SLC30A1, Solute carrier family 30 member 1, Zinc transporter 1
Disclaimer
This product is for research use only. It is not intended for diagnostic or therapeutic use.

Alternative products to Anti-ZnT1 Antibody (A87585)

Proteins predicted to interact with ZnT1

Predicted protein interactions based upon String database. Revelancy score correlates with probability of interaction.
96.9% Relevancy Score
96.4% Relevancy Score
95.9% Relevancy Score
89.8% Relevancy Score
82.9% Relevancy Score
82% Relevancy Score
81.6% Relevancy Score
80.7% Relevancy Score
79.1% Relevancy Score